相关产品推荐更多 >
万千商家帮你免费找货
0 人在求购买到急需产品
- 详细信息
- 文献和实验
- 技术资料
- 英文名:
Mouse Myeloma Cells
- 库存:
9999
- 供应商:
厦门逸漠生物科技有限公司
- 肿瘤类型:
详询
- 细胞类型:
悬浮生长
- 品系:
小鼠细胞株
- 组织来源:
骨髓瘤
- 相关疾病:
详询
- 物种来源:
小鼠
- 免疫类型:
详询
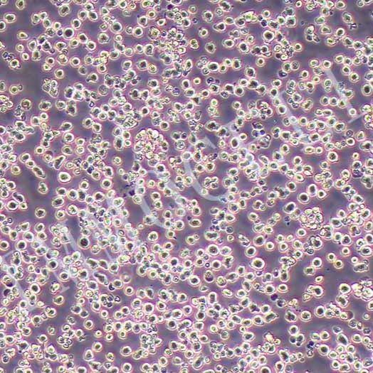
- 细胞形态:
淋巴母细胞样,圆形
- 是否是肿瘤细胞:
否
- 器官来源:
详询
- 运输方式:
复苏发货或干冰发货(顺丰快递)
- 年限:
长期
- 生长状态:
正常
- 规格:
1*10^6
细胞介绍
该细胞是由绵羊红细胞免疫的BALB/c小鼠脾细胞和P3X63Ag8骨髓瘤细胞融合得到的。该细胞不分泌免疫球蛋白,对20 μg/ml的8-氮鸟嘌呤有抗性,对HAT比较敏感;该细胞可以作为细胞融合时的B细胞组分用于制备杂交瘤;鼠痘病毒阴性。
细胞特性
1) 来源:骨髓瘤
2) 形态:淋巴母细胞样,圆形,悬浮生长,不要用力吹打(生长时会沉到瓶底)
3) 含量:>1x106
4) 污染:支原体、细菌、酵母和真菌检测为阴性
5) 规格:T25瓶或者1mL冻存管包装
运输和保存
可选择干冰运输及发送复苏存活细胞方式
(1)干冰运输,收到后立即转入液氮或者-80度冰箱冻存或直接复苏;
(2)存活细胞,收到后应继续生长,传代达到细胞生长状态良好时,再进行冻存。具体操作见细胞培养步骤。
(3)收到细胞后请拍照,3天内如果发现污染,请及时拍照与我们联系。
细胞用途:仅供科研使用。
细胞接收后的处理
1) 收到细胞后,请检查发货培养瓶的状况,若发现培养瓶破损、有液溢出及细胞有污染,请拍照后及时联系我们。
2) 在显微镜下确认细胞生长状态时,最好在低倍镜(4或5X物镜)下进行,能准确判断细胞的传代密度。看细胞的形态请在10X和20×物镜下,同时给刚收到的细胞拍照,(10×,20×)各2-3张以及培养瓶外观照片一张留存,作为细胞需要售后时提供收到细胞时细胞状态的依据。
3) 观察好细胞状态后,75%酒精消毒瓶壁将T25瓶置于37℃培养箱放置约2-3h。
4) 贴壁细胞:在运输过程中贴壁细胞会有脱落的现象,如发现贴壁细胞有脱落或者脱落后抱团生长,可将T25瓶置于37℃培养箱放置约2-3h,然后抽出瓶中的培养基和未贴壁细胞1000rpm离心5分钟,弃去上清重悬后接种到加有按照说明书细胞培养条件新配制的完全培养基的原培养瓶中(或新的培养瓶中)。
5) 悬浮细胞:T25瓶置于37℃培养箱放置约2-3h,然后抽出瓶中的培养基和细胞1000rpm离心5分钟,弃去上清重悬后接种到新的培养瓶中(加入按照说明书细胞培养条件新配制的完全培养基)。
6)备注:运输用的培养基(灌液培养基)不能再用来培养细胞,请换用按照说明书细胞培养条件新配制的完全培养基来培养细胞。 收到细胞后第一次传代建议1:2传代 。
细胞培养步骤
一.培养基及培养冻存条件准备
1)准备DMEM培养基;优质胎牛血清,10%;双抗,1%。
2)注意:圆形,悬浮生长,不要用力吹打(生长时会沉到瓶底)
3)培养条件: 气相:空气,95%;二氧化碳,5%。 温度:37摄氏度,培养箱湿度为70%-80%。
4) 冻存液:90%血清,10%DMSO,现用现配。
二. 细胞处理
1) 复苏细胞:将含有1mL细胞悬液的冻存管在37℃水浴中迅速摇晃解冻,离心管加入4mL培养基混合均匀。在800-1000RPM条件下离心4-5分钟,弃去上清液,补加1-2mL培养基后吹匀。然后将所有细胞悬液加入T25培养瓶中培养,补加培养基至6ml。
2) 细胞传代:如果细胞密度达80%,即可进行传代培养。
1. 将细胞悬液按1:2到1:5比例分到新皿中或者瓶中,补加培养基至6ml,放入培养箱继续培养。
3)细胞冻存:待细胞生长状态良好时,可进行细胞冻存。
下面T25瓶为例
1,细胞冻存时,取上清,可使用血球计数板计数。
2,4min ,1000rpm 离心去掉上清。加1ml血清重悬细胞,根据细胞数量加入血清和DMSO,轻轻混匀,DMSO终浓度为10%,细胞密度1-2xE6/ml,每支冻存管冻存1ml细胞悬液,注意冻存管做好标识。
3,将冻存管置于程序降温盒中,放入-80度冰箱,至少2个小时以后转入液氮灌储存。记录冻存管位置以便下次拿取。




风险提示:丁香通仅作为第三方平台,为商家信息发布提供平台空间。用户咨询产品时请注意保护个人信息及财产安全,合理判断,谨慎选购商品,商家和用户对交易行为负责。对于医疗器械类产品,请先查证核实企业经营资质和医疗器械产品注册证情况。
文献和实验率及所产生的杂交瘤细胞系的稳定性等方面均可与PS-X63-Ag8或P3-NS1/1-Ag4-1相比拟。 4.小鼠P3-X63-Ag8-U1(1980年Sharon)。是P3-X63-Ag8骨髓瘤细胞系的变系。P3-X63-Ag8分泌重链(rl)和轻链(K),P3-NS1/1-Ag4-1则只合成而不分泌轻链(K)。 5.小鼠SP2/O-Ag14(1978年Shulman)。Kohler等将PS-X63-Ag8骨髓瘤细胞系与具有抗绵羊红细胞活性、产生r2b重链和K轻链的BALB/c小鼠脾细胞
瘤/大鼠神经胶质细胞瘤杂交瘤细胞 P19 小鼠畸胎瘤细胞, 小鼠畸胎瘤细胞 PC-12 大鼠嗜铬细胞瘤细胞, 大鼠嗜铬细胞瘤 RAW264.7 小鼠巨噬细胞瘤 SP2/0-AG14 小鼠骨髓瘤 Yac-1 小鼠淋巴瘤细胞
DNA,因而对HAT敏感。 目前常用的小鼠骨髓瘤细胞系为SP2 /O和NS-1 ,X63Ag8.653等。均来自BALB/c小鼠骨髓瘤。刚复苏的瘤细胞需在含10%新鲜小牛血清的RPMI-1640培养液中,5%CO2 37℃ 孵箱培养。每2~3天换液一次,3~5天传代一次,待细胞生长稳定后方可供细胞融合用。生长良好的细胞,在倒置显微镜下观察为圆形明亮,排列整齐、形态完整,密度适宜(0.1~1×106 个/ml)。经台盼蓝染色,活细胞数应>90%。实验室培养的骨髓瘤细胞最好每隔3~6个月将细胞











