相关产品推荐更多 >
万千商家帮你免费找货
0 人在求购买到急需产品
- 详细信息
- 文献和实验
- 技术资料
- 免疫原:
Recombinant protein
- 亚型:
IgG
- 形态:
Liquid
- 保存条件:
Store as concentrated solution. Centrifuge briefly prior to opening vial. For short-term storage (1-2 weeks), store at 4ºC. For long-term storage, aliquot and store at -20ºC or below. Avoid multiple freeze-thaw cycles.
- 克隆性:
Monoclonal
- 标记物:
Unconjugated
- 适应物种:
Human, Mouse, Rat
- 保质期:
12 months from the shipping date of the product.
- 抗原来源:
Human
- 目录编号:
GTX01046
- 级别:
Primary Antibodies
- 库存:
Available
- 供应商:
GeneTex
- 宿主:
Rabbit
- 应用范围:
WB, ICC/IF, IHC-P, FACS
- 浓度:
1 mg/ml (Please refer to the vial label for the specific concentration.)
- 靶点:
ILK
- 抗体英文名:
ILK antibody [SC68-04]
- 抗体名:
ILK 抗体 [SC68-04]
- 规格:
100 μl
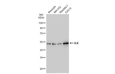
Various whole cell extracts (30 μg) were separated by 10% SDS-PAGE, and the membrane was blotted with ILK antibody [SC68-04] (GTX01046) diluted at 1:1000. The HRP-conjugated anti-rabbit IgG antibody (GTX213110-01) was used to detect the primary antibody.
Various whole cell extracts (30 μg) were separated by 10% SDS-PAGE, and the membrane was blotted with ILK antibody [SC68-04] (GTX01046) diluted at 1:1000. The HRP-conjugated anti-rabbit IgG antibody (GTX213110-01) was used to detect the primary antibody.
Various whole cell extracts (30 μg) were separated by 10% SDS-PAGE, and the membrane was blotted with ILK antibody [SC68-04] (GTX01046) diluted at 1:500. The HRP-conjugated anti-rabbit IgG antibody (GTX213110-01) was used to detect the primary antibody.
FACS analysis of Jurkat cells using GTX01046 ILK antibody [SC68-04].
Red : primary antibody
Black : unlabelled control
Dilution : 1:50
ICC/IF analysis of PFA-fixed SH-SY-5Y cells using GTX01046 ILK antibody [SC68-04].
Green : primary antibody
Blue : DAPI
Permeabilization : 0.25% Triton X-100 in PBS
IHC-P analysis of rat brain tissue section using GTX01046 ILK antibody [SC68-04].
ICC/IF analysis of PFA-fixed NIH-3T3 cells using GTX01046 ILK antibody [SC68-04].
Green : primary antibody
Blue : DAPI
Permeabilization : 0.25% Triton X-100 in PBS
风险提示:丁香通仅作为第三方平台,为商家信息发布提供平台空间。用户咨询产品时请注意保护个人信息及财产安全,合理判断,谨慎选购商品,商家和用户对交易行为负责。对于医疗器械类产品,请先查证核实企业经营资质和医疗器械产品注册证情况。
文献和实验(1 ). In our laboratory, we have developed methods to immortalize specific antibody-producing cells by fusing secreting EBV-activated lymphocytes to mouse-human heteromyeloma cell lines with electrofusion, followed by cloning (2 ). This methodology has allowed
. Signal Transduct Target Ther. 2023 Feb 17;8(1):68. [2] 崔涵姝,刘斌.应用改善病情抗风湿药物治疗骨关节炎之争[J].协和医学杂志,2025,16(1):13?18. [3] Dixit T, et al. Therapeutic potential of antibody-drug conjugates possessing bifunctional anti-inflammatory action in the pathogenies
Signal Transduction Inhibitors in Cellular Function
Tyrosine Kinase Growth Factor Receptors HER2/Neu inhibitor Herceptin (anti-HER2 antibody) (53,54
技术资料暂无技术资料 索取技术资料











