相关产品推荐更多 >
万千商家帮你免费找货
0 人在求购买到急需产品
- 详细信息
- 文献和实验
- 技术资料
- 免疫原:
A synthetic peptide corresponding to a sequence within amino acids 300-400 of human GABRA2 (NP_000798.2).
- 亚型:
IgG
- 形态:
Liquid
- 保存条件:
Store as concentrated solution. Centrifuge briefly prior to opening vial. For short-term storage (1-2 weeks), store at 4ºC. For long-term storage, aliquot and store at -20ºC or below. Avoid multiple freeze-thaw cycles.
- 克隆性:
Polyclonal
- 标记物:
Unconjugated
- 适应物种:
Human, Mouse
- 保质期:
12 months from the shipping date of the product.
- 抗原来源:
Human
- 目录编号:
GTX54091
- 级别:
Primary Antibodies
- 库存:
Available
- 供应商:
GeneTex
- 宿主:
Rabbit
- 应用范围:
WB, IHC-P
- 浓度:
1 mg/ml (Please refer to the vial label for the specific concentration.)
- 靶点:
GABA A Receptor alpha 2
- 抗体英文名:
GABA A Receptor alpha 2 antibody
- 抗体名:
GABA A Receptor alpha 2 抗体
- 规格:
100 μl
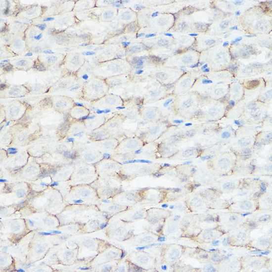
IHC-P analysis of mouse stomach tissue using GTX54091 GABA A Receptor alpha 2 antibody.
Dilution : 1:250
WB analysis of various sample lysates using GTX54091 GABA A Receptor alpha 2 antibody. The signal was developed with ECL plus-Enhanced.
Dilution : 1:1000
Loading : 25μg per lane
风险提示:丁香通仅作为第三方平台,为商家信息发布提供平台空间。用户咨询产品时请注意保护个人信息及财产安全,合理判断,谨慎选购商品,商家和用户对交易行为负责。对于医疗器械类产品,请先查证核实企业经营资质和医疗器械产品注册证情况。
文献和实验secondary antibody review -- data from 99 publications
cytometry used as a control to detect cell responses targeted antigen 7 Alexa Fluor 488 7 Cy3 8 goat IgG Alexa Fluor 488 1:2000 detect antibody binding in human embryonic kidney 293T cells Invitrogen 9 donkey
-l1-antibody-ya4674.html 兔来源、无偶联标记、抗 PD-L1 的 IgG 单克隆抗体。 Estrogen Receptor alpha Antibody (YA450) (HY-P80663) www.medchemexpress.cn/antibody/estrogen-receptor-alpha-rabbit-mab.html 兔来源、无偶联标记、抗 Estrogen Receptor alpha 的 IgG 单克隆抗体 CDX2 Antibody (YA3498
细胞数目及细胞活力,一定范围内信号强度和ATP 含量成正比 Estrogen Receptor alpha Antidiv (YA450) (HY-P80663) www.medchemexpress.cn/antibody/estrogen-receptor-alpha-rabbit-mab.html 可用于乳腺癌组织的免疫组化分析 C-erbB-2/HER2 Antidiv (YA771) (HY-P80658) www.medchemexpress.cn/antibody/erbb-2-1c4
技术资料暂无技术资料 索取技术资料









![CDK5 antibody [1H3]](https://img1.dxycdn.com/2022/0328/010/2100533133417500453-14.jpg!wh200)

