万千商家帮你免费找货
0 人在求购买到急需产品
- 详细信息
- 技术资料
- 提供商:
深圳拓普生物科技有限公司
- 服务名称:
开放性胫骨骨折动物模型
开放性骨折是指骨折附近的皮肤或黏膜破裂,骨折断端直接或间接与外界相通。开放性骨折模型的优势在于可以控制骨折的角度及位置,相比起国内外的文献记载有关动物实验常用的股骨部位,胫骨周围肌肉群少。因此因实验模型因准备所造成附近组织的损伤亦较小,那么因操作过程而产生的出血将减少,让骨折端形成骨痂的范围较小,骨折愈合进度得以提升。
| 实验动物信息 | |
| 动物模型名称: | 开放性胫骨骨折动物模型 |
| 动物的种属、品系: | SD大鼠 |
| 动物性别: | ♂ |
| 动物年龄: | 10~12周龄 |
| 动物体重: | 250g~300g |
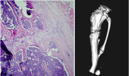
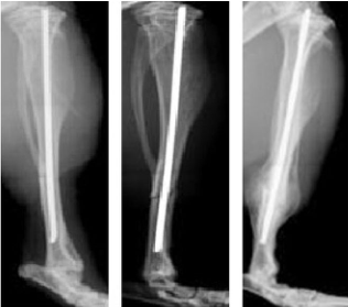
观察指标
X光片、Micro-CT活体拍片、胫骨骨折部位HE染色等
部分结果展示
X-ray
HE staining ×100 micro-CT scanning
风险提示:丁香通仅作为第三方平台,为商家信息发布提供平台空间。用户咨询产品时请注意保护个人信息及财产安全,合理判断,谨慎选购商品,商家和用户对交易行为负责。对于医疗器械类产品,请先查证核实企业经营资质和医疗器械产品注册证情况。
技术资料暂无技术资料 索取技术资料
开放性胫骨骨折动物模型
询价








