相关产品推荐更多 >
万千商家帮你免费找货
0 人在求购买到急需产品
- 详细信息
- 询价记录
- 文献和实验
- 技术资料
- 服务名称:
骨科动物实验
- 提供商:
永欣康泰
3月龄雌性大鼠腹腔麻醉后,暴露腹腔,剪去两侧卵巢并止血,逐层缝合,辅助激素,长期饲养动物骨质逐渐疏松。
专业进行骨密度药效实验,临床前药效评价
1、制备老龄雌性SD大鼠骨质疏松动物模型
2、双能X线骨密度仪检测大鼠活体骨密度
3、双能X线骨密度仪检测离体股骨骨密度
4、小动物Micro-CT,检测骨小梁厚度、骨小梁数量、3D骨密度检测、股骨3维重建直观可视评价骨密度高低
5、相关血生化指标检测
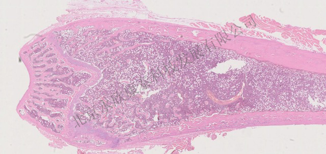
6、病理实验:股骨EDTA脱钙、石蜡切片、HE 染色、甲苯~胺蓝染色、免疫组化实验
双能X线骨密度仪检测大鼠活体骨密度
小动物Micro-CT,检测股骨骨小梁结构
股骨EDTA脱钙 石蜡切片HE染色
实验室可构建的动物模型 :
| 构建动物模型名称 | 适用范围 |
| 1、裸鼠肿瘤(皮下、原位)动物实验 | 胰腺、肝、胃原位接种、皮下接种 |
| 2、兔 腹主动脉、颈动脉硬化(球囊法)模型 | 稳定制备 颈动脉、腹主动脉硬化模型 |
| 3、心肌缺血、大、小鼠、兔、小型猪心电图、心脏超声、病理评价 | 心肌缺血及再灌注、心梗、血压测定(麻醉及清醒状态下)等 |
| 4、Ⅰ、Ⅱ型糖尿病大小鼠、兔动物模型 | 高脂诱导+STZ制备糖尿病模型及糖尿病并发症研究,药效评价 |
| 5、骨质疏松大鼠、小鼠实验(去势) | 老年性骨质疏松相关疾病临床前药效评价 |
| 6、股骨头坏死、骨缺损、鼠、兔模型 | 镇静、镇痛动物模型,行为学模型制作及药物筛选 |
| 7、Apoe小鼠动脉粥样硬化整体实验 | 高脂饲养、取材、病理实验、大体染色等 |
| 8、急性粒细胞白血病动物实验 | |
| 9、肾结石快速成模大鼠模型 | 乙二醇致大鼠肾脏草酸钙结石模型 |
| 10、眼科大小鼠模型、视网膜铺片、 玻璃体腔内注射 |
眼科疾病模型及相关检测方法 |
| 11、脑缺血、帕金森、脑出血动物模型 | 脑病实验、颅内注射、技术成熟稳定 |
| 12、肾脏缺血、肾移植、肾衰动物模型 | 肾脏缺血、肾移植、肾衰竭实验及检测平台 |
检测平台
| 服务项目 | 服务承诺 | 服务周期 | 样本种类 |
| 病理切片、免疫组化 | 染色结果照片 | 2-3周 | 组织 |
| Western blotting | 胶片 | 1-2周 | 蛋白样本或组织 |
| 流式细胞服务 | 散点图、分析数据、设备信息等 | 1-2周 | 血样、骨髓等 |
| 细胞凋亡检测 | 凋亡图、数据分析 | 细胞 | |
| RT-PCR | 扩增图 | 1-2周 | RNA或组织 |
| 血压监测(无创式) | 实时血压数据 | 大、小鼠 |
备注:以上只是常规制备的动物模型种类,如果有其他动物模型制备的需求,也可以按照方案进行定制

永欣康泰坚持:
上门取样、客服专人跟进项目进度、随时汇报实验进展、为您有效降低科研成本、缩短实验周期。
秉承工匠精神 保持严谨态度、专业技术
拓宽思路和眼界 积极探索新的模型构建方法
不断积累经验 完成客户的每一项托付
风险提示:丁香通仅作为第三方平台,为商家信息发布提供平台空间。用户咨询产品时请注意保护个人信息及财产安全,合理判断,谨慎选购商品,商家和用户对交易行为负责。对于医疗器械类产品,请先查证核实企业经营资质和医疗器械产品注册证情况。
- 作者
- 内容
- 询问日期
文献和实验1.冯卫东,石建鹏,吕延民. 大鼠骨质疏松模型的研究[J]. 基层医学论坛,2016,20(26):3617-3619.
2.李昊,张西正. 小鼠骨质疏松模型建立方法与评价指标选择概述[J]. 中国骨质疏松杂志,2012,18(7):663-666. DOI:10.3969/j.issn.1006-7108.2012.07.019.
骨质疏松是临床上老年人常见的疾病之一,采用背侧入路双侧卵巢摘除手术造模。常规消毒后,近肋脊角附近双侧纵向切口。切开皮下组织后进入腹腔,拉出腹腔内脂肪后翻转向外,子宫角上用可吸收手术缝合线结扎,结扎后可摘除卵巢,逐层关闭切口。卵巢切除后模型大鼠其体内雌激素分泌减少,骨量和骨质量明显下降,到目前是研究绝经后骨质疏松的最佳模型。
骨质疏松动物模型及卵巢切除术 骨质疏松是指全身性骨量减少及骨组织微结构改变,骨密度和骨质量降低,从而引起骨强度下降和骨脆性增加,导致极易发生骨折的一种常见的和全身性的骨代谢疾病。其症状表现为疼痛,主要,以腰背痛最为多见,其次是身长缩短、驼背,严重者可见骨折。 骨质疏松动物模型的制备方法较多,涉及的实验动物种类也很多,最常用的方法是雌性大鼠卵巢切除后诱发骨质疏松动物模型。其机理是模拟人类女性绝经后雌激素缺乏导致骨代谢紊乱所致的骨质疏松症状。
可信的动物实验结果不仅依赖于科学的实验设计,也依赖于标准化的实验动物饲养。饲养小鼠、大鼠必须使用垫料是因为啮齿动物更喜爱平整带垫料的笼底,而不是金属网笼底。垫料可以吸收尿液和粪便,方便清洁。对小鼠、大鼠来说,与垫料直接接触增加了它们表达天性的机会,如搜寻、挖掘、和筑巢。 现在国内很容易获得商品化合格的实验动物,但是由于质量、价格等原因,研究机构往往不容易获得合适的垫料。我国《实验动物环境及设施》标准(GBl4925-2010)规定:垫料的材质应符合动物健康和福利要求,应满足吸湿性好、尘埃











