相关产品推荐更多 >
万千商家帮你免费找货
0 人在求购买到急需产品
- 详细信息
- 询价记录
- 文献和实验
- 技术资料
Biostir® 特应性皮炎诱导剂AD![]()
| 产品编号 |
产品名称 |
中文名称 |
包装 |
备注 |
| 309-34133 |
Biostir® AD |
Biostir® 特应性皮炎诱导剂AD |
5 g |
软膏包括来自粉尘螨的螨过敏原,-30℃ |
| 303-34131 |
Biostir® AD |
Biostir® 特应性皮炎诱导剂AD |
15 g |
|
| 项目 |
方法 |
动物 |
||
| 特应性皮炎模型服务和药理学测试 |
1. 在D粉尘螨具有高含量螨变应原的NC/Nga小鼠中通过Biostir® AD诱导特应性皮炎样损伤。 |
小鼠 |
||
◆特征
● 是特应性皮炎相关的房尘螨提取物成分之一。
● Biostir® AD能够在NC/Nga小鼠诱导特应性皮炎样皮肤损伤。
● 在该模型中观察到他克莫司软膏和皮质类固醇软膏的功效。
● Biostir® AD能高概率在NC/Nga小鼠引起皮炎。
● Biostir® AD节省时间和精力,与重复应用螨过敏原悬浮液相比较直到观察到皮炎发病。
● 现今还没有类似概念的产品。
◆操作流程
用4%十二烷基硫酸钠(SDS)破坏屏障后,每周两次在剃毛的背部皮肤和两耳廓部涂抹100 mg的AD。
重复此步骤3周。共涂抹6次完成。
◆应用实例
| 动物 |
雌性NC / Nga小鼠 |
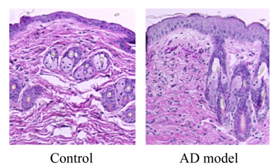
| 特应性皮炎样皮肤损伤的临床方面 |
在皮肤上观察到搔抓行为,红斑,丘疹,鳞屑,疮痂和苔藓病变 |
| 组织学评价 |
损伤皮肤表现在真皮和表皮显著增厚,角化过度和角化不全。 |
| 血清总IgE |
显著升高 |
■ 7周龄无毛雄性小鼠用Biostir AD处理诱发皮炎模型

形态学表现
■ 苏mù精和曙红对皮肤组织(5 μm)染色(1:500)

| 产品编号 | 产品名称 | 产品规格 |
| 309-34133 | Biostir® AD Biostir®特应性皮炎诱导剂AD |
5 g |
| 303-34131 | Biostir® AD Biostir®特应性皮炎诱导剂AD |
15 g |
风险提示:丁香通仅作为第三方平台,为商家信息发布提供平台空间。用户咨询产品时请注意保护个人信息及财产安全,合理判断,谨慎选购商品,商家和用户对交易行为负责。对于医疗器械类产品,请先查证核实企业经营资质和医疗器械产品注册证情况。
- 作者
- 内容
- 询问日期
文献和实验Taq Talk 荧光定量 PCR 系列课程之【TaqMan®检测的工作原理】基于 TaqMan®探针法的 qPCR 检测可提供比染料法更好的灵敏度和特异性
Vybrant® DyeCycle Green and Orange Stains
Stability Vybrant® DyeCycle™ Green stain Vybrant® DyeCycle™ Orange stain 400 μL 5 mM solution in dimethyl sulfoxide (DMSO
相关专题 误区:凝胶试剂总是修饰我的蛋白 事实:NuPAGE® 凝胶试剂实际上保护了您的蛋白 更中性pH是关键 tris-甘氨酸凝胶系统的根本缺点是样品制备过程中的蛋白降解。在使用pH 6.8的tris-甘氨酸样品缓冲液时,样品在缓冲液中加热,因tris-甘氨酸的负温度系数导致pH值下降。这最终导致蛋白水解。 NuPAGE® 凝胶试剂通过维持较高的样品缓冲液pH值,保留了蛋白样品的完整
技术资料暂无技术资料 索取技术资料






![1-[2-(Maleimido)ethyl]-4-[5-(4-methoxyphenyl)-2-oxazolyl] pyridinium triflate](https://img1.dxycdn.com/2021/0129/206/1612325533050151643-14.jpg!wh200)



