相关产品推荐更多 >
万千商家帮你免费找货
0 人在求购买到急需产品
- 详细信息
- 文献和实验
- 技术资料
- 免疫原:
A synthesized peptide derived from human GCN2.
- 亚型:
IgG
- 形态:
Liquid
- 保存条件:
Store as concentrated solution. Centrifuge briefly prior to opening vial. For short-term storage (1-2 weeks), store at 4ºC. For long-term storage, aliquot and store at -20ºC or below. Avoid multiple freeze-thaw cycles.
- 克隆性:
Monoclonal
- 标记物:
Unconjugated
- 适应物种:
Human
- 保质期:
12 months from the shipping date of the product.
- 抗原来源:
Human
- 目录编号:
GTX57742
- 级别:
Primary Antibodies
- 库存:
Available
- 供应商:
GeneTex
- 宿主:
Rabbit
- 应用范围:
WB, ICC/IF, IHC-P, FACS, IHC
- 浓度:
0.5-1 mg/ml (Please refer to the vial label for the specific concentration.)
- 靶点:
GCN2
- 抗体英文名:
GCN2 antibody [ACAA-5]
- 抗体名:
GCN2 抗体 [ACAA-5]
- 规格:
100 μg
ICC/IF analysis of A549 cells using GTX57742 GCN2 antibody [ACAA-5].
Green : Primary antibody
Blue : DAPI
Fixation : 4% PFA
Permeabilization : 0.25% Triton X100/PBS.
FACS analysis of MCF-7 cells using GTX57742 GCN2 antibody [ACAA-5].
Black : Blank
Red : Primary antibody
Dilution : 1:100
WB analysis of HeLa whole cell lysate using GTX57742 GCN2 antibody [ACAA-5].
Dilution : 0.5μg/ml
Loading : 50μg
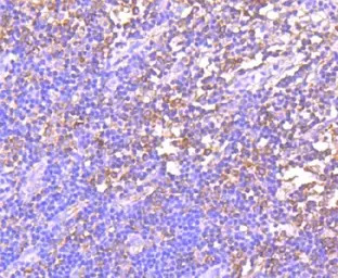
IHC-P analysis of human tonsil tissue using GTX57742 GCN2 antibody [ACAA-5].
风险提示:丁香通仅作为第三方平台,为商家信息发布提供平台空间。用户咨询产品时请注意保护个人信息及财产安全,合理判断,谨慎选购商品,商家和用户对交易行为负责。对于医疗器械类产品,请先查证核实企业经营资质和医疗器械产品注册证情况。
文献和实验上海西唐生物科技有限公司 021-55229872, 65333639 www.westang.com 人防御素-5 (HD-5)ELISA 试剂盒 ( 用于血清、血浆、细胞培养上清液和其它生物体液内 ) 原理 本实验采用双抗体夹心 ABC-ELISA 法。用抗人 HD-5 单抗包被于酶标板上,标准品和样品中的 HD-5与单抗结合,加入生物素化的抗人 HD-5
上海西唐生物科技有限公司 021-55229872, 65333639 www.westang.com 大鼠白介素 -5(IL-5)ELISA 试剂盒 ( 用于血清、血浆、细胞培养上清液和其它生物体液内 ) 原理 本实验采用双抗体夹心 ABC-ELISA 法。用抗大鼠 IL-5 单抗包被于酶标板上,标准品和样品中的 IL-5 与单抗结合,加入生物素化的抗大鼠 IL-5 ,形成免疫复合物连接在板上,辣根
上海西唐生物科技有限公司 021-55229872, 65333639 www.westang.com 人白介素-5 (IL-5)ELISA 试剂盒 ( 用于血清、血浆、细胞培养上清液和其它生物体液内 ) 原理 本实验采用双抗体夹心 ABC-ELISA 法。用抗人 IL-5 单抗包被于酶标板上,标准品和样品中的 IL-5与单抗结合,加入生物素化的抗人 IL-5
技术资料暂无技术资料 索取技术资料





![S100 antibody [4C4.9]](https://img1.dxycdn.com/2022/0328/775/0920458370739300453-14.jpg!wh200)

![FOXO1 antibody [7H3]](https://img1.dxycdn.com/2022/0328/280/6558289027463500453-14.jpg!wh200)



