相关产品推荐更多 >
万千商家帮你免费找货
0 人在求购买到急需产品
- 详细信息
- 文献和实验
- 技术资料
- 免疫原:
Peptide against the C-Terminus of IDH1, with a point mutation at residual 132 where an Arginine R is changed to Histidine. protein.
- 亚型:
IgG1
- 形态:
Liquid
- 保存条件:
Store as concentrated solution. Centrifuge briefly prior to opening vial. Store at 4ºC. DO NOT FREEZE.
- 克隆性:
Monoclonal
- 标记物:
Unconjugated
- 适应物种:
Human
- 保质期:
12 months from the shipping date of the product.
- 抗原来源:
Human
- 目录编号:
GTX57185
- 级别:
Primary Antibodies
- 库存:
Available
- 供应商:
GeneTex
- 宿主:
Mouse
- 应用范围:
IHC-P
- 浓度:
Batch dependent (Please refer to the vial label for the specific concentration.)
- 靶点:
IDH1 (R132H Mutant Specific)
- 抗体英文名:
IDH1 (R132H Mutant Specific) antibody [IHC132]
- 抗体名:
IDH1 (R132H Mutant Specific) 抗体 [IHC132]
- 规格:
500 μl
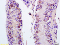
IHC-P analysis of human astrocytoma tissue using GTX57185 IDH1 (R132H Mutant Specific) antibody [IHC132]
风险提示:丁香通仅作为第三方平台,为商家信息发布提供平台空间。用户咨询产品时请注意保护个人信息及财产安全,合理判断,谨慎选购商品,商家和用户对交易行为负责。对于医疗器械类产品,请先查证核实企业经营资质和医疗器械产品注册证情况。
文献和实验Bolly HMB et al., J Korean Neurosurg Soc 2021 (PMID:33105535)
Nature 重磅:新发脑胶质瘤疫苗初见成效,瞄准肿瘤「阿喀琉斯之踵」
,发挥抗肿瘤效应。该成果以 A vaccine targeting mutant IDH1 in newly diagnosed glioma 为题发表在最新的 Nature 上 [2]。 图片来源:Nature 研究内容:这是一项靶向 IDH1R132H 的多肽疫苗治疗 III-IV 级(WHO 分级)胶质瘤的安全性、耐受性和免疫原性的多中心 I 期临床研究(NCT02454634)。研究人员筛选了 44 名患者,其中 32 名患者入组参与了临床试验并接受了 IDH-vac 治疗。在这 32 名
Blocking of unwanted non-specific staining
at the exogenous antibody used. This topic is discussed in the Mouse-on-Mouse easy IHC section of this manual. Hapten-conjugation of the primary antibody (FITC, Pe, Biotin, Deoxygenin) will solve the problem.
Antibody Affinity Maturation by Chain Shuffling
Phage display can be used to increase the affinity of antibodies more than 1,000-fold (1 ,2 ). The starting point is typically a specific antibody isolated from a phage antibody library (see Chapter 8 ). To accomplish affinity maturation
技术资料暂无技术资料 索取技术资料





![Tau antibody [IHC696]](https://img1.dxycdn.com/2022/0328/810/3116166639855600453-14.jpg!wh200)

![GABPA antibody [8C1B10]](https://img1.dxycdn.com/2022/0328/061/9194488106377500453-14.jpg!wh200)
![Fc epsilon R1 alpha antibody [1F2A9]](https://img1.dxycdn.com/2022/0328/015/2559468964413500453-14.jpg!wh200)

