相关产品推荐更多 >
万千商家帮你免费找货
0 人在求购买到急需产品
- 详细信息
- 文献和实验
- 技术资料
- 免疫原:
CD79a molecule, immunoglobulin-associated alpha
- 亚型:
IgG
- 形态:
liquid
- 保存条件:
-20℃ 12月
- 克隆性:
polyclonal
- 标记物:
未标记
- 适应物种:
Human
- 保质期:
-20℃ 12月
- 抗原来源:
CD79a molecule, immunoglobulin-associated alpha
- 目录编号:
FNab01499
- 级别:
科研
- 库存:
100
- 供应商:
武汉菲恩生物科技有限公司
- 宿主:
Rabbit
- 应用范围:
ELISA, WB, IHC
- 靶点:
CD79A
- 抗体英文名:
CD79A antibody
- 抗体名:
CD79A抗体
- 规格:
50ug/100ug
| 规格: | 50ug | 产品价格: | ¥1050.0 |
|---|---|---|---|
| 规格: | 100ug | 产品价格: | ¥1750.0 |

产品介绍
| 产品名称 | CD79A antibody |
| 中文名称 | CD79A抗体 |
| 货号 | FNab01499 |
| 规格 | 50ug/100ug |
| 宿主 | Rabbit |
| 反应种属 | Human |
| 验证应用 | ELISA, WB, IHC |
| 状态 | liquid |
| 纯化方法 | Immunogen affinity purified |
| 纯度 | ≥95% as determined by SDS-PAGE |
| 克隆性 | polyclonal |
| 亚型 | IgG |
| 免疫原 | CD79a molecule, immunoglobulin-associated alpha |
| 免疫原别称 | B-cell antigen receptor complex-associated protein alpha chain|Ig-alpha|MB-1 membrane glycoprotein|Membrane-bound immunoglobulin-associated protein|Surface IgM-associated protein|CD79A|IGA|MB1 |
| Uniprot ID | P11912 |
| 分子量 | 40 kDa |
| 建议稀释比例 | WB: 1:500-1:2000; IHC: 1:20-1:200 |
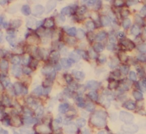
| 验证图片 | Immunohistochemistry of paraffin-embedded human tonsillitis tissue slide using FNab01499(CD79A Antibody) at dilution of 1:200 Raji cells were subjected to SDS PAGE followed by western blot with FNab01499(CD79A antibody) at dilution of 1:1000 |
| 存储 | PBS with 0.02% sodium azide and 50% glycerol pH 7.3, -20℃ for 12 months(Avoid repeated freeze / thaw cycles.) |
| 注意事项 | CD79A antibody仅供科研使用 |
菲恩生物抗体产品优势
种类齐全:有10000多种经过验证的免多抗和小鼠单抗,包括流式抗体、内参抗体、标签抗体、小分子化合物抗体、对照抗体等;
多种标记/非标记二抗:针对兔、羊、小鼠、大鼠、人等多个种属。100多种标记二抗,标记物包括HRP、Biotin、FITC、Cy3、Alexa Fluor 488、Alexa Fluor 594等,通过了蛋白质印迹、免疫荧光、免疫组织化学、流式细胞术和ELISA等免疫学相关应用的充分验证,可满足各种实验需求;
验证过多种实验:ELISA、WB、IHC、IF、IP、FC等应用,并进行了广泛的物种交叉实验。
风险提示:丁香通仅作为第三方平台,为商家信息发布提供平台空间。用户咨询产品时请注意保护个人信息及财产安全,合理判断,谨慎选购商品,商家和用户对交易行为负责。对于医疗器械类产品,请先查证核实企业经营资质和医疗器械产品注册证情况。
文献和实验CD79a/CD79b 分子 CD79a 常用单克隆抗体或代号: Iga ,mb- 1 主要表达细胞: B [B] 分子质量(kDa)和结构: 33(IgSF) 功 能: BCR复合体组成成分 CD79b 常用单克隆抗体或代号: Igb ,B29 主要表达细胞: B [B] 分子质量(kDa)和结构: 39(IgSF) 功 能: BCR复合体组成成分
B 细胞抗原受体 B细胞抗原受体(BCR)具有抗原结合特异性,在同一个体内,其多样性高达109 ~1012 ,构成容量巨大的BCR库,赋予个体识别各种抗原、产生特异性抗体的巨大潜能。 在成熟B细胞表面,Iga、Igp总是和BCR共同表达,形成BCR-Igα/Igβ复合体,前者识别抗原,后者转导BCR接受的抗原刺激信号。 (一)BCR分子 BCR主要包括mlgM和mlgD,由两条重链
BCR Ig α/Ig β复合物 B细胞抗原受体(BCR)为膜型免疫球蛋白(mlg)。初始B细胞的BCR为mlgM和mlgD,活化和记忆B细胞则关闭mlgD的表达。一个B细胞可表达104 一l05 个mlg分子。 mlg与抗体在蛋白结构上基本相同,远膜端为分列的两个抗原结合部位,不同之处是多了跨膜区和极短的胞内部分。人mlg的跨膜区有两个高度保守的序列TAST和YSTTVT。前者与Ig从内质网运送到细胞表面并锚定在细胞
技术资料暂无技术资料 索取技术资料








