相关产品推荐更多 >
万千商家帮你免费找货
0 人在求购买到急需产品
- 详细信息
- 询价记录
- 文献和实验
- 技术资料
- 免疫原:
FK506 binding protein 12-rapamycin associated protein 1
- 亚型:
IgG
- 形态:
liquid
- 保存条件:
-20℃ 12月
- 克隆性:
polyclonal
- 标记物:
未标记
- 适应物种:
Human, Mouse, Rat
- 保质期:
-20℃ 12月
- 抗原来源:
FK506 binding protein 12-rapamycin associated protein 1
- 目录编号:
FNab05417
- 级别:
科研
- 库存:
100
- 供应商:
武汉菲恩生物科技有限公司
- 宿主:
Rabbit
- 应用范围:
ELISA, WB, IHC
- 靶点:
MTOR
- 抗体英文名:
MTOR antibody
- 抗体名:
MTOR抗体
- 规格:
50ug/100ug
| 规格: | 50ug | 产品价格: | ¥1050.0 |
|---|---|---|---|
| 规格: | 100ug | 产品价格: | ¥1750.0 |

产品介绍
| 产品名称 | MTOR antibody |
| 中文名称 | MTOR抗体 |
| 货号 | FNab05417 |
| 规格 | 50ug/100ug |
| 宿主 | Rabbit |
| 反应种属 | Human, Mouse, Rat |
| 验证应用 | ELISA, WB, IHC |
| 状态 | liquid |
| 纯化方法 | Immunogen affinity purified |
| 纯度 | ≥95% as determined by SDS-PAGE |
| 克隆性 | polyclonal |
| 亚型 | IgG |
| 免疫原 | FK506 binding protein 12-rapamycin associated protein 1 |
| 免疫原别称 | Serine/threonine-protein kinase mTOR|FK506-binding protein 12-rapamycin complex-associated protein 1|FKBP12-rapamycin complex-associated protein|Mammalian target of rapamycin (mTOR)|Mechanistic target of rapamycin|Rapamycin and FKBP12 target 1|Rapamycin target protein 1|MTOR|FRAP|FRAP1|FRAP2|RAFT1|RAPT1 |
| Uniprot ID | P42345 |
| 分子量 | 290 kDa |
| 建议稀释比例 | WB: 1:200 - 1:500; IHC: 1:100 - 1:200 |
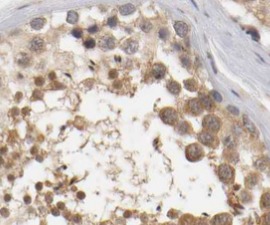
| 验证图片 | Immunohistochemistry of paraffin-embedded human testis using FNab05417(MTOR antibody) at dilution of 1:100 HeLa cells were subjected to SDS PAGE followed by western blot with FNab05417(MTOR antibody) at dilution of 1:300 |
| 存储 | PBS with 0.02% sodium azide and 50% glycerol pH 7.3, -20℃ for 12 months (Avoid repeated freeze / thaw cycles.) |
| 注意事项 | MTOR antibody仅供科研使用 |
菲恩生物抗体产品优势
种类齐全:有10000多种经过验证的免多抗和小鼠单抗,包括流式抗体、内参抗体、标签抗体、小分子化合物抗体、对照抗体等;
多种标记/非标记二抗:针对兔、羊、小鼠、大鼠、人等多个种属。100多种标记二抗,标记物包括HRP、Biotin、FITC、Cy3、Alexa Fluor 488、Alexa Fluor 594等,通过了蛋白质印迹、免疫荧光、免疫组织化学、流式细胞术和ELISA等免疫学相关应用的充分验证,可满足各种实验需求;
验证过多种实验:ELISA、WB、IHC、IF、IP、FC等应用,并进行了广泛的物种交叉实验。
风险提示:丁香通仅作为第三方平台,为商家信息发布提供平台空间。用户咨询产品时请注意保护个人信息及财产安全,合理判断,谨慎选购商品,商家和用户对交易行为负责。对于医疗器械类产品,请先查证核实企业经营资质和医疗器械产品注册证情况。
- 作者
- 内容
- 询问日期
文献和实验summer027 各位站友,小弟打算做干预手段对Akt、TSC1/2、Rheb、mTOR、4E-BP1、P70S6K、AMPK磷酸化表达的影响,不知道有没站友知道做这样的实验大概要花多少钱呢?主要是试剂方面的。 另外,请问判断mTOR信号通路的变化是用磷酸化表达还是用mRNA表达来反映更好呢? 请各位大大指点!!!谢谢!!! zhibinx2007 试剂主要是磷酸化抗体,每种大概3-4000左右,做
上海西唐生物科技有限公司 021-55229872, 65333639 www.westang.com 大鼠 雷帕霉素靶蛋白 (mTOR)ELISA 试剂盒 ( 用于血清、血浆、细胞培养上清液和其它生物体液内 ) 原理 本实验采用双抗体夹心 ABC-ELISA 法。用抗大鼠 mTOR 单抗包被于酶标板上,标准品和样品中的 mTOR 与单抗结合,加入生物素化的抗大鼠 mTOR ,形成免疫复合物连接在板上
(RabS)作用下与溶酶体融合形成自噬溶酶体的过程,有些溶酶体相关蛋白也参与了其中,包括 LAMP1、LAMP2、UVRAG (紫外线抵抗相关肿瘤抑制基因)。而在降解阶段自噬体蛋白也发挥了重要作用,如 Atg22、Atg12、Atg15、Atg1、Atg13 等。细胞自噬的调节是一个多步骤的极其复杂的过程,目前机制尚未完全掌握,已知它主要是通过mTOR 信号通路、Beclin-1 信号通路、P53 信号通路三条途径来进行调控的。 1) mTOR 信号通路:mTOR 是是一个丝/苏氨酸
技术资料暂无技术资料 索取技术资料








