万千商家帮你免费找货
0 人在求购买到急需产品
- 详细信息
- 询价记录
- 技术资料
- 提供商:
广州千寻
广州千寻生物技术有限公司,研究团队主要从事检测新技术研究,熟练掌握PCR、荧光定量PCR、RPA、RAA、侧向层析、ELISA、液相蛋白芯片、液相基因芯片、高分辨率溶解曲线等检测技术。获得检测新技术相关发明专利授权24项。
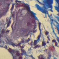
本服务将根据客户需求订制心脑血管、脑神经、肿瘤、关节炎等相关动物模型动物模型及后续评价服务(承接服务的前提是尊重知识产权,具体服务内容及方式待详细协商)。以下为部分工作内容展示:
联系人:丛锋 博士,电话:18565103036 微信同号
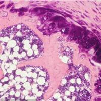
本服务将根据客户需求订制心脑血管、脑神经、肿瘤、关节炎等相关动物模型动物模型及后续评价服务(承接服务的前提是尊重知识产权,具体服务内容及方式待详细协商)。以下为部分工作内容展示:
联系人:丛锋 博士,电话:18565103036 微信同号
风险提示:丁香通仅作为第三方平台,为商家信息发布提供平台空间。用户咨询产品时请注意保护个人信息及财产安全,合理判断,谨慎选购商品,商家和用户对交易行为负责。对于医疗器械类产品,请先查证核实企业经营资质和医疗器械产品注册证情况。
- 作者
- 内容
- 询问日期
技术资料暂无技术资料 索取技术资料
实验动物模型订制
询价









