相关产品推荐更多 >
万千商家帮你免费找货
0 人在求购买到急需产品
- 详细信息
- 询价记录
- 技术资料
- 库存:
电联
- 国食药监械注册号:
电联
- 保修期:
电联
- 现货状态:
电联
- 供应商:
奥林巴斯(北京)销售服务有限公司
特征
小调整即能长久维持优良的观察状态
照明均匀且色温恒定
LED 光源产生日光照明条件,使样品呈现自然色彩。它的色温在不同亮度下都维持恒定,即使用户改变亮度,也不必耗时调节。LED设计寿命6万小时,不仅降低维护成本,而且使用期间亮度稳定。
适于平坦影像的卓越光学性能
显微镜采用平场消色差物镜,让大视野观察图像清晰且平整度更好。这使用户在常规显微观察时,样品既清晰又均匀平坦。
垂直移动聚光镜提高反差和缩小孔径光阑提高反差,两者效果相同。因此,通过有效地反差调节操作,可取得更好地图像。

左: CX41 AS关且聚光镜在底部/右: CX43 AS关/样品:蜡质圆筒

左: CX41 AS关且聚光镜在底部/右: CX43 AS关/样品:毛藓菌
通过锁定孔径光阑,您能维持偏爱的反差水平。即使更换玻片时偶然触碰,孔径光阑仍能固定在最优的选择位置。
CX43 采用新技术「柯勒照明(视场光阑固定)」,使用户无需调整聚光镜即能获取有效的照明。 该技术也避免了误操作,因而使 CX43 总能提供最佳的可视效果。而且作为标准,从 2X 到 100X 都适用该技术。
荧光观察简单易用。将紧凑型荧光照明器插入显微镜机架即可进行荧光观察。它的 LED 光源已预对中,只需将聚光镜设置到FL 位置即可阻挡透射照明。这减少了聚光镜顶透镜杂光所引起的荧光图像中的背景噪音。

扩展应用依旧维持良好的舒适性
单手放置样品
单手可快速滑入和滑出样品。操作中,样品夹略微打开并牢固固定样品。通用型样品夹适用多种玻片类型,如血细胞计数器。
低位物镜转盘使用户在聚焦中以微小手臂运动实现快速的放大倍率切换。这在长时间使用过程中大大提高了工作效率。
为了增加灵活性,物镜转盘可同时支持 5 支物镜。除了常规物镜,用户也可选择大视野的 2X 物镜和相差物镜。这些物镜工作距离长,避免了样品的接触损坏风险。
低位聚焦旋钮,使用户可将手和前臂放置桌面来进行观察,提高舒适性。使用聚焦限位旋钮避免了高倍物镜下损坏样品现象的发生。
低位载物台设计提高了舒适性且减轻了疲劳感。从眼点位置可大范围观察载物台表面,使用户舒适放置和查看载物台上样品。载物台旋钮和调焦旋钮靠近,可在调焦同时轻松控制载物台移动。
当用户需要观察大量样品时,载物台附件提高了工作效率。当使用样品垫时,用户可在薄垫上用单手指自由移动样品或使用载物台旋钮精细调节。双样品夹可夹持大尺寸样品或两片普通样品。
荧光观察可在标准配置基础上轻松建立,而且其眼点高度与其他观察方法相同。从显微镜机架后部插入荧光照明器即可开展荧光观察。
通用型聚光镜提供了多种观察方法以及将来升级的可行性。结合五孔物镜转盘,单一显微镜机架可涵盖多种应用。

明场「宫颈细胞学」

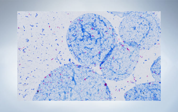
明场「结核病」

明场「白细胞(调小光阑)」

暗场「尿管型(调小光阑)」

暗差「尿管型(调小光阑)」

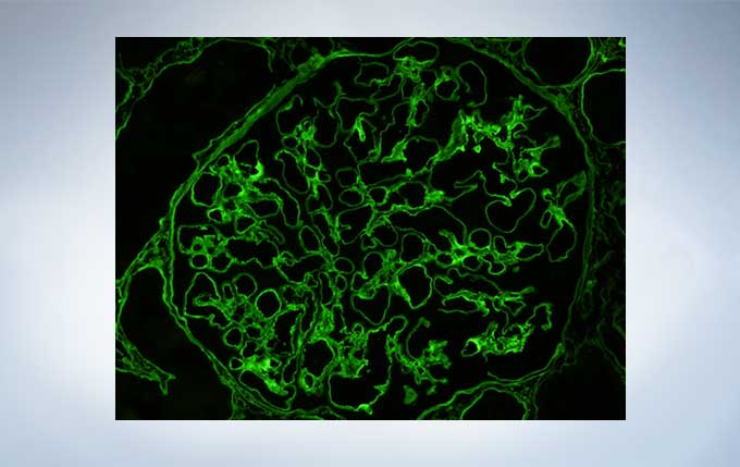
荧光「尿小球」
技术规格
CX43显微镜标准系统包括载物台和聚光镜
| 观察方法 | 相衬 | ✓ | |
| 荧光(蓝/绿激发) | ✓(仅蓝激发) | ||
| 简易偏光 | ✓ | ||
| 明场 | ✓ | ||
| 暗场 | ✓ | ||
| 照明器 | 透射柯勒照明器 | LED灯 | ✓ (固定视场光阑) |
| 荧光照明器 | LED灯 | ✓ | |
| 聚焦 | 聚焦装置 | 载物台聚焦 | ✓ |
| 特性 | 粗调限位器 | ||
| 粗调焦旋钮的张力可调节 | |||
| 物镜转换器 | 手动 | 标准型 | 内置 5孔位 |
| 载物台 | 机械的 | 右(左)手控机械载物台 | 内置 |
| X: 76 mm, Y: 52 mm | |||
| 聚光镜 | 手动 | 阿贝聚光镜 | NA1.25 (2 X - 100 X) |
| 观察筒 | 标准 (FN18) | 倾斜双目 | ✓ |
| 镜筒 | 标准 (FN20) | 双目镜筒 | ✓ |
| 三目镜筒 | ✓ | ||
| 镜筒倾斜角度 | 双目、三目30° | ||
| 倾斜双目30 - 60° | |||
| 三目镜筒光路(相机:肉眼观察) | 50% : 50 % | ||
| 瞳间距调节 | 48 - 75 mm | ||
| 外形尺寸 | 211 (W) x 376 (D) x 393 (H) mm (标准配置) | ||
| 重量 | 大约 7.3 kg | ||
风险提示:丁香通仅作为第三方平台,为商家信息发布提供平台空间。用户咨询产品时请注意保护个人信息及财产安全,合理判断,谨慎选购商品,商家和用户对交易行为负责。对于医疗器械类产品,请先查证核实企业经营资质和医疗器械产品注册证情况。
- 作者
- 内容
- 询问日期
技术资料暂无技术资料 索取技术资料
奥林巴斯 CX43 生物显微镜
询价











