相关产品推荐更多 >
万千商家帮你免费找货
0 人在求购买到急需产品
- 详细信息
- 文献和实验
- 技术资料
- 免疫原:
KLH conjugated synthetic peptide between 364-393 amino acids from the C-terminal region of human SERPINC1.
- 亚型:
IgG
- 形态:
Liquid
- 保存条件:
Store as concentrated solution. Centrifuge briefly prior to opening vial. For short-term storage (1-2 weeks), store at 4ºC. For long-term storage, aliquot and store at -20ºC or below. Avoid multiple freeze-thaw cycles.
- 克隆性:
Polyclonal
- 标记物:
Unconjugated
- 适应物种:
Human, Mouse
- 保质期:
12 months from the shipping date of the product.
- 抗原来源:
Human
- 目录编号:
GTX81758
- 级别:
Primary Antibodies
- 库存:
Available
- 供应商:
GeneTex
- 宿主:
Rabbit
- 应用范围:
WB, ICC/IF, IHC-P, FACS
- 浓度:
Batch dependent (Please refer to the vial label for the specific concentration.)
- 靶点:
Antithrombin III
- 抗体英文名:
Antithrombin III antibody, C-term
- 抗体名:
Antithrombin III 抗体, C-term
- 规格:
400 μl
FACS analysis of HepG2 cells using GTX81758 Antithrombin III antibody, C-term.
Green : primary antibody
Blue : negative control
ICC/IF analysis of 293 cells using GTX81758 Antithrombin III antibody, C-term.
Green : Antithrombin III
Blue : DAPI
WB analysis of mouse liver tissue lysate (35ug/lane) using GTX81758 Antithrombin III antibody, C-term.
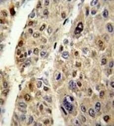
IHC-P analysis of human hepatocarcinoma using GTX81758 Antithrombin III antibody, C-term.
WB analysis of human blood plasma using GTX81758 Antithrombin III antibody, C-term.
Loading : 35ug per lane
Dilution : 1:1000
风险提示:丁香通仅作为第三方平台,为商家信息发布提供平台空间。用户咨询产品时请注意保护个人信息及财产安全,合理判断,谨慎选购商品,商家和用户对交易行为负责。对于医疗器械类产品,请先查证核实企业经营资质和医疗器械产品注册证情况。
文献和实验in plasma were reported, leading to the classification of antithrombin in a range from I to IV. It was subsequently shown that these various antithrombin activities were the function of one molecule, antithrombin III, whose name was reduced to antithrombin
大鼠III型胶原(Collagen III)ELISA试剂盒 说明书
上海西唐生物科技有限公司 021-55229872, 65333639 www.westang.com 大鼠 III 型胶原 (Collagen III)ELISA 试剂盒 ( 用于血清、血浆、细胞培养上清液和其它生物体液内 ) 原理 本实验采用双抗体夹心 ABC-ELISA 法。用抗大鼠 Collagen III 单抗包被于酶标板上,标准品和样品中的 Collagen III 与单抗结合,加入
小鼠III型胶原蛋白(Collagen III)ELISA试剂盒 说明书
上海西唐生物科技有限公司 021-55229872, 65333639 www.westang.com 小鼠III 型胶原蛋白 ( Collagen III )ELISA 试剂盒 ( 用于血清、血浆、细胞培养上清液和其它生物体液内 ) 原理 本实验采用双抗体夹心 ABC-ELISA 法。用抗小鼠 Collagen III 单抗包被于酶标板上,标准品和样品中的
技术资料暂无技术资料 索取技术资料





![RSPO1 antibody [7A6]](https://img1.dxycdn.com/2023/0711/451/6106825198874858761-14.jpg!wh200)



