相关产品推荐更多 >
万千商家帮你免费找货
0 人在求购买到急需产品
- 详细信息
- 文献和实验
- 技术资料
- 免疫原:
Purified recombinant fragment of human Nucleophosmin (2-265) expressed in E. Coli.
- 亚型:
IgG1
- 形态:
Liquid
- 保存条件:
Store as concentrated solution. Centrifuge briefly prior to opening vial. For short-term storage (1-2 weeks), store at 4ºC. For long-term storage, aliquot and store at -20ºC or below. Avoid multiple freeze-thaw cycles.
- 克隆性:
Monoclonal
- 标记物:
Unconjugated
- 适应物种:
Human, Monkey
- 保质期:
12 months from the shipping date of the product.
- 抗原来源:
Human
- 目录编号:
GTX83217
- 级别:
Primary Antibodies
- 库存:
Available
- 供应商:
GeneTex
- 宿主:
Mouse
- 应用范围:
WB, ICC/IF, IHC-P, ELISA
- 靶点:
Nucleophosmin
- 抗体英文名:
Nucleophosmin antibody [7H10B9]
- 抗体名:
Nucleophosmin 抗体 [7H10B9]
- 规格:
100 μl
WB analysis of SMMC-7721 (1), HepG2 (2), HeLa (3) and HEK293 (4) cell lysate using GTX83217 Nucleophosmin antibody [7H10B9].
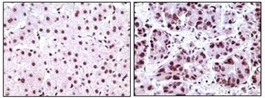
IHC-P analysis of human liver carcinoma tissue using GTX83217 Nucleophosmin antibody [7H10B9].
ICC/IF analysis of HeLa (left) and NTERA-2 (right) cells using GTX83217 Nucleophosmin antibody [7H10B9].
Green : Nucleophosmin
Red: Actin filaments
风险提示:丁香通仅作为第三方平台,为商家信息发布提供平台空间。用户咨询产品时请注意保护个人信息及财产安全,合理判断,谨慎选购商品,商家和用户对交易行为负责。对于医疗器械类产品,请先查证核实企业经营资质和医疗器械产品注册证情况。
文献和实验14 Immunotargeting of Catalase to the Pulmonary Vascular Endothelium
. In order to provide catalase with such an affinity, catalase could be chemically conjugated with a carrier antibodies recognizing the surface endothelial antigens (8 ). A monoclonal antibody (MAb) against such an antigen, angiotensin-converting enzyme
【资源】蛋白质专家巡回演讲——成都站(更新原版PPT下载地址)
纯化: http://www.91files.com/?C5RN9RFTK3I32359LY2K 5.微量液相色谱分离蛋白和多肽: http://www.91files.com/?JPT0PZ2MR7U3UG572ZQ5 6.High-throughput protein production: http://www.91files.com/?58U3QN597B9JRMUP6JYI :D :D :D 应各位战友要求,将原版PPT也上传至网络硬盘了,方便大家下载。另外,有战友反应91files里
Neutralizing Bioassay Protocols
describe in vitro bioassays using neutralizing anti-mouse and anti-human cytokine antibodies. In general, the cytokine bioassay protocols are modified to pre-incubate the cytokine of interest with the specific neutralizing antibody prior to addition
技术资料暂无技术资料 索取技术资料








![Laminin beta 3 antibody [C1C3]](https://img1.dxycdn.com/2023/0516/045/6925717576889828561-14.jpg!wh200)

