相关产品推荐更多 >
万千商家帮你免费找货
0 人在求购买到急需产品
- 详细信息
- 文献和实验
- 技术资料
- 免疫原:
KLH conjugated synthetic peptide between 831-858 amino acids from the C-terminal region of human COL6A1.
- 亚型:
IgG
- 形态:
Liquid
- 保存条件:
Store as concentrated solution. Centrifuge briefly prior to opening vial. For short-term storage (1-2 weeks), store at 4ºC. For long-term storage, aliquot and store at -20ºC or below. Avoid multiple freeze-thaw cycles.
- 克隆性:
Polyclonal
- 标记物:
Unconjugated
- 适应物种:
Human
- 保质期:
12 months from the shipping date of the product.
- 抗原来源:
Human
- 目录编号:
GTX81823
- 级别:
Primary Antibodies
- 库存:
Available
- 供应商:
GeneTex
- 宿主:
Rabbit
- 应用范围:
WB, ICC/IF, IHC-P, FACS
- 浓度:
Batch dependent (Please refer to the vial label for the specific concentration.)
- 靶点:
COL6A1
- 抗体英文名:
COL6A1 antibody, C-term
- 抗体名:
COL6A1 抗体, C-term
- 规格:
400 μl
WB analysis of A431 cell lysate using GTX81823 COL6A1 antibody, C-term.
Loading : 20ug
Dilution : 1:1000
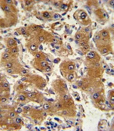
IHC-P analysis of human hepatocarcinoma using GTX81823 COL6A1 antibody, C-term.
WB analysis of Y79 cell lysate (35ug/lane) using GTX81823 COL6A1 antibody, C-term.
ICC/IF analysis of A2058 cells using GTX81823 COL6A1 antibody, C-term.
Green : COL6A1
Blue : DAPI
FACS analysis of 293 cells using GTX81823 COL6A1 antibody, C-term.
Top histogram : negative control
Bottom histogram : 293 cells
风险提示:丁香通仅作为第三方平台,为商家信息发布提供平台空间。用户咨询产品时请注意保护个人信息及财产安全,合理判断,谨慎选购商品,商家和用户对交易行为负责。对于医疗器械类产品,请先查证核实企业经营资质和医疗器械产品注册证情况。
文献和实验于研究。 性能参数 LIST OF ANTBODY PRODUCTS AP8401a BDP1 N-term Antibody AP8408b MEG2 C-term Antibody AP8451b PPP3CA C-term Antibody AP8449b CTDSP1 C-term Antibody AP8408a MEG2 N-term Antibody AP8451a PPP3CA N-term Antibody AP8449
【资源】全面归类网址:毕赤酵母表达各种来源蛋白(细菌,真菌,植物,人类等)
europaea (olive tree) aeroallergen Ole e 1S, 60 mg/L, α-MF[115, 334, 391]Olea europaea 1,3-β-glucanase Ole e 9 C-term.seg.S, 100 mg/L, α-MF, active486Oleaceae sp. (lilac and privet) pollen allergensS, 30 mg/L, reactive481Pepper endo-b-1,4-glucanase cCel1S
[资源] 所有的看家基因(housekeeping genes)列表+引物设计服务
1, mRNA 8138 NM_004689 Homo sapiens metastasis associated 1 (MTA1), mRNA 506 NM_001848 Homo sapiens collagen, type VI, alpha 1 (COL6A1), mRNA 757 NM_004068 Homo sapiens adaptor-related protein complex 2, mu 1 subunit (AP2M1), mRNA 2188 NM
技术资料暂无技术资料 索取技术资料






![SAFB antibody [6F7]](https://img1.dxycdn.com/2023/0711/451/6106825198874858761-14.jpg!wh200)

![HAUS1 antibody [N1C3]](https://img1.dxycdn.com/2023/0516/407/0466332107306928561-14.jpg!wh200)

