相关产品推荐更多 >
万千商家帮你免费找货
0 人在求购买到急需产品
- 详细信息
- 文献和实验
- 技术资料
- 免疫原:
Synthetic 16 amino acid peptide from 3rd cytoplasmic domain of human 5HT1D Receptor.
- 亚型:
IgG
- 形态:
Liquid
- 保存条件:
Store as concentrated solution. Centrifuge briefly prior to opening vial. For short-term storage (1-2 weeks), store at 4ºC. For long-term storage, aliquot and store at -20ºC or below. Avoid multiple freeze-thaw cycles.
- 克隆性:
Polyclonal
- 标记物:
Unconjugated
- 适应物种:
Human, Pig
- 保质期:
12 months from the shipping date of the product.
- 抗原来源:
Human
- 目录编号:
GTX78105
- 级别:
Primary Antibodies
- 库存:
Available
- 供应商:
GeneTex
- 宿主:
Rabbit
- 应用范围:
IHC-P
- 浓度:
1 mg/ml (Please refer to the vial label for the specific concentration.)
- 靶点:
5-HT1D receptor
- 抗体英文名:
5-HT1D receptor antibody
- 抗体名:
5-HT1D receptor 抗体
- 规格:
25 μg
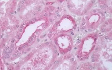
IHC-P analysis of human kidney tissue using GTX78105 5-HT1D receptor antibody.
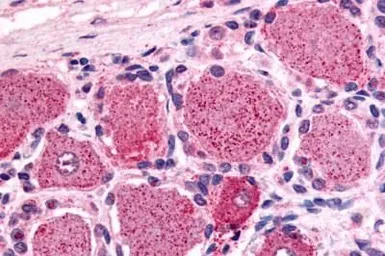
IHC-P analysis of human spinal cord, dorsal root ganglion tissue using GTX78105 5-HT1D receptor antibody.
Antigen retrieval : Heat-induced antigen retrieval
IHC-P analysis of human brain, cerebellum tissue using GTX78105 5-HT1D receptor antibody.
风险提示:丁香通仅作为第三方平台,为商家信息发布提供平台空间。用户咨询产品时请注意保护个人信息及财产安全,合理判断,谨慎选购商品,商家和用户对交易行为负责。对于医疗器械类产品,请先查证核实企业经营资质和医疗器械产品注册证情况。
文献和实验Serotonin (5-hydroxytryptamine, 5-HT), was discovered as a serum factor that exerts tonic effects on blood vessels; its chemical structure was elucidated in 1948. The compound gained wide interest among pharmacologists, and in a short time
总蛋白(包括质膜和细胞器膜蛋白),但费时费力。目前,有一种最新型有效的膜蛋白提取工具,并具有高纯度、高特异性、高载量温和提取的优点。是基于1980年科学家在牛眼视网膜中发现的一种命名为Rho1D4的氨基酸序列以及其对应的抗体来作为亲和标签纯化膜蛋白取得了非常好的效果,将Rho1D4抗体链接在琼脂糖或磁珠上,用于亲和层析带有Rho1D4标签的膜蛋白,能近乎完美的解决这些研究难题。1) 什么是Rho1D4?Rho1D4是指在牛眼视网膜细胞内的牛视紫红质C端的最后九位氨基酸。Rho1D4得名于与该序列
Radioligand Binding to Solubilized 5-HT3 Receptors
Most receptors, apart from those for steroid and thyroid hormones, are transmembrane glycoproteins and are generally expressed by tissues in relatively low quantities. Exceptions include the nicotinic acetylcholine receptor in Torpedo
技术资料暂无技术资料 索取技术资料







![Caspase 2 antibody [18E809.3]](https://img1.dxycdn.com/2023/0711/451/6106825198874858761-14.jpg!wh200)


