相关产品推荐更多 >
万千商家帮你免费找货
0 人在求购买到急需产品
- 详细信息
- 文献和实验
- 技术资料
- 免疫原:
A synthetic peptide corresponding to a N-terminal region of Human C4 binding protein B.
- 亚型:
IgG
- 形态:
Liquid
- 保存条件:
Store as concentrated solution. Centrifuge briefly prior to opening vial. For short-term storage (1-2 weeks), store at 4ºC. For long-term storage, aliquot and store at -20ºC or below. Avoid multiple freeze-thaw cycles.
- 克隆性:
Polyclonal
- 标记物:
Unconjugated
- 适应物种:
Human
- 保质期:
12 months from the shipping date of the product.
- 抗原来源:
Human
- 目录编号:
GTX47750
- 级别:
Primary Antibodies
- 库存:
Available
- 供应商:
GeneTex
- 宿主:
Rabbit
- 应用范围:
WB, IHC-P
- 浓度:
0.5-1 mg/ml (Please refer to the vial label for the specific concentration.)
- 靶点:
C4 binding protein B
- 抗体英文名:
C4 binding protein B antibody, N-term
- 抗体名:
C4 binding protein B 抗体, N-term
- 规格:
50 μg
WB analysis of human fetal liver tissue using GTX47750 C4BPB antibody at 0.2-1μg/ml.
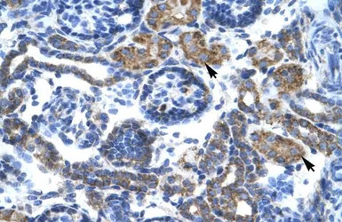
IHC-P analysis of human kidney tissue using GTX47750 C4BPB antibody at 4.0-8.0μg/ml.
WB analysis of human B lymphoblast cells using GTX47750 C4BPB antibody at 1μg/ml.
风险提示:丁香通仅作为第三方平台,为商家信息发布提供平台空间。用户咨询产品时请注意保护个人信息及财产安全,合理判断,谨慎选购商品,商家和用户对交易行为负责。对于医疗器械类产品,请先查证核实企业经营资质和医疗器械产品注册证情况。
文献和实验ANTIBODY BINDING TO PROTEIN A AND PROTEIN G
2c + ++ Sources of information: Akerstrom, B., Brodin, T., Reis, K., and Bjorck, L. 1985. Protein G: A powerful tool for binding and detection of monoclonal and polyclonal antibodies. J. Immunol. 135:2589-2592. Akerstrom, B. and Bjorck, L. 1986
Purification and Functional Characterization of C4b-Binding Protein (C4BP)
C4b-binding protein (C4BP) is a soluble, 570 kDa large glycoprotein, present in plasma at a concentration of approximately 200 mg/L. C4BP is the main inhibitor of the classical and lectin pathways of complement, where it controls C4b-mediated
Epitope Mapping: Identiflcation of Antibody- Binding Sites on Protein Antigens
An epitope can be simply defined as that part of an antigen involved in its recogmtion by an antibody In the case of protein antigens, an epitope would consist of a group of mdlvidual ammo-acid side-chains close together on the protein surface
技术资料暂无技术资料 索取技术资料








![CBP80 antibody [N2], N-term](https://img1.dxycdn.com/2023/0516/045/6925717576889828561-14.jpg!wh200)

