相关产品推荐更多 >
万千商家帮你免费找货
0 人在求购买到急需产品
- 详细信息
- 文献和实验
- 技术资料
- 免疫原:
Recombinant protein encompassing a sequence within the center region of human S100 alpha 2. The exact sequence is proprietary.
- 亚型:
IgG
- 形态:
Liquid
- 保存条件:
Store as concentrated solution. Centrifuge briefly prior to opening vial. For short-term storage (1-2 weeks), store at 4ºC. For long-term storage, aliquot and store at -20ºC or below. Avoid multiple freeze-thaw cycles.
- 克隆性:
Polyclonal
- 标记物:
Unconjugated
- 适应物种:
Human
- 保质期:
12 months from the shipping date of the product.
- 抗原来源:
Human
- 目录编号:
GTX121457
- 级别:
Primary Antibodies
- 库存:
Available
- 供应商:
GeneTex
- 宿主:
Rabbit
- 应用范围:
WB, ICC/IF, IHC-P
- 浓度:
0.85 mg/ml (Please refer to the vial label for the specific concentration.)
- 靶点:
S100 alpha 2
- 抗体英文名:
S100 alpha 2 antibody [N1C3]
- 抗体名:
S100 alpha 2 抗体 [N1C3]
- 规格:
100 μl/25 μl
| 规格: | 100 μl | 产品价格: | ¥4000.0 |
|---|---|---|---|
| 规格: | 25 μl | 产品价格: | ¥1700.0 |
S100A2 antibody [N1C3] detects S100A2 protein at cytoplasm and nucleus by immunofluorescent analysis.
Sample: A431 cells were fixed in 4% PFA/PBS for 15 min.
Green: S100A2 protein stained by S100A2 antibody [N1C3] (GTX121457) diluted at 1:500.
Blue: Hoechst 33342 staining.
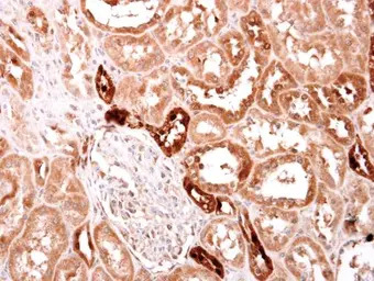
S100A2 antibody [N1C3] detects S100A2 protein at cytoplasm on human normal kidney by immunohistochemical analysis.
Sample: Paraffin-embedded human normal kidney.
S100A2 antibody [N1C3] (GTX121457) diluted at 1:500.
Antigen Retrieval: Trilogy™ (EDTA based, pH 8.0) buffer, 15min
Sample (30 ug of whole cell lysate)
A: A431
15% SDS PAGE
GTX121457 diluted at 1:10000
风险提示:丁香通仅作为第三方平台,为商家信息发布提供平台空间。用户咨询产品时请注意保护个人信息及财产安全,合理判断,谨慎选购商品,商家和用户对交易行为负责。对于医疗器械类产品,请先查证核实企业经营资质和医疗器械产品注册证情况。
文献和实验Lin SJ et al., J Proteomics 2013 (PMID:24080422)
secondary antibody review -- data from 99 publications
cytometry used as a control to detect cell responses targeted antigen 7 Alexa Fluor 488 7 Cy3 8 goat IgG Alexa Fluor 488 1:2000 detect antibody binding in human embryonic kidney 293T cells Invitrogen 9 donkey
guanyl releasing protein 2 (calcium andDAG-regulated)/ NM_005825 ATPase, Ca++ transporting,ubiquitous,transcript variant 1 / NM_005173 protein tyrosine kinase 2 beta/ NM_004103 S100 calcium-binding protein A9(calgranulin B )/ NM_002965 integrin, alpha
domesticus x Mus spretus] F1 DNA). In the analysis of the antibody bound (B) and unbound (U) fractions (right panel), the bands representing the maternal and paternal alleles are indicated.MATERIALS Reagents100-bp DNA step ladder (for duplex PCR
技术资料暂无技术资料 索取技术资料






![YTHDF2 antibody [HL1355]](https://img1.dxycdn.com/2023/0711/058/8406876405285858761-14.jpg!wh200)

