相关产品推荐更多 >
万千商家帮你免费找货
0 人在求购买到急需产品
- 详细信息
- 文献和实验
- 技术资料
- 免疫原:
A synthetic peptide made to an internal sequence of mouse proNeurokinin B (~93% homology to the rat sequence). [UniProt# P55099]
- 亚型:
IgG
- 形态:
Liquid
- 保存条件:
Store as concentrated solution. Centrifuge briefly prior to opening vial. For short-term storage (1-2 weeks), store at 4ºC. For long-term storage, aliquot and store at -20ºC or below. Avoid multiple freeze-thaw cycles.
- 克隆性:
Polyclonal
- 标记物:
Unconjugated
- 适应物种:
Human, Mouse, Rat
- 保质期:
12 months from the shipping date of the product.
- 抗原来源:
Mouse
- 目录编号:
GTX30464
- 级别:
Primary Antibodies
- 库存:
Available
- 供应商:
GeneTex
- 宿主:
Rabbit
- 应用范围:
WB, IHC-P, IHC-Fr, IHC
- 浓度:
1 mg/ml (Please refer to the vial label for the specific concentration.)
- 靶点:
Neurokinin B
- 抗体英文名:
Neurokinin B antibody
- 抗体名:
Neurokinin B 抗体
- 规格:
100 μl
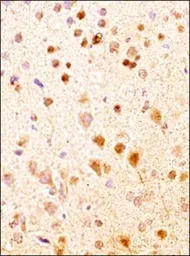
IHC analysis of rat brain tissue using GTX30464 Neurokinin B antibody.
IHC-P analysis of mouse brain tissue using GTX30464 Neurokinin B antibody.
Dilution : 1:100
IHC-P analysis of mouse brain tissue using GTX30464 Neurokinin B antibody.
Dilution : 1:200
风险提示:丁香通仅作为第三方平台,为商家信息发布提供平台空间。用户咨询产品时请注意保护个人信息及财产安全,合理判断,谨慎选购商品,商家和用户对交易行为负责。对于医疗器械类产品,请先查证核实企业经营资质和医疗器械产品注册证情况。
文献和实验人神经激肽B(Neurokinin B)ELISA试剂盒 说明书
上海西唐生物科技有限公司 021-55229872, 65333639 www.westang.com 人神经激肽B ( Neurokinin B )ELISA 试剂盒 ( 用于血清、血浆、细胞培养上清液和其它生物体液内 ) 原理 本实验采用双抗体夹心 ABC-ELISA 法。用抗人 Neurokinin B 单抗包被于酶标板上,标准品和样品中的 Neurokinin B
Antibody-Induced Opsonophagocytosis of Serogroup B Meningococci Measured by Flow Cytometry
meningococci, there seems to be a correlation between SBA activity and protection (1 ), whereas OP has been less well-studied. This function may have a supplementary or even major role in protection against group B meningococci.
人神经激肽A(Neurokinin A)ELISA试剂盒 说明书
上海西唐生物科技有限公司 021-55229872, 65333639 www.westang.com 人神经激肽A ( Neurokinin A )ELISA 试剂盒 ( 用于血清、血浆、细胞培养上清液和其它生物体液内 ) 原理 本实验采用双抗体夹心 ABC-ELISA 法。用抗人 Neurokinin A 单抗包被于酶标板上,标准
技术资料暂无技术资料 索取技术资料





![CTLA4 antibody [UC10-4F10-11]](https://img1.dxycdn.com/2023/0711/451/6106825198874858761-14.jpg!wh200)



