相关产品推荐更多 >
万千商家帮你免费找货
0 人在求购买到急需产品
- 详细信息
- 文献和实验
- 技术资料
- 免疫原:
Synthetic peptide corresponding to aa (EEEDVPGQAKDELC) of human Calreticulin, conjugated to KLH.
- 亚型:
IgG2a
- 形态:
Liquid
- 保存条件:
Store as concentrated solution. Centrifuge briefly prior to opening vial. For short-term storage (1-2 weeks), store at 4ºC. For long-term storage, aliquot and store at -20ºC or below. Avoid multiple freeze-thaw cycles.
- 克隆性:
Monoclonal
- 标记物:
Unconjugated
- 适应物种:
Human, Mouse
- 保质期:
12 months from the shipping date of the product.
- 抗原来源:
Human
- 目录编号:
GTX83089
- 级别:
Primary Antibodies
- 库存:
Available
- 供应商:
GeneTex
- 宿主:
Mouse
- 应用范围:
WB, ICC/IF, IHC-P, ELISA
- 靶点:
Calreticulin
- 抗体英文名:
Calreticulin antibody [1G6A7]
- 抗体名:
Calreticulin 抗体 [1G6A7]
- 规格:
100 μl
WB analysis of HEK293T cells transfected with the pCMV6-ENTRY control (1) and pCMV6-ENTRY Calreticulin cDNA (2) using GTX83089 Calreticulin antibody [1G6A7].
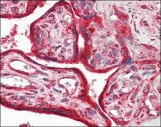
IHC-P analysis of human placenta tissue using GTX83089 Calreticulin antibody [1G6A7].
ICC/IF analysis of SKBR-3 (left) and A549 (right) cells using GTX83089 Calreticulin antibody [1G6A7].
Green : Calreticulin
Blue: DRAQ5 fluorescent DNA dye
Red: Actin filaments
WB analysis of HeLa (1), A549 (2), NTERA2 (3) and MCF-7 (4) cell lysate using GTX83089 Calreticulin antibody [1G6A7].
ICC/IF analysis of 3T3-L1 cells using GTX83089 Calreticulin antibody [1G6A7].
Green : Calreticulin
Blue: DRAQ5 fluorescent DNA dye
风险提示:丁香通仅作为第三方平台,为商家信息发布提供平台空间。用户咨询产品时请注意保护个人信息及财产安全,合理判断,谨慎选购商品,商家和用户对交易行为负责。对于医疗器械类产品,请先查证核实企业经营资质和医疗器械产品注册证情况。
文献和实验Thin-Layer Chromatographic Analysis of Human CYP3A-Catalyzed Testosterone 6-Hydroxylation
At least two cytochromes P450 belonging to the CYP3A subfamily may be expressed in adult human liver (1 ), CYP3A4 and CYP3A5. A third enzyme, CYP3A7, is expressed in human fetal liver (2 ). The CYP3A enzymes account for an estimated ~30
。所以,我们建议使用微波炉或高压锅加热煮沸以达到最佳抗原修复效果。抗体:Phospho–Stat3 (Tyr705)(D3A7) XP. Rabbit mAb #9145样本:石蜡包埋人类肺部肿瘤样本煮沸设备:浴锅 (左),微波炉 (中),高压锅 (右)免疫染色—封闭在 IHC–P 中,我们建议在室温下在含有 Tween20 的 TBST 缓冲液和 5% 正常山羊血清 (NGS) 中封闭样品,时长 1 小时,以防止非特异性背景染色。在进行 IHC–F 时,在含有 0.3% Triton. X–100 的 1X
CD1a/CD1b/CD1c/CD1d分子 CD1a 常用单克隆抗体或代号:T6,Leu6 主要表达细胞:Thy,DCsub,LHC,Bsub T细胞 分子质量(kDa)和结构:gp49(IgSF) 功 能:与β2m组成MHCI类样分子,有抗原提呈功能 CD1b 常用单克隆抗体或代号:WM-25,4A7.6,NUT2 主要表达细胞:Thy,DC,LHC,Bsub T细胞 分子
技术资料暂无技术资料 索取技术资料






![IKB beta antibody [7B4]](https://img1.dxycdn.com/2023/0711/451/6106825198874858761-14.jpg!wh200)

![MST3 antibody [N3C3-2]](https://img1.dxycdn.com/2023/0711/255/2344116916935858761-14.jpg!wh200)

