相关产品推荐更多 >
万千商家帮你免费找货
0 人在求购买到急需产品
- 详细信息
- 文献和实验
- 技术资料
- 免疫原:
Purified recombinant fragment of CD10 expressed in E. Coli.
- 亚型:
IgG1
- 形态:
Liquid
- 保存条件:
Store as concentrated solution. Centrifuge briefly prior to opening vial. For short-term storage (1-2 weeks), store at 4ºC. For long-term storage, aliquot and store at -20ºC or below. Avoid multiple freeze-thaw cycles.
- 克隆性:
Monoclonal
- 标记物:
Unconjugated
- 适应物种:
Human
- 保质期:
12 months from the shipping date of the product.
- 抗原来源:
Human
- 目录编号:
GTX83175
- 级别:
Primary Antibodies
- 库存:
Available
- 供应商:
GeneTex
- 宿主:
Mouse
- 应用范围:
WB, IHC-P, ELISA
- 靶点:
CD10
- 抗体英文名:
CD10 antibody [3G9D10]
- 抗体名:
CD10 抗体 [3G9D10]
- 规格:
100 μl
WB analysis of truncated CD10-His recombinant protein using GTX83175 CD10 antibody [3G9D10].
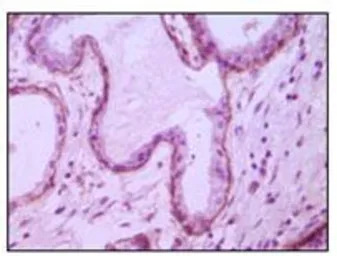
IHC-P analysis of human breast ductal myoepithelium using GTX83175 CD10 antibody [3G9D10].
风险提示:丁香通仅作为第三方平台,为商家信息发布提供平台空间。用户咨询产品时请注意保护个人信息及财产安全,合理判断,谨慎选购商品,商家和用户对交易行为负责。对于医疗器械类产品,请先查证核实企业经营资质和医疗器械产品注册证情况。
文献和实验of patients with open heart surgery the expression of the membrane peptidases neprilysin/CD10 and aminopeptidase N/CD13, was determined on granulocytes in comparison to the monocytic HLA-DR expression. We used the QuantiBRITE™ flow cytometry
membrane, creating a structure similar to an ion channel Delivers early signal in B cell activation, allowing resting B cells to respond to later antigens Rituximab is a chimeric murine-human anti-CD20 antibody used for treatment of B cell
deoxynucleotidyl transferase,TdT)以及共同型急性淋巴母细胞白血病抗原(common acute lymphoblastic leukaemia antigen,CALLA)即CD10可表达在前B细胞,进入非成熟B细胞后这两种标志即消失,因此TdT和CD10对于区分前B细胞与B细胞其它发育阶段非常有用。CD19、CD20和MHCⅡ类抗原在此阶段开始表达。前B细胞对抗原沅应答能力。 2.不成熟B细胞(immature B cell) 开始表达mIgM,但如与抗原结合,则产生负应答
技术资料暂无技术资料 索取技术资料







![C5a R1 antibody [10/92]](https://img1.dxycdn.com/2023/0711/451/6106825198874858761-14.jpg!wh200)
![ATF6 antibody [C3], C-term](https://img1.dxycdn.com/2023/0516/895/8887749495766728561-14.jpg!wh200)

