相关产品推荐更多 >
万千商家帮你免费找货
0 人在求购买到急需产品
- 详细信息
- 文献和实验
- 技术资料
- 免疫原:
Purified recombinant fragment of ERBB3 (aa1175-1275) expressed in E. Coli.
- 亚型:
IgG1
- 形态:
Liquid
- 保存条件:
Store as concentrated solution. Centrifuge briefly prior to opening vial. For short-term storage (1-2 weeks), store at 4ºC. For long-term storage, aliquot and store at -20ºC or below. Avoid multiple freeze-thaw cycles.
- 克隆性:
Monoclonal
- 标记物:
Unconjugated
- 适应物种:
Human
- 保质期:
12 months from the shipping date of the product.
- 抗原来源:
Human
- 目录编号:
GTX83178
- 级别:
Primary Antibodies
- 库存:
Available
- 供应商:
GeneTex
- 宿主:
Mouse
- 应用范围:
WB, IHC-P, ELISA
- 靶点:
Her3 / ErbB3
- 抗体英文名:
Her3 / ErbB3 antibody [3F10F6]
- 抗体名:
Her3 / ErbB3 抗体 [3F10F6]
- 规格:
100 μl
WB analysis of truncated Trx-ERBB3 recombinant protein (1) and MBP-ERBB3 (aa1175-1275) recombinant protein (2) using GTX83178 Her3 / ErbB3 antibody [3F10F6].
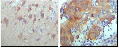
IHC-P analysis of human cerebra (left) and breast carcinoma tissue (right) using GTX83178 Her3 / ErbB3 antibody [3F10F6].
风险提示:丁香通仅作为第三方平台,为商家信息发布提供平台空间。用户咨询产品时请注意保护个人信息及财产安全,合理判断,谨慎选购商品,商家和用户对交易行为负责。对于医疗器械类产品,请先查证核实企业经营资质和医疗器械产品注册证情况。
文献和实验,EDTA 缓冲液适用于多数磷酸化酪氨酸特异性抗体,而柠檬酸盐缓冲液适用于其他多数抗体。每天都需制备新鲜的 1X 溶液。抗体:hospho-HER3/ErbB3 (Tyr1289) (D1B5) Rabbit mAb #2842样本:蜡包埋人类肺部肿瘤抗原修复缓冲液:柠檬酸盐缓冲液(左)或者 EDTA 缓冲液(右)煮沸装置载玻片在所推荐的缓冲液中加热煮沸一段时间后,才可引起抗原修复。该步骤通常在微波炉或高压锅中进行。虽然,一些研究人员也使用水浴锅,但是,因为该步骤中所选择的装置对染色存在积极或消极的影响
number of genes (including ERBB2 , ERBB3 , VEGF , and EPO 5-8 ). However, rational design has not always yielded functional regulators in vivo , mainly because knowledge of both regulatory areas and of endogenous factors affecting transcription factor�DNA
ELISPOT (Enzyme-linked ImmunoSPOT)
A 88-7370 eBio17CK15A5 eBio17B7 TNF-α 88-7328 1F3F3D4 mAb Cocktail Table 2: Human ELISPOT Ready-Set-Go! Sets & Antibody Selection Quick Guide
技术资料暂无技术资料 索取技术资料







![MMP2 antibody [4D1E2]](https://img1.dxycdn.com/2023/0711/451/6106825198874858761-14.jpg!wh200)
![DIAPH3 antibody [C1C3]](https://img1.dxycdn.com/2023/0516/895/8887749495766728561-14.jpg!wh200)

