相关产品推荐更多 >
万千商家帮你免费找货
0 人在求购买到急需产品
- 详细信息
- 文献和实验
- 技术资料
- 免疫原:
The antiserum was produced against synthesized peptide derived from human K0100 (681-730).
- 亚型:
IgG
- 形态:
Liquid
- 保存条件:
Store as concentrated solution. Centrifuge briefly prior to opening vial. For short-term storage (1-2 weeks), store at 4ºC. For long-term storage, aliquot and store at -20ºC or below. Avoid multiple freeze-thaw cycles.
- 克隆性:
Polyclonal
- 标记物:
Unconjugated
- 适应物种:
Human
- 保质期:
12 months from the shipping date of the product.
- 抗原来源:
Human
- 目录编号:
GTX87678
- 级别:
Primary Antibodies
- 库存:
Available
- 供应商:
GeneTex
- 宿主:
Rabbit
- 应用范围:
IHC-P
- 浓度:
Batch dependent (Please refer to the vial label for the specific concentration.)
- 靶点:
K0100
- 抗体英文名:
K0100 antibody
- 抗体名:
K0100 抗体
- 规格:
100 μg
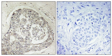
IHC-P analysis of human breast carcinoma tissue using GTX87678 K0100 antibody. The picture on the right is blocked with the synthesized peptide.
风险提示:丁香通仅作为第三方平台,为商家信息发布提供平台空间。用户咨询产品时请注意保护个人信息及财产安全,合理判断,谨慎选购商品,商家和用户对交易行为负责。对于医疗器械类产品,请先查证核实企业经营资质和医疗器械产品注册证情况。
文献和实验促进血液凝固的脂溶性维生素, K是 Koagu-lation的缩写。也称抗出血性维生素。作为具此作用的物质已从天然物中分离出 K1 , K2 ,以及合成出 K3 , K4 ,它们都是萘醌的衍生物。维生素 K1 亦称为叶绿醌, C3 1 H46 O2 ,黄色油状。维生素 K2 亦称为金合欢醌或甲基萘醌 C41 H36 O2 。维生素 K3 就是 2-甲基 1, 4萘醌( menadione),它是人工合成的代表性物质,有特殊臭味,作为维生素作用
Karyotye (核型):一个细胞或种属中整个染色体物质。 Kilobase, kb (千碱基):1000 个DNA 碱基对或1000 个RNA 碱基的缩写。 Kinase (激酶):磷酸化(加上一个磷酸基团) 底物的酶,蛋白质激酶的底物是其它蛋白质的 氨基酸,分为酪氨酸特异性及丝氨酸/苏氨酸特异性激酶两类。 Kinetic complexity (动力学复杂度):DNA 复性动力学检测的DNA 成分的复杂度。 Kinetochore (动粒纤维):染色体的结构
从毒品到抗抑郁药物,中国研究团队 Nature 揭示「K 粉
氯胺酮(Ketamine),化学名为 2-邻氯苯基-2-甲氨基环己酮,其最早是由美国药剂师 CalvinStevens 合成的,起初作为麻醉使用,氯胺酮作为麻醉药使用的特点是麻醉作用快,但作用时间很短,在越南战争中被广泛应用于创伤外科。但在氯胺酮发明 9 年之后,氯胺酮就被滥用,成为了一类毒品。70 mg 的氯胺酮会引发中毒反应,200 mg 就会让人产生幻觉,如果一次性使用过多可能会导致呼吸停止甚至死亡。氯胺酮还有一个大家更熟悉的名字就是「K 粉」,之所以叫这个名字是因为氯胺酮英文的第一
技术资料暂无技术资料 索取技术资料






![TRIM36 antibody [C3], C-term](https://img1.dxycdn.com/2023/0516/045/6925717576889828561-14.jpg!wh200)
![CLEC4E antibody [AT16E3]](https://img1.dxycdn.com/2023/0711/451/6106825198874858761-14.jpg!wh200)


