相关产品推荐更多 >
万千商家帮你免费找货
0 人在求购买到急需产品
- 详细信息
- 文献和实验
- 技术资料
- 免疫原:
Full length human recombinant protein of human SLC2A5 (NP_003030) produced in HEK293T cell.
- 亚型:
IgG1
- 形态:
Liquid
- 保存条件:
Store as concentrated solution. Centrifuge briefly prior to opening vial. For short-term storage (1-2 weeks), store at 4ºC. For long-term storage, aliquot and store at -20ºC or below. Avoid multiple freeze-thaw cycles.
- 克隆性:
Monoclonal
- 标记物:
Unconjugated
- 适应物种:
Human
- 保质期:
12 months from the shipping date of the product.
- 抗原来源:
Human
- 目录编号:
GTX83631
- 级别:
Primary Antibodies
- 库存:
Available
- 供应商:
GeneTex
- 宿主:
Mouse
- 应用范围:
WB, ICC/IF, IHC-P, FACS
- 浓度:
1 mg/ml (Please refer to the vial label for the specific concentration.)
- 靶点:
GLUT5
- 抗体英文名:
GLUT5 antibody [20E1]
- 抗体名:
GLUT5 抗体 [20E1]
- 规格:
100 μl
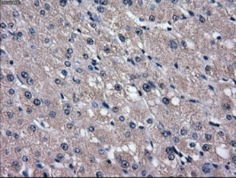
IHC-P analysis of human liver tissue using GTX83631 GLUT5 antibody [20E1].
Antigen retrieval : Heat-induced epitope retrieval by 10mM citrate buffer, pH6.0, 100ºC for 10min.
FACS analysis of HeLa cells using GTX83631 GLUT5 antibody [20E1].
Red : Primary antibody
Blue : Negative control antibody
FACS analysis of Jurkat cells using GTX83631 GLUT5 antibody [20E1].
Red : Primary antibody
Blue : Negative control antibody
ICC/IF analysis of COS7 cells transiently transfected with GLUT5 plasmid using GTX83631 GLUT5 antibody [20E1].
WB analysis of HEK293T cells transfected with GLUT5 plasmid (Right) or empty vector (Left) for 48 hrs using GTX83631 GLUT5 antibody [20E1].
Loading : 5 ug per lane
ICC/IF analysis of HepG2 cells using GTX83631 GLUT5 antibody [20E1].
风险提示:丁香通仅作为第三方平台,为商家信息发布提供平台空间。用户咨询产品时请注意保护个人信息及财产安全,合理判断,谨慎选购商品,商家和用户对交易行为负责。对于医疗器械类产品,请先查证核实企业经营资质和医疗器械产品注册证情况。
文献和实验membrane, creating a structure similar to an ion channel Delivers early signal in B cell activation, allowing resting B cells to respond to later antigens Rituximab is a chimeric murine-human anti-CD20 antibody used for treatment of B cell
environment with little denaturation. Purified antibodies: Once purified, if the antibody is at less than 0.1 mg/ml add a small amount of detergent or protein (0.1% TWEEN-20 or 1% bovine serum albumin) and some protease inhibitors to the solution
(5) 10X PBS80 g NaCl2 g KCl14.4 g Na2HPO42.4 g KH2PO4up to 1 liter with Q(6) Affigel Blue Regeneration Buffer2 M guanidine HCl or 1.5 M Na thiocyanate(7) HiTrap Storage Buffer10 mM Tris 7.5 1 ml 1M Tris 7.50.1 mM EDTA 20 ul 500 mM EDTA50 mM NaCl 1 ml 5M
技术资料暂无技术资料 索取技术资料





![Human Papillomavirus type 18 E7 antibody [GT881]](https://img1.dxycdn.com/2023/0711/451/6106825198874858761-14.jpg!wh200)



![ENO1 antibody [N3C3]](https://img1.dxycdn.com/2023/0516/895/8887749495766728561-14.jpg!wh200)

