相关产品推荐更多 >
万千商家帮你免费找货
0 人在求购买到急需产品
- 详细信息
- 文献和实验
- 技术资料
- 免疫原:
Recombinant human Napsin-A protein fragment (aa189-299) (exact sequence is proprietary)
- 亚型:
IgG1
- 形态:
Liquid
- 保存条件:
Store as concentrated solution. Centrifuge briefly prior to opening vial. For short-term storage (1-2 weeks), store at 4ºC. For long-term storage, aliquot and store at -20ºC or below. Avoid multiple freeze-thaw cycles.
- 克隆性:
Monoclonal
- 标记物:
Unconjugated
- 适应物种:
Human
- 保质期:
12 months from the shipping date of the product.
- 抗原来源:
Human
- 目录编号:
GTX34888
- 级别:
Primary Antibodies
- 库存:
Available
- 供应商:
GeneTex
- 宿主:
Mouse
- 应用范围:
WB, ICC/IF, IHC-P, FACS
- 浓度:
0.2 mg/ml (Please refer to the vial label for the specific concentration.)
- 靶点:
Napsin A
- 抗体英文名:
Napsin A antibody [NAPSA/1239]
- 抗体名:
Napsin A 抗体 [NAPSA/1239]
- 规格:
100 μg
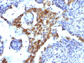
IHC-P analysis of human lung adenocarcinoma tissue using GTX34888 Napsin A antibody [NAPSA/1239].
WB analysis of K562 and HEK293 cell lysates using GTX34888 Napsin A antibody [NAPSA/1239].
风险提示:丁香通仅作为第三方平台,为商家信息发布提供平台空间。用户咨询产品时请注意保护个人信息及财产安全,合理判断,谨慎选购商品,商家和用户对交易行为负责。对于医疗器械类产品,请先查证核实企业经营资质和医疗器械产品注册证情况。
文献和实验a subset of genomic DNA sequences of type 5'-(NNN )3 -3', whereas the 6ZF library would recognize a subset of genomic sequences of type 5'-(NNN )6 -3'. Given the zinc-finger domains used, both libraries were more likely to recognize (RNN)x -type sequences
Phage‐Based Expression Cloning to Identify Interacting Proteins
the interacting protein. This technique leads directly to the isolation of a cDNA encoding the interacting protein, bypassing the need for labor?intensive protein purification, microsequencing, or antibody production.
[资源] 所有的看家基因(housekeeping genes)列表+引物设计服务
Homo sapiens matrix metalloproteinase-like 1 (MMPL1), mRNA 695 NM_001950 Homo sapiens E2F transcription factor 4, p107/p130-binding (E2F4), mRNA 956 NM_003815 Homo sapiens a disintegrin and metalloproteinase domain 15 (metargidin) (ADAM15), mRNA
技术资料暂无技术资料 索取技术资料






![ZFYVE27 antibody [N3C3]](https://img1.dxycdn.com/2023/0711/255/2344116916935858761-14.jpg!wh200)

![Topoisomerase II alpha antibody [TOP2A/4397R]](https://img1.dxycdn.com/2023/0711/451/6106825198874858761-14.jpg!wh200)

