相关产品推荐更多 >
万千商家帮你免费找货
0 人在求购买到急需产品
- 详细信息
- 文献和实验
- 技术资料
- 免疫原:
Full length human recombinant protein of human FH (NP_000134) produced in HEK293T cell.
- 亚型:
IgG1
- 形态:
Liquid
- 保存条件:
Store as concentrated solution. Centrifuge briefly prior to opening vial. For short-term storage (1-2 weeks), store at 4ºC. For long-term storage, aliquot and store at -20ºC or below. Avoid multiple freeze-thaw cycles.
- 克隆性:
Monoclonal
- 标记物:
Unconjugated
- 适应物种:
Human, Dog
- 保质期:
12 months from the shipping date of the product.
- 抗原来源:
Human
- 目录编号:
GTX84499
- 级别:
Primary Antibodies
- 库存:
Available
- 供应商:
GeneTex
- 宿主:
Mouse
- 应用范围:
WB, ICC/IF
- 浓度:
1 mg/ml (Please refer to the vial label for the specific concentration.)
- 靶点:
Fumarate hydratase
- 抗体英文名:
Fumarate hydratase antibody [2A2]
- 抗体名:
Fumarate hydratase 抗体 [2A2]
- 规格:
100 μl
ICC/IF analysis of COS7 cells transiently transfected with Fumarate hydratase plasmid using GTX84499 Fumarate hydratase antibody [2A2].
WB analysis of HEK293T cells transfected with Fumarate hydratase plasmid (Right) or empty vector (Left) for 48 hrs using GTX84499 Fumarate hydratase antibody [2A2].
Loading : 5 ug per lane
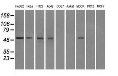
WB analysis of various cell lines using GTX84499 Fumarate hydratase antibody [2A2].
Loading : 35 ug per lane
ICC/IF analysis of HeLa cells using GTX84499 Fumarate hydratase antibody [2A2].
风险提示:丁香通仅作为第三方平台,为商家信息发布提供平台空间。用户咨询产品时请注意保护个人信息及财产安全,合理判断,谨慎选购商品,商家和用户对交易行为负责。对于医疗器械类产品,请先查证核实企业经营资质和医疗器械产品注册证情况。
文献和实验延胡索酸水合酶 fumarate hydratase 亦称延胡索酸酶。是催化延胡索酸 H2 O L-苹果酸可逆转变的酶。 EC4. 2. 1. 2。最适 pH为 6.5— 8.0。对底物有严格的特异性,反应平衡稍向右偏。在生物界广泛分布,可从肝脏、心肌和骨骼肌中得到纯品,从心肌得到的结晶品分子量约为 20万,由 4个多肽亚基组成。为柠檬酸循环中的酶,所以存在于线粒体的衬质中。
Mol Cell:南京医科大学钱旭团队揭示延胡索酸促进肿瘤恶化新机制
的 Fumarate 通过半胱氨酸琥珀酸化修饰 PTEN,抑制 PTEN 生物学活性,进一步促进肿瘤恶性进程。 延胡索酸(Fumarate)是三羧酸循环的重要中间代谢产物,能够通过延胡索酸水合酶(Fumarate Hydratase, FH)生成苹果酸,有研究表明 FH 在多种肿瘤中常发生突变,而 FH 的失活突变直接导致肿瘤细胞内 Fumarate 累积,促进肿瘤的发生发展。已有报道表明 Fumarate 做为 α-酮戊二酸(α-KG)的类似物,能够介导表观遗传重编程,其通过竞争性抑制 α-KG 依赖的组蛋白
Immunoprecipitation of PDE2 Phosphorylated and Inactivated by an Associated Protein Kinase
4 . I describe protocols for producing an antibody to an aminoterminal bacterial fusion protein encoding amino acids 1–251 of PDE2A2 as well as the use of this antibody in immunoprecipitating a PDE2:tyrosine protein-kinase complex from rat brain or PC12 cells.
技术资料暂无技术资料 索取技术资料








