相关产品推荐更多 >
万千商家帮你免费找货
0 人在求购买到急需产品
- 详细信息
- 文献和实验
- 技术资料
- 免疫原:
Recombinant protein encompassing a sequence within the center region of human Fumarate hydratase. The exact sequence is proprietary.
- 亚型:
IgG
- 形态:
Liquid
- 保存条件:
Store as concentrated solution. Centrifuge briefly prior to opening vial. For short-term storage (1-2 weeks), store at 4ºC. For long-term storage, aliquot and store at -20ºC or below. Avoid multiple freeze-thaw cycles.
- 克隆性:
Polyclonal
- 标记物:
Unconjugated
- 适应物种:
Human, Mouse, Rat
- 保质期:
12 months from the shipping date of the product.
- 抗原来源:
Human
- 目录编号:
GTX109877
- 级别:
Primary Antibodies
- 库存:
Available
- 供应商:
GeneTex
- 宿主:
Rabbit
- 应用范围:
WB, ICC/IF, IHC-P
- 浓度:
1.49 mg/ml (Please refer to the vial label for the specific concentration.)
- 靶点:
Fumarate hydratase
- 抗体英文名:
Fumarate hydratase antibody
- 抗体名:
Fumarate hydratase 抗体
- 规格:
100 μl/25 μl
| 规格: | 100 μl | 产品价格: | ¥4000.0 |
|---|---|---|---|
| 规格: | 25 μl | 产品价格: | ¥1700.0 |
Non-transfected (–) and transfected (+) 293T whole cell extracts (30 μg) were separated by 10% SDS-PAGE, and the membrane was blotted with Fumarate hydratase antibody (GTX109877) diluted at 1:1000. The HRP-conjugated anti-rabbit IgG antibody (GTX213110-01) was used to detect the primary antibody.
Fumarate hydratase antibody detects Fumarate hydratase protein by western blot analysis.
A.50 μg rat liver lysate/extract
10% SDS-PAGE
Fumarate hydratase antibody (GTX109877) dilution: 1:5000
The HRP-conjugated anti-rabbit IgG antibody (GTX213110-01) was used to detect the primary antibody.
Fumarate hydratase antibody detects Fumarate hydratase protein at mitochondria by immunofluorescent analysis.
Sample: HeLa cells were fixed in ice-cold MeOH for 5 min.
Green: Fumarate hydratase stained by Fumarate hydratase antibody (GTX109877) diluted at 1:500.
Blue: Fluoroshield with DAPI (GTX30920).
Scale bar= 10 μm.
Fumarate hydratase antibody detects FH protein by western blot analysis.
A. 50 μg mouse liver lysate/extract
7.5% SDS-PAGE
Fumarate hydratase antibody (GTX109877) dilution: 1:1000
The HRP-conjugated anti-rabbit IgG antibody (GTX213110-01) was used to detect the primary antibody.
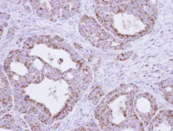
Immunohistochemical analysis of paraffin-embedded NCIN87 xenograft, using fumarate hydratase (GTX109877) antibody at 1:500 dilution.
Antigen Retrieval: Trilogy™ (EDTA based, pH 8.0) buffer, 15min
Various whole cell extracts (30 μg) were separated by 10% SDS-PAGE, and the membrane was blotted with Fumarate hydratase antibody (GTX109877) diluted at 1:1000. The HRP-conjugated anti-rabbit IgG antibody (GTX213110-01) was used to detect the primary antibody.
风险提示:丁香通仅作为第三方平台,为商家信息发布提供平台空间。用户咨询产品时请注意保护个人信息及财产安全,合理判断,谨慎选购商品,商家和用户对交易行为负责。对于医疗器械类产品,请先查证核实企业经营资质和医疗器械产品注册证情况。
文献和实验Yi-Wen Lo et al., Journal of Cellular and Molecular Medicine 2015 (PMID:25639359)
Miettinen M et al., Am J Surg Pathol 2016 (PMID:27454940)
延胡索酸水合酶 fumarate hydratase 亦称延胡索酸酶。是催化延胡索酸 H2 O L-苹果酸可逆转变的酶。 EC4. 2. 1. 2。最适 pH为 6.5— 8.0。对底物有严格的特异性,反应平衡稍向右偏。在生物界广泛分布,可从肝脏、心肌和骨骼肌中得到纯品,从心肌得到的结晶品分子量约为 20万,由 4个多肽亚基组成。为柠檬酸循环中的酶,所以存在于线粒体的衬质中。
Mol Cell:南京医科大学钱旭团队揭示延胡索酸促进肿瘤恶化新机制
的 Fumarate 通过半胱氨酸琥珀酸化修饰 PTEN,抑制 PTEN 生物学活性,进一步促进肿瘤恶性进程。 延胡索酸(Fumarate)是三羧酸循环的重要中间代谢产物,能够通过延胡索酸水合酶(Fumarate Hydratase, FH)生成苹果酸,有研究表明 FH 在多种肿瘤中常发生突变,而 FH 的失活突变直接导致肿瘤细胞内 Fumarate 累积,促进肿瘤的发生发展。已有报道表明 Fumarate 做为 α-酮戊二酸(α-KG)的类似物,能够介导表观遗传重编程,其通过竞争性抑制 α-KG 依赖的组蛋白
[资源] 所有的看家基因(housekeeping genes)列表+引物设计服务
transporter-like protein (TETRAN), mRNA 935 NM_000182 Homo sapiens hydroxyacyl-Coenzyme A dehydrogenase/3-ketoacyl-Coenzyme A thiolase/enoyl-Coenzyme A hydratase (trifunctional protein), alpha subunit (HADHA), mRNA 609 NM_003377 Homo sapiens vascular
技术资料暂无技术资料 索取技术资料







![p90 RSK1 (phospho Thr359/Ser363) antibody [RM233]](https://img1.dxycdn.com/2023/0711/451/6106825198874858761-14.jpg!wh200)

