相关产品推荐更多 >
万千商家帮你免费找货
0 人在求购买到急需产品
- 详细信息
- 文献和实验
- 技术资料
- 免疫原:
Synthetic 17 amino acid peptide from C-terminus of human CXCR3.
- 亚型:
IgG
- 形态:
Liquid
- 保存条件:
Store as concentrated solution. Centrifuge briefly prior to opening vial. For short-term storage (1-2 weeks), store at 4ºC. For long-term storage, aliquot and store at -20ºC or below. Avoid multiple freeze-thaw cycles.
- 克隆性:
Polyclonal
- 标记物:
Unconjugated
- 适应物种:
Human, Monkey
- 保质期:
12 months from the shipping date of the product.
- 抗原来源:
Human
- 目录编号:
GTX70527
- 级别:
Primary Antibodies
- 库存:
Available
- 供应商:
GeneTex
- 宿主:
Rabbit
- 应用范围:
IHC-P
- 浓度:
1 mg/ml (Please refer to the vial label for the specific concentration.)
- 靶点:
CXCR3
- 抗体英文名:
CXCR3 antibody
- 抗体名:
CXCR3 抗体
- 规格:
25 μg
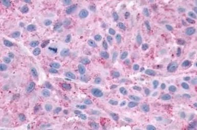
IHC-P analysis of human skin, melanoma tissue using GTX70527 CXCR3 antibody.
Antigen retrieval : Heat-induced antigen retrieval
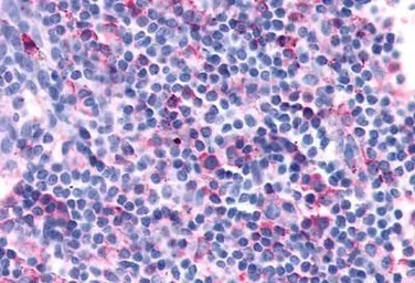
IHC-P analysis of thymus tissue using GTX70527 CXCR3 antibody.
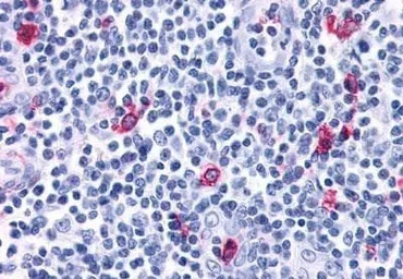
IHC-P analysis of tonsil, lymphocytes and dendritic cells tissue using GTX70527 CXCR3 antibody.
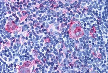
IHC-P analysis of human spleen tissue using GTX70527 CXCR3 antibody.
IHC-P analysis of human tonsil tissue using GTX70527 CXCR3 antibody.
Antigen retrieval : Heat-induced antigen retrieval
风险提示:丁香通仅作为第三方平台,为商家信息发布提供平台空间。用户咨询产品时请注意保护个人信息及财产安全,合理判断,谨慎选购商品,商家和用户对交易行为负责。对于医疗器械类产品,请先查证核实企业经营资质和医疗器械产品注册证情况。
文献和实验人CXCR3 ( CXCR - 3 )ELISA 试剂盒 ( 用于血清、血浆、细胞培养上清液和其它生物体液内 ) 原理 本实验采用双抗体夹心 ABC-ELISA 法。用抗人趋化因子受体-3( CXCR3 )单抗包被于酶标板上,标准品和样品中的 CXCR3与单抗结合,加入生物素化的抗人 CXCR3 ,形成免疫复合物连接在板上,辣根过氧化物酶标记的 Streptavidin 与生物素结合,加入
上海西唐生物科技有限公司 021-55229872, 65333639 www.westang.com 大鼠 CXCR3(CXCR-3)ELISA 试剂盒 ( 用于血清、血浆、细胞培养上清液和其它生物体液内 ) 原理 本实验采用双抗体夹心 ABC-ELISA 法。用抗大鼠趋化因子受体 -3( CXCR3 ) 单抗包被于酶标板上,标准品和样品中的 CXCR3 与单抗结合,加入生物素化的抗大鼠 CXCR3
上海西唐生物科技有限公司 021-55229872, 65333639 www.westang.com 小鼠CXCR3 ( CXCR - 3 )ELISA 试剂盒 ( 用于血清、血浆、细胞培养上清液和其它生物体液内 ) 原理 本实验采用双抗体夹心 ABC-ELISA 法。用抗小鼠趋化因子受体-3( CXCR3 )单抗包被于酶标板上,标准品和样品中的 CXCR3
技术资料暂无技术资料 索取技术资料







![GM-CSF antibody [3D3]](https://img1.dxycdn.com/2023/0711/451/6106825198874858761-14.jpg!wh200)

