相关产品推荐更多 >
万千商家帮你免费找货
0 人在求购买到急需产品
- 详细信息
- 文献和实验
- 技术资料
- 免疫原:
Recombinant human Nestin (aa1484-1500).
- 亚型:
IgG
- 形态:
Liquid
- 保存条件:
Store as concentrated solution. Centrifuge briefly prior to opening vial. For short-term storage (1-2 weeks), store at 4ºC. For long-term storage, aliquot and store at -20ºC or below. Avoid multiple freeze-thaw cycles.
- 克隆性:
Polyclonal
- 标记物:
Unconjugated
- 适应物种:
Human, Mouse, Rat, Rabbit, Bovine, Dog, Hamster, Macaque
- 保质期:
12 months from the shipping date of the product.
- 抗原来源:
Human
- 目录编号:
GTX39578
- 级别:
Primary Antibodies
- 库存:
Available
- 供应商:
GeneTex
- 宿主:
Rabbit
- 应用范围:
WB, ICC/IF, IHC-P, ELISA
- 浓度:
0.5 mg/ml (Please refer to the vial label for the specific concentration.)
- 靶点:
Nestin
- 抗体英文名:
Nestin antibody
- 抗体名:
Nestin 抗体
- 规格:
50 μg
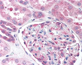
IHC-P analysis of mouse kidney tissue using GTX39578 Nestin antibody.
IHC-P analysis of human kidney tissue using GTX39578 Nestin antibody.
风险提示:丁香通仅作为第三方平台,为商家信息发布提供平台空间。用户咨询产品时请注意保护个人信息及财产安全,合理判断,谨慎选购商品,商家和用户对交易行为负责。对于医疗器械类产品,请先查证核实企业经营资质和医疗器械产品注册证情况。
文献和实验Ma F et al., Oncol Rep 2014 (PMID:25017610)
Suarez-Pereira I et al., Hippocampus 2014 (PMID:25139443)
Jiao Y et al., Nutrients 2015 (PMID:26043036)
Derivation and Characterization of Neural Cells From Embryonic Stem Cells Using Nestin Enhancer
the early neurogenic proceedings. We have taken advantage of nestin enhancer-mediated cell trapping using the live reporter-based system. We monitored live the ES cell differentiation into neural lineage by following the enhanced green fluorescent protein
Generation of Antibody Molecules Through Antibody Engineering
been overcome to a large extent using genetic-engineering techniques to produce chimeric mouse/human and completely human antibodies. Such an approach is particularly suitable because of the domain structure of the antibody molecule ( 2 ), where functional
A transgenic mouse, in which the regulatory elements of the stem cell marker, nestin drive green fluorescent protein (ND-GFP), expresses GFP in nascent blood vessels. Red fluorescent protein (RFP)-expressing tumors transplanted to nestin-GFP
技术资料暂无技术资料 索取技术资料








![LIMS1 antibody [N1C2]](https://img1.dxycdn.com/2023/0516/045/6925717576889828561-14.jpg!wh200)

