相关产品推荐更多 >
万千商家帮你免费找货
0 人在求购买到急需产品
- 详细信息
- 文献和实验
- 技术资料
- 免疫原:
Synthetic 16 amino acid peptide from 3rd cytoplasmic domain of human CHRM5.
- 亚型:
IgG
- 形态:
Liquid
- 保存条件:
Store as concentrated solution. Centrifuge briefly prior to opening vial. For short-term storage (1-2 weeks), store at 4ºC. For long-term storage, aliquot and store at -20ºC or below. Avoid multiple freeze-thaw cycles.
- 克隆性:
Polyclonal
- 标记物:
Unconjugated
- 适应物种:
Human
- 保质期:
12 months from the shipping date of the product.
- 抗原来源:
Human
- 目录编号:
GTX70523
- 级别:
Primary Antibodies
- 库存:
Available
- 供应商:
GeneTex
- 宿主:
Rabbit
- 应用范围:
IHC-P
- 浓度:
1 mg/ml (Please refer to the vial label for the specific concentration.)
- 靶点:
mAChR M5
- 抗体英文名:
mAChR M5 antibody
- 抗体名:
mAChR M5 抗体
- 规格:
25 μg
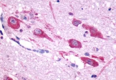
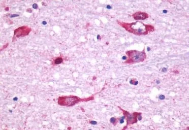
IHC-P analysis of brain, hypothalamus, ventromedial nucleus tissue using GTX70523 mAChR M5 antibody.
IHC-P analysis of brain, hypothalamusbrain, glioblastoma tissue using GTX70523 mAChR M5 antibody.
IHC-P analysis of human brain, neurons and glia tissue using GTX70523 mAChR M5 antibody.
Antigen retrieval : Heat-induced antigen retrieval
风险提示:丁香通仅作为第三方平台,为商家信息发布提供平台空间。用户咨询产品时请注意保护个人信息及财产安全,合理判断,谨慎选购商品,商家和用户对交易行为负责。对于医疗器械类产品,请先查证核实企业经营资质和医疗器械产品注册证情况。
文献和实验在做对小鼠成纤维细胞的整个基因组的甲基化水平检测,我是想要关于免疫化学法中提及的关于anti-m5C的一抗和荧光标记的二抗的选择。我不知道怎么选择抗体。希望有这方面经验的专家或者有文献的前辈给我发一下吧。非常感谢。很急!!!!还要谢谢前面那位前辈。非常感谢。 藤崽 你说的是全基因组甲基化抗体吧,就是抗5-methyl cytosine的抗体,很多公司都有的,你查一下,我们用的是abcam公司的,四千左右,二抗就是普通的国产就行了
Important in phagocytosis via receptor-mediated endocytosis of IgG-antigen complexes Mediates antigen capture for presentation to T cells, antibody-dependent cellular cytotoxicity, release of cytokines and reactive oxygen intermediates Positive
Wash Buffer)25 ml 1mliCl5 ml 10% IGEPAL5 ml 10% Deoxycholate1 ml 1M Tris-8.1200μl 0.5M EDTA64 ml WaterProtease inhibitors (add 10μl of each to 10 ml of PBS or sonication buffer)Leupeptin 2 mg/ml in waterAprotinin 2 mg/ml in waterPMSF 0.2 M5 M NaCl1X TE
技术资料暂无技术资料 索取技术资料





![TLR4 antibody [HTA125] (PE)](https://img1.dxycdn.com/2023/0711/451/6106825198874858761-14.jpg!wh200)
![Claudin 3 antibody [HL1527]](https://img1.dxycdn.com/2023/0711/058/8406876405285858761-14.jpg!wh200)


