相关产品推荐更多 >
万千商家帮你免费找货
0 人在求购买到急需产品
- 详细信息
- 文献和实验
- 技术资料
- 免疫原:
This monoclonal antibody was raised against a synthetic peptide containing phosphorylated serines at amino acid residues 473 of human Akt1.
- 亚型:
IgG1
- 形态:
Liquid
- 保存条件:
Store as concentrated solution. Centrifuge briefly prior to opening vial. For short-term storage (1-2 weeks), store at 4ºC. For long-term storage, aliquot and store at -20ºC or below. Avoid multiple freeze-thaw cycles.
- 克隆性:
Monoclonal
- 标记物:
Unconjugated
- 适应物种:
Human, Mouse, Zebrafish, Chicken
- 保质期:
12 months from the shipping date of the product.
- 抗原来源:
Human
- 目录编号:
GTX11901
- 级别:
Primary Antibodies
- 库存:
Available
- 供应商:
GeneTex
- 宿主:
Mouse
- 应用范围:
WB, ICC/IF, IHC-P
- 浓度:
1 mg/ml (Please refer to the vial label for the specific concentration.)
- 靶点:
AKT (phospho Ser473)
- 抗体英文名:
AKT (phospho Ser473) antibody [104A282]
- 抗体名:
AKT (phospho Ser473) 抗体 [104A282]
- 规格:
50 μg
WB analysis of 3T3 cells treated with and without PDGF (50 ng/ml) using GTX11901 AKT (phospho Ser473) antibody [104A282] and AKT1 antibody.
Dilution : 2 μg/ml
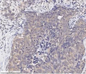
IHC-P analysis of human breast carcinoma tissue using GTX11901 AKT (phospho Ser473) antibody [104A282].
Dilution : 1:250
Antigen retrieval : Heat induced antigen retrieval (HIER) using 10mM sodium citrate buffer (pH 6.0)
IHC-P analysis of human breast carcinoma tissue using GTX11901 AKT (phospho Ser473) antibody [104A282].
Dilution : 1:250
Antigen retrieval : Heat induced antigen retrieval (HIER) using 10mM sodium citrate buffer (pH 6.0)
WB analysis of untreated (lane 1) and PDGF treated (lane 2) NIH-3T3 lysate using GTX11901 AKT (phospho Ser473) antibody [104A282].
Dilution : 2 μg/ml
风险提示:丁香通仅作为第三方平台,为商家信息发布提供平台空间。用户咨询产品时请注意保护个人信息及财产安全,合理判断,谨慎选购商品,商家和用户对交易行为负责。对于医疗器械类产品,请先查证核实企业经营资质和医疗器械产品注册证情况。
文献和实验Matsuda N et al., Cardiovasc Res 2007 (PMID:17601517)
Hung-Pin Chang et al., Life (Basel) 2022 (PMID:35629376)
Chen YJ et al., Gynecol Oncol 2013 (PMID:24145114)
米宝 这俩天做实验,极其郁闷。我做的总AKt和pAkt,大鼠脑组织,第一次跑总AKT的时候,我觉得可能是因为蛋白是提取的浓度比较好吧,出来了一条浓浓的条带,三组总AKt都出了,接下来做pAkt,就出了一个带,效果挺明显的。后来再做pAkt的时候,跑了4张膜,显影的时候,太干净了,上面什么都没有,甚至连个杂带,斑点 都没!实验是在实验员的领导下完成的,技术上基本没什么纰漏,查阅本版面有关这问题方面的介绍,有的解释说pakt降解了!一抗是用的Phospho-Akt
Using Phospho‐Motif Antibodies to Determine Kinase Substrates
comprising both the phosphorylated residue and the surrounding residues that determine kinase specificity, with degenerate residues taking up the remaining positions. Currently, several categories of phospho?motif antibody are commercially available
:使用 Anti-phospho-Akt (Ser473) Rabbit mAb 对石蜡包埋的人乳腺癌组织进行免疫组织化学分析。(图 A)使用免疫组化试剂盒M&R HRP/DAB Detection IHC Kit,抗体 1:100 稀释;(图 B) 采用普通免疫组化试剂盒,抗体 1:25 稀释。 图 6 免疫组化实验检测 Erk1/2 表达 注:使用 Anti-Erk1/2 Mouse mAb与p44/42 MAPK (Erk1/2)Rabbit mAb 对正常小鼠心脏组织进行免疫
技术资料暂无技术资料 索取技术资料





![PTBP2 antibody [C1C3]](https://img1.dxycdn.com/2023/0516/045/6925717576889828561-14.jpg!wh200)



