相关产品推荐更多 >
万千商家帮你免费找货
0 人在求购买到急需产品
- 详细信息
- 文献和实验
- 技术资料
- 免疫原:
v-akt murine thymoma viral oncogene homolog 1
- 亚型:
IgG1
- 形态:
liquid
- 保存条件:
-20℃ 12月
- 克隆性:
monoclonal
- 标记物:
未标记
- 适应物种:
Human, Mouse, Rat
- 保质期:
-20℃ 12月
- 抗原来源:
v-akt murine thymoma viral oncogene homolog 1
- 目录编号:
FNab06402
- 级别:
科研
- 库存:
100
- 供应商:
武汉菲恩生物科技有限公司
- 宿主:
Mouse
- 应用范围:
ELISA, IHC, WB
- 靶点:
Phospho-Akt(Ser473)
- 抗体英文名:
Phospho-Akt(Ser473) antibody
- 抗体名:
Phospho-Akt(Ser473)抗体
- 规格:
50ug/100ug
| 规格: | 50ug | 产品价格: | ¥1260.0 |
|---|---|---|---|
| 规格: | 100ug | 产品价格: | ¥2100.0 |

产品介绍
| 产品名称 | Phospho-Akt(Ser473) antibody |
| 中文名称 | Phospho-Akt(Ser473)抗体 |
| 货号 | FNab06402 |
| 规格 | 50ug/100ug |
| 宿主 | Mouse |
| 反应种属 | Human, Mouse, Rat |
| 验证应用 | ELISA, IHC, WB |
| 状态 | liquid |
| 纯化方法 | Protein A+G purification |
| 纯度 | ≥95% as determined by SDS-PAGE |
| 克隆性 | monoclonal |
| 亚型 | IgG1 |
| 免疫原 | v-akt murine thymoma viral oncogene homolog 1 |
| 免疫原别称 | RAC-alpha serine/threonine-protein kinase|Protein kinase B (PKB)|Protein kinase B alpha (PKB alpha)|Proto-oncogene c-Akt|RAC-PK-alpha|AKT1|PKB|RAC |
| Uniprot ID | P31749 |
| 分子量 | 60 kDa |
| 建议稀释比例 | WB: 1:1000-1:4000; IHC: 1:50-1:200 |
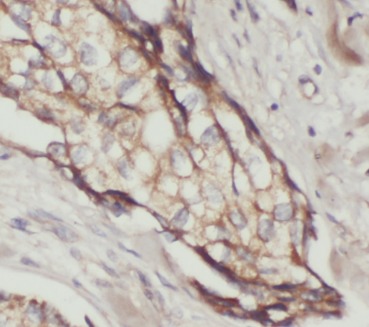
| 验证图片 | Immunohistochemistry of paraffin-embedded human breast cancer tissue slide using FNab06402(Phospho-Akt (S473) Antibody) at dilution of 1:200 Jurkat cells were subjected to SDS PAGE followed by western blot with FNab06402(Phospho-Akt (S473) Antibody) at dilution of 1:2000 |
| 存储 | PBS with 0.02% sodium azide and 50% glycerol pH 7.3, -20℃ for 12 months(Avoid repeated freeze / thaw cycles.) |
| 注意事项 | Phospho-Akt(Ser473) antibody仅供科研使用 |
菲恩生物抗体产品优势
种类齐全:有10000多种经过验证的免多抗和小鼠单抗,包括流式抗体、内参抗体、标签抗体、小分子化合物抗体、对照抗体等;
多种标记/非标记二抗:针对兔、羊、小鼠、大鼠、人等多个种属。100多种标记二抗,标记物包括HRP、Biotin、FITC、Cy3、Alexa Fluor 488、Alexa Fluor 594等,通过了蛋白质印迹、免疫荧光、免疫组织化学、流式细胞术和ELISA等免疫学相关应用的充分验证,可满足各种实验需求;
验证过多种实验:ELISA、WB、IHC、IF、IP、FC等应用,并进行了广泛的物种交叉实验。
风险提示:丁香通仅作为第三方平台,为商家信息发布提供平台空间。用户咨询产品时请注意保护个人信息及财产安全,合理判断,谨慎选购商品,商家和用户对交易行为负责。对于医疗器械类产品,请先查证核实企业经营资质和医疗器械产品注册证情况。
文献和实验米宝 这俩天做实验,极其郁闷。我做的总AKt和pAkt,大鼠脑组织,第一次跑总AKT的时候,我觉得可能是因为蛋白是提取的浓度比较好吧,出来了一条浓浓的条带,三组总AKt都出了,接下来做pAkt,就出了一个带,效果挺明显的。后来再做pAkt的时候,跑了4张膜,显影的时候,太干净了,上面什么都没有,甚至连个杂带,斑点 都没!实验是在实验员的领导下完成的,技术上基本没什么纰漏,查阅本版面有关这问题方面的介绍,有的解释说pakt降解了!一抗是用的Phospho-Akt
receptorr 我在做HaCaT细胞的磷酸化Akt(473)时,背景比较高,该怎么办?(即未处理组的Akt比较高) 请高手支招。 谢谢 magichunter 说得太粗略了。 receptorr 我做的细胞是HaCaT 看看加入药物后HaCaT的磷酸化Akt是否有增高, 所以希望没有加药的那一组HaCaT的磷酸化Akt水平低 但是实际做时,发现没有
【求助】于NF-KB 激活,P65磷酸化位点是ser536还是ser276?
伽利略 ............................... chenlydd 两者都有,蛋白磷酸化水平与其功能密切相关:检测其磷酸化水平可用抗磷酸化位点抗体检测。www.cellsignal.com公司有相应抗体出售。 P65磷酸化位点: regulates apoptosis: S536‑p regulates cell growth: S536‑p regulates cell
技术资料暂无技术资料 索取技术资料








