相关产品推荐更多 >
万千商家帮你免费找货
0 人在求购买到急需产品
- 详细信息
- 文献和实验
- 技术资料
- 免疫原:
Cytoskeleton preparation extracted from human epidermis by detergent/high salt extraction.
- 亚型:
IgG1
- 形态:
Liquid
- 保存条件:
Store as concentrated solution. Centrifuge briefly prior to opening vial. Store at 4ºC. DO NOT FREEZE.
- 克隆性:
Monoclonal
- 标记物:
Unconjugated
- 适应物种:
Human
- 保质期:
12 months from the shipping date of the product.
- 抗原来源:
Human
- 目录编号:
GTX21421
- 级别:
Primary Antibodies
- 库存:
Available
- 供应商:
GeneTex
- 宿主:
Mouse
- 应用范围:
ICC/IF, IHC-P, IP
- 浓度:
1 mg/ml (Please refer to the vial label for the specific concentration.)
- 靶点:
Cytokeratin 10
- 抗体英文名:
Cytokeratin 10 antibody [VIK-10]
- 抗体名:
Cytokeratin 10 抗体 [VIK-10]
- 规格:
100 μg
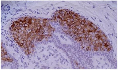
IHC-P analysis of skin basaliom tissue using GTX21421 Cytokeratin 10 antibody [VIK-10].
风险提示:丁香通仅作为第三方平台,为商家信息发布提供平台空间。用户咨询产品时请注意保护个人信息及财产安全,合理判断,谨慎选购商品,商家和用户对交易行为负责。对于医疗器械类产品,请先查证核实企业经营资质和医疗器械产品注册证情况。
文献和实验Allen A Smith et al., Intractable Rare Dis Res 2021 (PMID:33614379)
Qian L et al., Cytokine 2017 (PMID:28391028)
Yamazaki S et al., Int J Mol Med 2012 (PMID:22075554)
,别人可以,自己确实不一定可以。 07 实验室的补助要涨了事实上,补助不降已经是学校和实验室对你最大的温柔。 08 等我搞科研发财了送外卖发财可能都比搞科研发财容易啊,发财了能怎么样,还不是做着用暴富的钱买进口试剂的梦。 09 我是老板带过的最有科研天赋的学生之一是的,每个人都会觉得他是其中之一,理论上,这样说没毛病。 10 师兄要发论文了,我帮过忙,能共一吧老板:共同通讯要不要啊,少年~~能坚持看完这篇推送的你,梦醒了吗?
科学界一直以来都有这样的传统:如果科学家找不到“小白鼠”,或者觉得让他人冒险很不道德,那么就会自己“献身”科学。自我实验就像一首英雄主义的史诗,不过也散发着一丝丝疯狂的气息。下面展示的这10个疯狂的自我实验,看来也是一个比一个癫狂。 10. 音速急刹车 第二次世界大战后,美国空军需要知道飞行员从超音速飞机中弹后能否逃过一劫,因为由音速到接近零的突然减速往往会导致死亡。这种速度的变化会让飞行员受到超过40G甚至50G的压力。(1G
Blunt PCR克隆乃利用传统T4连接酶方法,但载体和Topo平端的一样,含ccdB基因,所以同样可降低菌落背景,易于筛选。 表10 PCR克隆试剂盒的选择 Amplification Enzyme Application of Cloned PCR Product Ligation Method Product
技术资料暂无技术资料 索取技术资料






![CD11b antibody [GT0001]抗体](https://img1.dxycdn.com/2023/0711/451/6106825198874858761-14.jpg!wh200)
![HPD antibody [N1C2]](https://img1.dxycdn.com/2023/0516/895/8887749495766728561-14.jpg!wh200)


