相关产品推荐更多 >
万千商家帮你免费找货
0 人在求购买到急需产品
- 详细信息
- 文献和实验
- 技术资料
- 免疫原:
Purified recombinant fragment of CD166 (aa405-524) expressed in E. Coli.
- 亚型:
IgG1
- 形态:
Liquid
- 保存条件:
Store as concentrated solution. Centrifuge briefly prior to opening vial. For short-term storage (1-2 weeks), store at 4ºC. For long-term storage, aliquot and store at -20ºC or below. Avoid multiple freeze-thaw cycles.
- 克隆性:
Monoclonal
- 标记物:
Unconjugated
- 适应物种:
Human
- 保质期:
12 months from the shipping date of the product.
- 抗原来源:
Human
- 目录编号:
GTX83191
- 级别:
Primary Antibodies
- 库存:
Available
- 供应商:
GeneTex
- 宿主:
Mouse
- 应用范围:
IHC-P, ELISA
- 靶点:
CD166
- 抗体英文名:
CD166 antibody [10F1G12]
- 抗体名:
CD166 抗体 [10F1G12]
- 规格:
100 μl
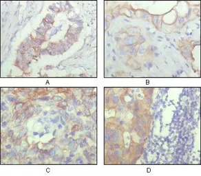
IHC-P analysis of human ovary carcinoma (A), kidney carcinoma (B), lung carcinoma (C) and breast carcinoma (D) using GTX83191 CD166 antibody [10F1G12].
风险提示:丁香通仅作为第三方平台,为商家信息发布提供平台空间。用户咨询产品时请注意保护个人信息及财产安全,合理判断,谨慎选购商品,商家和用户对交易行为负责。对于医疗器械类产品,请先查证核实企业经营资质和医疗器械产品注册证情况。
文献和实验Phenotype-specific immunodetection of cyclins using 488/630 nm dual laser flow cytometry
A, clone G12-4326), cyclin D2 /D3 (cat. no. 14711A, clone G107-22) and cyclin E, and is based on protocols originally designed by Z. Darzynkiewicz. It can also be used with other cyclin antibodies (such as those against cyclin A and B1 ) and antibodies
Immunodetection of cyclin D1 and D2/D3 using flow cytometry
. It has been tested with antibodies against cyclin D1 (Pharmingen cat. no. 14561A, clone G12-4326), cyclin D2/D3 (cat. no. 14711A, clone G107-22) and cyclin E Procedure Prepare the cell type of interest as a single cell suspension and wash once with cold PBS
Immunodetection of cyclin D1 and D2/D3 using 488/630 nm dual laser flow cytometr(图)
. It has been tested with antibodies against cyclin D1 (Pharmingen cat. no. 14561A, clone G12-4326), cyclin D2/D3 (cat. no. 14711A, clone G107-22) and cyclin E, and is based on protocols originally designed by Z. Darzynkiewicz and colleagues. Although FITC-conjugated
技术资料暂无技术资料 索取技术资料





![Tau (phospho Thr217) antibody [HL1276]](https://img1.dxycdn.com/2023/0711/058/8406876405285858761-14.jpg!wh200)


![CD81 antibody [Eat2] (Biotin)](https://custom.dxycdn.com/trademd/upload/pic/2011/12/14/1323695851.jpg!small.t.1)

