相关产品推荐更多 >
万千商家帮你免费找货
0 人在求购买到急需产品
- 详细信息
- 技术资料
- 免疫原:
Full-length protein expressed in 293T cell transfected with human MAP2K4 expression vector
- 亚型:
IgG2b
- 形态:
Liquid
- 保存条件:
Store as concentrated solution. Centrifuge briefly prior to opening vial. For short-term storage (1-2 weeks), store at 4ºC. For long-term storage, aliquot and store at -20ºC or below. Avoid multiple freeze-thaw cycles.
- 克隆性:
Monoclonal
- 标记物:
Unconjugated
- 适应物种:
Human, Dog
- 保质期:
12 months from the shipping date of the product.
- 抗原来源:
Human
- 目录编号:
GTX84162
- 级别:
Primary Antibodies
- 库存:
Available
- 供应商:
GeneTex
- 宿主:
Mouse
- 应用范围:
WB, ICC/IF, IHC-P, FACS, IP
- 浓度:
2.36 mg/ml (Please refer to the vial label for the specific concentration.)
- 靶点:
SEK1 / MKK4
- 抗体英文名:
SEK1 / MKK4 antibody [8A8]
- 抗体名:
SEK1 / MKK4 抗体 [8A8]
- 规格:
100 μl
FACS analysis of HEK293T cells transfected with either SEK1 / MKK4 plasmid(Red) or empty vector control plasmid(Blue) using GTX84162 SEK1 / MKK4 antibody [8A8].
IHC-P analysis of human thyroid tissue using GTX84162 SEK1 / MKK4 antibody [8A8].
Antigen retrieval : Heat-induced epitope retrieval by 10mM citrate buffer, pH6.0, 100ºC for 10min.
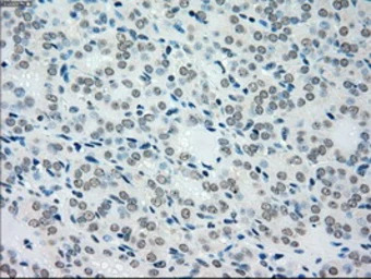
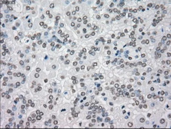
IHC-P analysis of human kidney carcinoma tissue using GTX84162 SEK1 / MKK4 antibody [8A8].
Antigen retrieval : Heat-induced epitope retrieval by 10mM citrate buffer, pH6.0, 100ºC for 10min.
IP analysis of DDDDK tagged SEK1 / MKK4 overexpressed HEK293T lysate using GTX84162 SEK1 / MKK4 antibody [8A8].After extensive wash to remove any non-specific binding, the immuno-precipitated products were analyzed with rabbit anti-DDDDK polyclonal antibody.
IP reaction : 2μg antibody / 500μl cell lysate
WB analysis of human tissues (Lane 1-Testis ; Lane 2-Omentum ; Lane 3-Uterus ; Lane 4-Breast ; Lane 5-Brain ; Lane 6-Liver ; Lane 7-Ovary ; Lane 8-Thyroid gland ; Lane 9-colon ; Lane 10-spleen) using GTX84162 SEK1 / MKK4 antibody [8A8].
Loading : 10 ug per lane
Dilution : 1:500
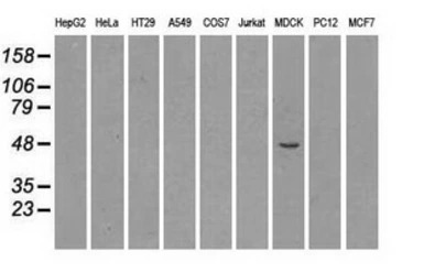
WB analysis of various cell lines using GTX84162 SEK1 / MKK4 antibody [8A8].
Loading : 35 ug per lane
IHC-P analysis of human lung tissue using GTX84162 SEK1 / MKK4 antibody [8A8].
Antigen retrieval : Heat-induced epitope retrieval by 10mM citrate buffer, pH6.0, 100ºC for 10min.
IHC-P analysis of human thyroid carcinoma tissue using GTX84162 SEK1 / MKK4 antibody [8A8].
Antigen retrieval : Heat-induced epitope retrieval by 10mM citrate buffer, pH6.0, 100ºC for 10min.
WB analysis of HEK293T cells transfected with SEK1 / MKK4 plasmid (Right) or empty vector (Left) for 48 hrs using GTX84162 SEK1 / MKK4 antibody [8A8].
Loading : 5 ug per lane
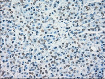
IHC-P analysis of human pancreas tissue using GTX84162 SEK1 / MKK4 antibody [8A8].
Antigen retrieval : Heat-induced epitope retrieval by 10mM citrate buffer, pH6.0, 100ºC for 10min.
ICC/IF analysis of COS7 cells transiently transfected with SEK1 / MKK4 plasmid using GTX84162 SEK1 / MKK4 antibody [8A8].
ICC/IF analysis of HepG2 cells using GTX84162 SEK1 / MKK4 antibody [8A8].
风险提示:丁香通仅作为第三方平台,为商家信息发布提供平台空间。用户咨询产品时请注意保护个人信息及财产安全,合理判断,谨慎选购商品,商家和用户对交易行为负责。对于医疗器械类产品,请先查证核实企业经营资质和医疗器械产品注册证情况。
技术资料暂无技术资料 索取技术资料





![TRF1 antibody [C3], C-term](https://img1.dxycdn.com/2023/0711/255/2344116916935858761-14.jpg!wh200)



