相关产品推荐更多 >
万千商家帮你免费找货
0 人在求购买到急需产品
- 详细信息
- 文献和实验
- 技术资料
- 形态:
液体
- 保存条件:
4度
- 克隆性:
Monoclonal Antibody
- 标记物:
Purified
- 适应物种:
Human
- 库存:
大量
- 供应商:
欣博盛生物
- 宿主:
Rat
- 应用范围:
C, F*, IF, IP, P*, WB*
- 浓度:
包装说明
- 靶点:
CD68
- 抗体英文名:
RAT ANTI MOUSE CD68
- 抗体名:
RAT ANTI MOUSE CD68
- 规格:
0.1 mg
产品名称:RAT ANTI MOUSE CD68 货号:MCA1957GA 规格:0.1 mg
欣博盛生物有备AbD Serotec公司热销产品少量现货,如需购买该产品,请联系一级代理商-欣博盛生物。
AbD Serotec(现已被bio-rad收购)是英国一家成立于1982年的老牌抗体公司,总部位于英国牛津附近的Kidlington, 2006年初由原来的Serotec、Antibodies by Design、Biogenesis和OBT四家公司合并而成AbD Serotec,统一归德国著名的抗体公司MorphoSys旗下。合并后的AbD Serotec一如既往地恪守为客户提供高质量产品和高品质服务的承诺,生产基地Kidlington的生产线获得ISO9001认证,可以提供 15000多种抗体、免疫学试剂,其中大鼠抗体和各种动物研究试剂,在全世界处于领/先/地位;研发、服务基地德国慕尼黑附近Martinsried 的MorphoSys总部提供单抗制备和多种规模的抗体生产和标记服务。
Rat anti Mouse CD68 antibody, clone FA-11是识别小鼠巨噬细胞素,一种高度糖基化的跨膜蛋白和人CD68的鼠同源物,由于溶酶体相关膜蛋白(LAMP样结构域)的存在,其被归类为独特的清道夫受体(ScR)家族成员。。
CD68被认为是泛巨噬细胞标志物,主要在组织巨噬细胞/单核细胞的胞内溶酶体上表达,包括枯否细胞、小胶质细胞、组织细胞和破骨细胞,并且在较小程度上由树突细胞和外周血粒细胞表达。
CD68由许多肿瘤类型表达,包括一些B细胞淋巴瘤、母细胞NK淋巴瘤、黑色素瘤、粒细胞(髓细胞)肉瘤、毛细胞白血病以及肾、泌尿和胰腺肿瘤,并可用于癌症研究以证明巨噬细胞的存在/定位。
在免疫组织化学研究中,该抗体已经在许多小鼠模型中使用冷冻和石蜡包埋组织来鉴定CD68。也可用于流式细胞术检测细胞内CD68,通透后,可检测驻留小鼠腹腔巨噬细胞中低水平的表面巨噬细胞素,其可通过巯-基-乙-酸盐刺激而增强。
产品详情:
类型:单克隆抗体
克隆号:FA-11
来源:Rat IgG2a
应用: Flow Cytometry, IF, IHC-F, IHC-P, IP, Flow cytometry, WB
缓冲液类型: Phosphate buffered saline
防腐剂: 0.09% Sodium Azide
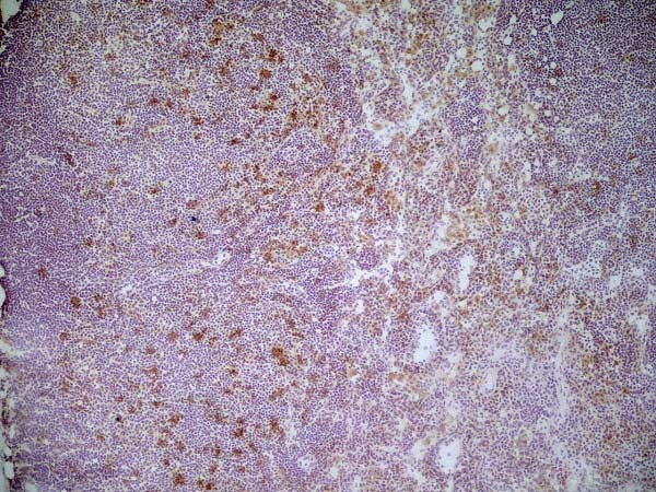
实例应用:

Frozen mouse lymph node stained with rat anti-mouse CD68 (MCA1957) at a 1/100 dilution followed by goat anti-rat IgG:HRP (STAR72) at a 1/50 dilution
订购信息:
| 产品名称 |
货号 |
规格 |
| CD68 antibody | FA-11 |
MCA1957T |
25ug |
| CD68 antibody | FA-11 |
MCA1957GA |
0.1mg |
| CD68 antibody | FA-11 |
MCA1957 |
0.25mg |
更多详情请联系Bio-rad中国授权代理商欣博盛生物
风险提示:丁香通仅作为第三方平台,为商家信息发布提供平台空间。用户咨询产品时请注意保护个人信息及财产安全,合理判断,谨慎选购商品,商家和用户对交易行为负责。对于医疗器械类产品,请先查证核实企业经营资质和医疗器械产品注册证情况。
文献和实验Source Reference
- Smith, M. and Koch, G. (1987) Differential expression of murine macrophage surface glycoprotein antigens in intracellular membranes.
References for CD68 antibody
- Rabinowitz, S.S. & Gordon, S. (1991) Macrosialin, a macrophage-restricted membrane sialoprotein differentially glycosylated in response to inflammatory stimuli.
- Ramprasad, M.P. et al. (1996) Cell surface expression of mouse macrosialin and human CD68 and their role as macrophage receptors for oxidized low density lipoprotein.
- da Silva, R.P. & Gordon, S. (1999) Phagocytosis stimulates alternative glycosylation of macrosialin (mouse CD68), a macrophage-specific endosomal protein.
- de Beer, M.C. et al. (2003) Lack of a direct role for macrosialin in oxidized LDL metabolism.
- Masaki, T. et al. (2003) Heterogeneity of antigen expression explains controversy over glomerular macrophage accumulation in mouse glomerulonephritis.
- Schleicher, U. et al. (2005) Minute numbers of contaminant CD8+ T cells or CD11b+CD11c+ NK cells are the source of IFN-{gamma} in IL-12/IL-18-stimulated mouse macrophage populations.
- Echeverry, A. et al. (2007) Murine neonates are highly resistant to Yersinia enterocolitica following orogastric exposure.
- Baran, C.P. et al. (2007) Important roles for macrophage colony-stimulating factor, CC chemokine ligand 2, and mononuclear phagocytes in the pathogenesis of pulmonary fibrosis.
saline (PBS) (Cat. no. 10010-049) or equivalent Optional: ArC™ Amine Reactive Compensation Bead Kit (Cat. no. A10346) 实验步骤 1. Using the AbC™ anti- Rat/Hamster Bead Kit 1) Completely resuspend the AbC™ RH
RAT/MOUSE GROWTH HORMONE ELISA KIT
实验原理 This assay is a Sandwich ELISA based, sequentially, on: 1) capture of rat or mouse Growth Hormone molecules from samples to the wells of a microtiter plate coated by a pre-titered amount of anti-Growth Hormone
Preparation of Primary Microglia Cultures from Postnatal Mouse and Rat Brains
can be cultured from a postnatal mouse and rat brain.
技术资料暂无技术资料 索取技术资料





![STAT3 antibody [C2C3], C-term](https://custom.dxycdn.com/trademd/upload/pic/2011/12/20/1324015994.jpg!small.t.1)

![SSRP1 antibody [N1N3]](https://img1.dxycdn.com/2023/0711/255/2344116916935858761-14.jpg!wh200)
![Integrin beta 3 antibody [Y2/51]](https://img1.dxycdn.com/2023/0711/451/6106825198874858761-14.jpg!wh200)

