相关产品推荐更多 >
万千商家帮你免费找货
0 人在求购买到急需产品
- 详细信息
- 文献和实验
- 技术资料
- 免疫原:
Purified recombinant fragment of human KRT19 expressed in E. Coli.
- 亚型:
IgG1
- 形态:
Liquid
- 保存条件:
Store as concentrated solution. Centrifuge briefly prior to opening vial. For short-term storage (1-2 weeks), store at 4ºC. For long-term storage, aliquot and store at -20ºC or below. Avoid multiple freeze-thaw cycles.
- 克隆性:
Monoclonal
- 标记物:
Unconjugated
- 适应物种:
Human
- 保质期:
12 months from the shipping date of the product.
- 抗原来源:
Human
- 目录编号:
GTX60480
- 级别:
Primary Antibodies
- 库存:
Available
- 供应商:
GeneTex
- 宿主:
Mouse
- 应用范围:
WB, ICC/IF, IHC-P, ELISA
- 靶点:
Cytokeratin 19
- 抗体英文名:
Cytokeratin 19 antibody [4E8]
- 抗体名:
Cytokeratin 19 抗体 [4E8]
- 规格:
100 μl
ICC/IF analysis of HepG2 cells using GTX60480 Cytokeratin 19 antibody [4E8].
Green : Cytokeratin 19
Blue: DRAQ5 fluorescent DNA dye
Red: Actin filaments
IHC-P analysis of human bladder cancer tissue using GTX60480 Cytokeratin 19 antibody [4E8].
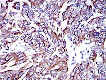
IHC-P analysis of human colon cancer tissue using GTX60480 Cytokeratin 19 antibody [4E8].
ELISA analysis of antigen using GTX60480 Cytokeratin 19 antibody [4E8].
Red : Control antigen 100ng
Purple : Antigen 10ng
Green : Antigen 50ng
Blue : Antigen 100ng
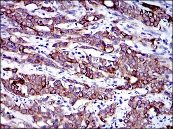
IHC-P analysis of human stomach cancer tissue using GTX60480 Cytokeratin 19 antibody [4E8].
WB analysis of human Cytokeratin 19 (AA: 115-269) recombinant protein using GTX60480 Cytokeratin 19 antibody [4E8].
WB analysis of T47D (1), MCF-7 (2), HepG2 (3) and SW620 (4) cell lysate using GTX60480 Cytokeratin 19 antibody [4E8].
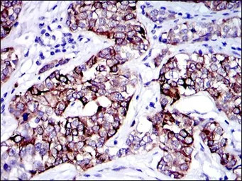
IHC-P analysis of human cervical cancer tissue using GTX60480 Cytokeratin 19 antibody [4E8].
风险提示:丁香通仅作为第三方平台,为商家信息发布提供平台空间。用户咨询产品时请注意保护个人信息及财产安全,合理判断,谨慎选购商品,商家和用户对交易行为负责。对于医疗器械类产品,请先查证核实企业经营资质和医疗器械产品注册证情况。
文献和实验thresholds for antigen receptors and other surface receptors on B cells; also regulates B cell development, activation and differentiation CD19 antibody inhibits B cell activation from anti-immunoglobulin Coreceptor with CD21 Earliest B cell
人成纤维生长因子-19(FGF-19)ELISA试剂盒 说明书
人成纤维生长因子-19 ( FGF-19 )ELISA 试剂盒 ( 用于血清、血浆、细胞培养上清液和其它生物体液内 ) 原理 本实验采用双抗体夹心 ABC-ELISA 法。用抗人 FGF-19 单抗包被于酶标板上,标准品和样品中的 FGF-19与单抗结合,加入生物素化的抗人 FGF-19 ,形成免疫复合物连接在板上,辣根过氧化物酶标记的 Streptavidin 与生物素结合,加入底物工作
小鼠白介素-23 p19(IL-23 p19)ELISA试剂盒 说明书
上海西唐生物科技有限公司 021-55229872, 65333639 www.westang.com 小鼠白介素-23 p19 (IL-23 p19)ELISA 试剂盒 ( 用于血清、血浆、细胞培养上清液和其它生物体液内 ) 原理 本实验采用双抗体夹心 ABC-ELISA 法。用抗小鼠 IL-23 p19 单抗包被于酶标板上,标准品和样品中的 IL-23 p19
技术资料暂无技术资料 索取技术资料






![Involucrin antibody [0.N.341]](https://custom.dxycdn.com/trademd/upload/pic/2011/12/14/1323695840.jpg!small.t.1)


