相关产品推荐更多 >
万千商家帮你免费找货
0 人在求购买到急需产品
- 详细信息
- 文献和实验
- 技术资料
- 免疫原:
recombinant protein
- 形态:
liquid
- 保存条件:
Store at -20˚C
- 克隆性:
Monoclonal antibody
- 适应物种:
Human
- 保质期:
12 months
- 抗原来源:
Recombinant Rabbit
- 供应商:
南京赛戈巍生物科技有限公司
- 宿主:
Recombinant Rabbit
- 应用范围:
WB, ICC/IF, IHC, FC
- 靶点:
Uniprot:P25445
- 抗体英文名:
Fas(CD95) Rabbit mAb
- 规格:
50ul/100ul
ALPS1A antibody
APO 1 antibody
Apo 1 antigen antibody
APO 1 cell surface antigen antibody
Apo-1 antigen antibody
APO1 antibody
Apo1 antigen antibody
APO1 cell surface antigen antibody
Apoptosis antigen 1 antibody
Apoptosis mediating surface antigen FAS antibody
Apoptosis-mediating surface antigen FAS antibody
APT 1 antibody
APT1 antibody
CD 95 antibody
CD 95 antigen antibody
CD95 antibody
CD95 antigen antibody
Delta Fas antibody
Delta Fas/APO 1/CD95 antibody
Delta Fas/APO1/CD95 antibody
Fas (TNF receptor superfamily, member 6) antibody
FAS 1 antibody
FAS 827dupA antibody
Fas AMA antibody
Fas antibody
FAS Antigen antibody
Fas cell surface death receptor antibody
FAS1 antibody
FASLG receptor antibody
FASTM antibody
sFAS antibody
Surface antigen APO1 antibody
TNF receptor superfamily, member 6 antibody
TNFRSF 6 antibody
TNFRSF6 antibody
TNR6_HUMAN antibody
Tumor necrosis factor receptor superfamily member 6 antibody
计算分子量:45 kDa
配方:1*TBS (pH7.4), 1%BSA, 40%Glycerol. Preservative: 0.05% Sodium Azide.
应用详情:WB: 1:500-1:1000
IHC: 1:50-1:200
ICC: 1:50-1:200
FC: 1:50-1:100
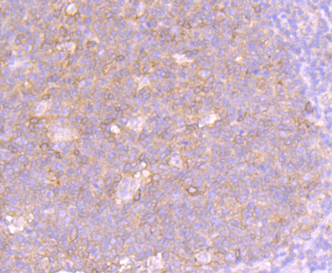
图片:

Immunohistochemical analysis of paraffin-embedded human tonsil tissue using anti-Fas antibody. Counter stained with hematoxylin.
,

Immunohistochemical analysis of paraffin-embedded human liver cancer tissue using anti-Fas antibody. Counter stained with hematoxylin.
,

ICC staining Fas in HepG2 cells (green). The nuclear counter stain is DAPI (blue). Cells were fixed in paraformaldehyde, permeabilised with 0.25% Triton X100/PBS.
,

ICC staining Fas in Hela cells (green). The nuclear counter stain is DAPI (blue). Cells were fixed in paraformaldehyde, permeabilised with 0.25% Triton X100/PBS.
,

Flow cytometric analysis of Raji cells with Fas antibody at 1/50 dilution (red) compared with an unlabelled control (cells without incubation with primary antibody; black). Alexa Fluor 488-conjugated goat anti rabbit IgG was used as the secondary antibody.
风险提示:丁香通仅作为第三方平台,为商家信息发布提供平台空间。用户咨询产品时请注意保护个人信息及财产安全,合理判断,谨慎选购商品,商家和用户对交易行为负责。对于医疗器械类产品,请先查证核实企业经营资质和医疗器械产品注册证情况。
文献和实验:使用 Anti-phospho-Akt (Ser473) Rabbit mAb 对石蜡包埋的人乳腺癌组织进行免疫组织化学分析。(图 A)使用免疫组化试剂盒M&R HRP/DAB Detection IHC Kit,抗体 1:100 稀释;(图 B) 采用普通免疫组化试剂盒,抗体 1:25 稀释。 图 6 免疫组化实验检测 Erk1/2 表达 注:使用 Anti-Erk1/2 Mouse mAb与p44/42 MAPK (Erk1/2)Rabbit mAb 对正常小鼠心脏组织进行免疫
should be in their exponential log phase with viability rate of greater than 95% when they are used for this assay. CD95 (Fas)-induced apoptosis of human Jurkat cell line using EOS9.1 mAb Materials Jurkat cells (clone E6-1, ATCC Cat. No. TIB-152) RPMI
h)即可。2. 修复大法——不仅仅是「煮一煮」微波炉修复:简单易行效果好,CST 推荐使用微波炉完成修复。合适的修复液:根据抗体说明书使用合适的修复液。用柠檬酸修复后,切片需浸泡在修复液中,自然冷却;而用 EDTA 修复后,切片可直接从修复缸中取出,直接进行下一步。注:使用不同的修复方式和不同生产商的抗体检测人肺癌组织中 EGFR 的表达。第一排为 CST 的 EGF Receptor (D38B1) XP® Rabbit mAb(#4267),EDTA 的修复方式明显优于柠檬酸盐及胃蛋白
技术资料暂无技术资料 索取技术资料





![RARRES2 Polyclonal Antibody[30774]](https://img1.dxycdn.com/p/s14/2025/0923/305/2150219664296040791.jpg!wh200)
![CD82 antigen Polyclonal Antibody[42112]](https://img1.dxycdn.com/p/s14/2025/0922/568/0046652811090600791.jpg!wh200)
![FH (Phospho-Ser46) Antibody[SAB615]](https://img1.dxycdn.com/p/s14/2025/0922/498/0460884283108299691.jpg!wh200)
