相关产品推荐更多 >
万千商家帮你免费找货
0 人在求购买到急需产品
- 详细信息
- 文献和实验
- 技术资料
- 免疫原:
Recombinant peptide derived from AMPKalpha1
- 亚型:
IgG1
- 形态:
Liquid
- 保存条件:
Store as concentrated solution. Centrifuge briefly prior to opening vial. For short-term storage (1-2 weeks), store at 4ºC. For long-term storage, aliquot and store at -20ºC or below. Avoid multiple freeze-thaw cycles.
- 克隆性:
Monoclonal
- 标记物:
Unconjugated
- 适应物种:
Human, Mouse, Rat
- 保质期:
12 months from the shipping date of the product.
- 抗原来源:
Human
- 目录编号:
GTX34142
- 级别:
Primary Antibodies
- 库存:
Available
- 供应商:
GeneTex
- 宿主:
Mouse
- 应用范围:
WB, IHC-P
- 浓度:
1 mg/ml (Please refer to the vial label for the specific concentration.)
- 靶点:
AMPK alpha 1
- 抗体英文名:
AMPK alpha 1 antibody [9G3]
- 抗体名:
AMPK alpha 1 抗体 [9G3]
- 规格:
100 μl
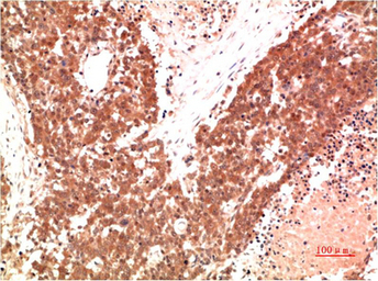
IHC-P analysis of human lung carcinoma tissue using GTX34142 AMPK alpha 1 antibody [9G3].
Dilution : 1:200
WB analysis of (1) HeLa cell, (2)mouse brain, (3) rat brain tissue lysates using GTX34142 AMPK alpha 1 antibody [9G3].
Dilution : 1:2000
IHC-P analysis of human skeletal muscle tissue using GTX34142 AMPK alpha 1 antibody [9G3].
Dilution : 1:200
风险提示:丁香通仅作为第三方平台,为商家信息发布提供平台空间。用户咨询产品时请注意保护个人信息及财产安全,合理判断,谨慎选购商品,商家和用户对交易行为负责。对于医疗器械类产品,请先查证核实企业经营资质和医疗器械产品注册证情况。
文献和实验Liu YJ et al., Hum Mol Genet 2015 (PMID:25256353)
on the gamma1, gamma2, gamma3, and alpha2 heavy chains (they are designated as G1m, G2m, G3m, and A2m allotypes, respectively), and on the kappa light chain (Km allotypes). Gm-Am allotypes are inherited in fixed combinations, or Gm-Am haplotypes, owing
种特异性IgV区上的抗原特异性。不同抗体形成细胞克隆所产生的IgV区具有与其客观存在抗体V区不同的抗原性,这是由可变区中成其是超变区的氨基酸组成、排列和构型所决定的。所以,在单一个体内所存在的独特型数量相当大,可达107以上。独特型的抗原决定簇称为独特位(idiotope),可在异种、同种异体以及自身体内诱产生相应在的抗体,称为抗独特型抗体(antiidiotypic antibody,αI d),独特型和抗独型抗体可形成复杂的免疫调节中占有得要地位。
Intracellular Cytokine Staining Protocol
-gamma, TNF-alpha, IL-2, and IL-4, a combination of PMA (a PKC activator) and Ionomycin (a calcium ionophore) or anti-CD3 antibodies are used. To induce IL-6, IL-10 or TNF-alpha production by monocytes, stimulation of PBMC's with LPS is used.Note: Optimal
技术资料暂无技术资料 索取技术资料








![CD4 antibody [MSVA-004R] HistoMAX](https://custom.dxycdn.com/trademd/upload/pic/2013/11/12/A1383891150.jpg!small.t.1)


