相关产品推荐更多 >
万千商家帮你免费找货
0 人在求购买到急需产品
- 详细信息
- 技术资料
- 免疫原:
A recombinant protein fragment containing the intracellular, transmembrane, and part of the extracellular domain of human podocalyxin
- 亚型:
IgG1
- 形态:
Liquid
- 保存条件:
Store as concentrated solution. Centrifuge briefly prior to opening vial. For short-term storage (1-2 weeks), store at 4ºC. For long-term storage, aliquot and store at -20ºC or below. Avoid multiple freeze-thaw cycles.
- 克隆性:
Monoclonal
- 标记物:
Unconjugated
- 适应物种:
Human, Rat, Rabbit
- 保质期:
12 months from the shipping date of the product.
- 抗原来源:
Human
- 目录编号:
GTX34977
- 级别:
Primary Antibodies
- 库存:
Available
- 供应商:
GeneTex
- 宿主:
Mouse
- 应用范围:
WB, ICC/IF, IHC-P, FACS, IP
- 浓度:
0.2 mg/ml (Please refer to the vial label for the specific concentration.)
- 靶点:
PODXL
- 抗体英文名:
PODXL antibody [3D3]
- 抗体名:
PODXL 抗体 [3D3]
- 规格:
100 μg
ICC/IF analysis of HeLa cells using GTX34977 PODXL antibody [3D3].
Green : Primary antibody
Red : nucleus
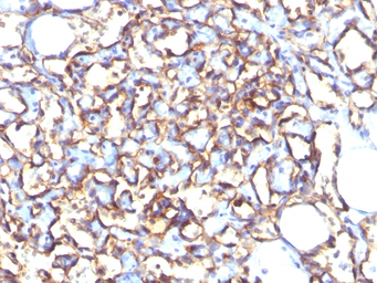
IHC-P analysis of human angiosarcoma tissue using GTX34977 PODXL antibody [3D3].
WB analysis of HeLa cell lysate using GTX34977 PODXL antibody [3D3].
FACS analysis of NCCIT cells using GTX34977 PODXL antibody [3D3].
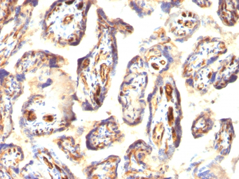
IHC-P analysis of human placenta tissue using GTX34977 PODXL antibody [3D3].
风险提示:丁香通仅作为第三方平台,为商家信息发布提供平台空间。用户咨询产品时请注意保护个人信息及财产安全,合理判断,谨慎选购商品,商家和用户对交易行为负责。对于医疗器械类产品,请先查证核实企业经营资质和医疗器械产品注册证情况。
技术资料暂无技术资料 索取技术资料


![PODXL antibody [3D3]](https://img1.dxycdn.com/2022/0328/492/9224360690790700453-14.jpg)




![Cyclin B1 antibody [GT238]](https://img1.dxycdn.com/2022/0329/830/7101889386565020453-14.jpg!wh200)
![CDK5 antibody [2H6]](https://img1.dxycdn.com/2022/0328/133/4761631683278500453-14.jpg!wh200)
![basic Cytokeratin antibody [AE3]](https://img1.dxycdn.com/2022/0328/789/2443066814237300453-14.jpg!wh200)
