相关产品推荐更多 >
万千商家帮你免费找货
0 人在求购买到急需产品
- 详细信息
- 文献和实验
- 技术资料
- 免疫原:
Recombinant peptide derived from PPAR Delta
- 亚型:
IgG1
- 形态:
Liquid
- 保存条件:
Store as concentrated solution. Centrifuge briefly prior to opening vial. For short-term storage (1-2 weeks), store at 4ºC. For long-term storage, aliquot and store at -20ºC or below. Avoid multiple freeze-thaw cycles.
- 克隆性:
Monoclonal
- 标记物:
Unconjugated
- 适应物种:
Human, Mouse
- 保质期:
12 months from the shipping date of the product.
- 抗原来源:
Human
- 目录编号:
GTX34134
- 级别:
Primary Antibodies
- 库存:
Available
- 供应商:
GeneTex
- 宿主:
Mouse
- 应用范围:
IHC-P
- 浓度:
1 mg/ml (Please refer to the vial label for the specific concentration.)
- 靶点:
PPAR delta
- 抗体英文名:
PPAR delta antibody [1D7]
- 抗体名:
PPAR delta 抗体 [1D7]
- 规格:
100 μl
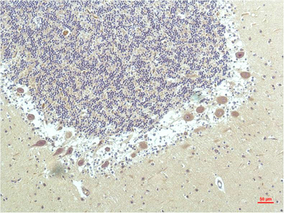
IHC-P analysis of mouse brain tissue using GTX34134 PPAR delta antibody [1D7].
Dilution : 1:200
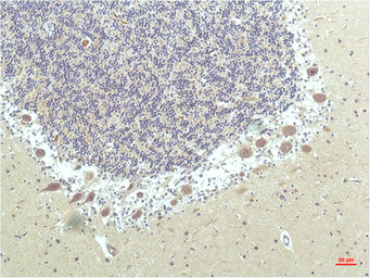
IHC-P analysis of human brain tissue using GTX34134 PPAR delta antibody [1D7].
Dilution : 1:200
风险提示:丁香通仅作为第三方平台,为商家信息发布提供平台空间。用户咨询产品时请注意保护个人信息及财产安全,合理判断,谨慎选购商品,商家和用户对交易行为负责。对于医疗器械类产品,请先查证核实企业经营资质和医疗器械产品注册证情况。
文献和实验PPAR/ Agonist Increases the Expression of PGE2 Receptor Subtype EP4 in Human Lung Carcinoma Cells
. Peroxisome proliferator-activated receptor beta/ delta (PPARβ/δ), one of the nuclear hormone ligand-dependent transcription factors, has recently been reported to be involved in tumorigeniCity. We have shown that NSCLC cells express PPARβ/δ protein
. A new drug candidate belonging to the family of the peroxisome proliferator-activated receptor-delta agonists termed GW1516 (also referred to as GW501516) has been prohibited by the World Anti-Doping Agency in 2009
secondary antibody review -- data from 99 publications
cytometry used as a control to detect cell responses targeted antigen 7 Alexa Fluor 488 7 Cy3 8 goat IgG Alexa Fluor 488 1:2000 detect antibody binding in human embryonic kidney 293T cells Invitrogen 9 donkey
技术资料暂无技术资料 索取技术资料





![Caspase 1 antibody [14F468]](https://img1.dxycdn.com/2022/0329/667/4042552664134020453-14.jpg!wh200)
![TCR alpha + TCR beta antibody [R73] (PE)](https://img1.dxycdn.com/2022/0329/230/8900402633636020453-14.gif!wh200)

![TIGIT antibody [1G9] (PE)](https://img1.dxycdn.com/2022/0328/887/6369046577776700453-14.jpg!wh200)
![Her3 / ErbB3 antibody [mh908]](https://img1.dxycdn.com/2022/0328/899/2086613882618700453-14.png!wh200)

