相关产品推荐更多 >
万千商家帮你免费找货
0 人在求购买到急需产品
- 详细信息
- 文献和实验
- 技术资料
- 免疫原:
A synthetic peptide corresponding to amino acids 371-390 RKVRFSFEQPDGRAQMPTTE of human caspase-1 was used as immunogen.
- 亚型:
IgG1
- 形态:
Liquid
- 保存条件:
Store as concentrated solution. Centrifuge briefly prior to opening vial. For short-term storage (1-2 weeks), store at 4ºC. For long-term storage, aliquot and store at -20ºC or below. Avoid multiple freeze-thaw cycles.
- 克隆性:
Monoclonal
- 标记物:
Unconjugated
- 适应物种:
Human, Mouse, Rat
- 保质期:
12 months from the shipping date of the product.
- 抗原来源:
Human
- 目录编号:
GTX14367
- 级别:
Primary Antibodies
- 库存:
Available
- 供应商:
GeneTex
- 宿主:
Mouse
- 应用范围:
WB, IHC-P, FACS
- 浓度:
1 mg/ml (Please refer to the vial label for the specific concentration.)
- 靶点:
The antibody will recognize full-length Caspase-1 and cleaved caspase-1 forms that retain amino acids 371-390 of the Caspase-1 protein.
- 抗体英文名:
Caspase 1 antibody [14F468]
- 抗体名:
Caspase 1 抗体 [14F468]
- 规格:
50 μg
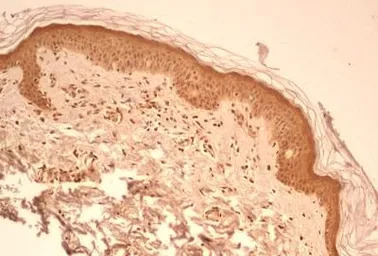
IHC-P analysis of human skin tissue using GTX14367 Caspase 1 antibody [14F468].
Dilution : 5 μg/ml
WB analysis of HeLa (A) and NIH-3T3 (B) cell lysate using GTX14367 Caspase 1 antibody [14F468].
Dilution : 0.5 μg/ml and 2 μg/ml
IHC-P analysis of human ovarian carcinoma tissue using GTX14367 Caspase 1 antibody [14F468].
Dilution : 5 μg/ml
IHC-P analysis of human lung tissue using GTX14367 Caspase 1 antibody [14F468].
Dilution : 5 μg/ml
IHC-P analysis of human rectum adenocarcinoma tissue using GTX14367 Caspase 1 antibody [14F468].
Dilution : 5 μg/ml
Antigen retrieval : 10 mM sodium citrate buffer, pH 6.0
WB analysis of HeLa cell lysate using GTX14367 Caspase 1 antibody [14F468].
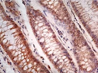
IHC-P analysis of human colon tissue using GTX14367 Caspase 1 antibody [14F468].
Dilution : 5 μg/ml
风险提示:丁香通仅作为第三方平台,为商家信息发布提供平台空间。用户咨询产品时请注意保护个人信息及财产安全,合理判断,谨慎选购商品,商家和用户对交易行为负责。对于医疗器械类产品,请先查证核实企业经营资质和医疗器械产品注册证情况。
文献和实验Pei-Ying Li et al., RSC Adv. 2018 8()
Haldar S et al., Sci Rep 2016 (PMID:27995963)
Kolb R et al., Nat Commun 2016 (PMID:27708283)
Ying Qin et al., Nat Commun 2021 (PMID:34373456)
Yu Fu et al., Evid Based Complement Alternat Med 2022 (PMID:35692570)
Song H et al., Nat Commun 2020 (PMID:33247121)
Deng J et al., Front Physiol 2021 (PMID:34012408)
Cheng R et al., Oncogene 2019 (PMID:31685946)
Inhibition of Glycogen Synthase Kinase-3 Methods in Molecular Biology v468. chapter 5 Abstract There are two homologous forms of glycogen synthase kinase (GSK)-3, GSK-3a and GSK-3b, whichplay overlapping roles in the regulation of Wnt
Isolation and Application of Bioactive Wnt Proteins Methods in Molecular Biology v468. chapter 2 Abstract Wnt proteins and their signaling cascades are involved in a wide variety of developmental processes, andderegulation
或 C6 cells 作为 cleaved caspase-3 的阳性参照。更多靶点的阳性对照,请登陆CST网站——研究——靶标的阳性对照处理。图二 蛋白质印迹分析(图源自CST Caspase-3 Antibody #9662 抗体说明书)为什么所有的实验都要设置对照?无论是初高中刚接触生物学实验设计还是上研究生后发表 SCI 文章,老师们以及 reviewer 都会敲着「黑板」强调强调再强调,每一个实验都必须有对照!因为设置适当的阴性、阳性甚至空白对照对于实验结果的准确、有效阐释至关重要!阅历丰富
技术资料暂无技术资料 索取技术资料





![VEGF Receptor 2 antibody [8A01]](https://img1.dxycdn.com/2022/0328/392/4499682063899400453-14.jpg!wh200)



![14-3-3 sigma antibody [1.T.28]](https://img1.dxycdn.com/2022/0329/614/3860672988824020453-14.jpg!wh200)

