相关产品推荐更多 >
万千商家帮你免费找货
0 人在求购买到急需产品
- 详细信息
- 文献和实验
- 技术资料
- 库存:
10
- 供应商:
上海烜雅生物科技有限公司
- 肿瘤类型:
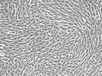
HT-29细胞
- 细胞类型:
科研
- ATCC Number:
/
- 品系:
HT-29细胞
- 组织来源:
HT-29细胞
- 相关疾病:
结肠癌
- 物种来源:
鼠/人/其它
- 免疫类型:
HT-29细胞
- 细胞形态:
上皮样/成纤维样/其它
- 是否是肿瘤细胞:
是
- 器官来源:
结肠癌
- 运输方式:
常温运输/干冰运输
- 年限:
/
- 生长状态:
贴壁/悬浮
- 英文名:
Human Colon Cancer Cells ,HT29
- 规格:
1x10^6
HT-29;人结肠腺癌细胞(详细信息)
【产品来源】 细胞主要来源ATCC、ScienCell、DSMZ、ECACC、RIKEN、promocell、ECACC、JCRB、KCLB、Asterand、ICLC以及少数国内外著名大学建系
"公司提供贴壁、半贴壁、悬浮、半悬浮、贴壁与悬浮混合等细胞特性,一般细胞培养PBS量是10%,如果出现细胞状态不良情况,可以提高PBS量到15%,待细胞稳定后,调回PBS量10%,对于初次实验者,一般细胞培养,都需要加入双抗防止细胞污染,细胞汇合度达到90%,我们开始寄送,HT-29;人结肠腺癌细胞这样可以保持细胞收到时,良好的细胞活力。复苏细胞注意事项:
1收到细胞后当天换液,全部更换成客户自己的新鲜培养基,放进培养箱,第二天再消化。
2边观察边消化,根据细胞的形态,终止消化时间,采取以半分钟间隔吹打细胞边缘,如可吹打下来,即终止消化。客户摸索比较好的消化时间。
3随细胞有一份细胞操作说明书,请客户仔细查看。
4记得加1%双抗,降低被污染的概率。另外尽早冻存留种,以备后用。
5售后时间为一周,仅限于细胞本身的质量问题,而因乙方自己不当操作(不规范操作,消化过度,不加双抗导致的污染等)导致的细胞问题不在售后范畴。
6收到细胞后,如细胞状态不佳,或培养中遇到问题,烦请当天尽快联系,以便处理。当天及时反馈细胞情况和细胞照片是售后跟踪处理重要的参考依据,请您务必重视。
7刚收到细胞时,胎牛血清可以用15%培养两三天,利于细胞尽快恢复状态,细胞状态稳定后,再调回10%即可。
(其中1,2条针对于贴壁细胞,悬浮细胞详情请见细胞操作说明书)
HT-29;人结肠腺癌细胞"细胞培养基的选择和使用:
MEM:成分简单,推荐贴壁细胞使用。
DMEM:分高糖型和低糖型。
IDMEM:适合细胞密度低,生长困难的细胞。如杂交细胞的筛选,DNA转染后转化细胞的筛选培养。
RPM1640:应用最广泛的培养基之一。推荐悬浮细胞培养使用,主要针对淋巴细胞,也适合其他细胞。
199、109培养基:成分齐全,培养效果较好。
F10培养基:适合小鼠及人类二倍体细胞培养。
F12培养基:适合单细胞分离培养及无血清培养。
McCoy’s5A培养基:特别适合原代细胞及较难培养细胞的生长。" 95%(Viability by Trypan Blue Exclusion)
【细胞检测】 细胞不含有HIV-1、HBV、HCV、支原体、细菌、酵母和真菌
【培养条件】 详见细胞说明书
【传代方法】 建议1:2-1:3 两天换液一次
【冻存条件】 详见细胞说明书
【主要文献】 请具体查阅相关发表文章
造成实验室细胞污染常见情况总结:
细胞培养中最常见污染的是细菌、真菌和支原体污染。细胞一旦污染,大多数较难处理。那么,哪些情况我们不注意的话就会造成细胞污染呢?我们根据常见细胞培养实验分析总结下。
违规操作:1. 为节省时间,有人已经用超净台四个多小时,不开紫外灭菌30min,酒精擦拭后直接开始试验。2. 器材或者溶液很久没用,未检测是否污染而直接使用;离心管多次使用,枪头为了方便交叉使用。3. 超净台不点酒精灯;点了酒精灯放在右上角,而你在左下角做试验。4. 不带手套,徒手操作。5. 细胞培养间配备枪式移液器、手术器械、离心机、冰箱等专用仪器设备以及专用的实验服和拖鞋,未定期消毒。HT-29;人结肠腺癌细胞专用物品被带出细胞房使用。培养细胞过程中使用的所有实验用具,如移液管、一次性枪头、一次性塑料离心管、冻存管等未按要求灭菌使用(通常需121°C高压灭菌20分钟后37%烤干备用)。
超净台和桌面,东西太多太乱:超净台不是储物箱,什么培养皿、各种规格的板子、枪头就不要堆在超净台!这样就会有许多紫外线顾不到的卫生死角。细胞房其他的桌面,切忌东西堆积如山,不要将酒精棉球、标签纸、牛皮纸买来后全部堆在细胞房!一不小心“飘”进你的细胞培养板里,细胞就会养的不好,啥时候死了都不知道!
培养箱太久没清洁:细胞污染了,并非直接扔了培养皿就不管了,首先你还得看看这个恒温培养箱里其他培养皿或孔板里的细胞是否污染,如果有而且好几个板子都有类似的污染块,那很可能是培养箱中的水或者空气污染了,得给培养箱做个大扫除,重新酒精消毒,照紫外;孵箱里的水,水没了要记得加,还得记得十天半个月的就用酒精擦擦托盘。
细胞房人多口杂,难管理:在细胞房这种卫生要求高,人多了,不确定因素多了,难以保证试验在无菌条件下操作。出入试验室,实验服当风衣穿,不扣纽扣,不戴鞋套,就容易造成细胞污染;超净台做实验时,喜欢说话聊着做试验,要是还不带口罩,里面就有很多细菌等着去攻击你的细胞呢!
公司提供背景资料、生物体、生长特性、来源、器官、类型、形态、培养条件、应用、系、疾病、组织、冻存条件等复苏及冻存说明书信息,我们拥有丰富的细胞系培养经验,能提供细胞培养全方位的技术支持,让您实验再无烦扰!
HT-29;人结肠腺癌细胞产品信息请向我司客服电询
HT-29;人结肠腺癌细胞(相关产品):
【产品来源】 细胞主要来源ATCC、ScienCell、DSMZ、ECACC、RIKEN、promocell、ECACC、JCRB、KCLB、Asterand、ICLC以及少数国内外著名大学建系
"公司提供贴壁、半贴壁、悬浮、半悬浮、贴壁与悬浮混合等细胞特性,一般细胞培养PBS量是10%,如果出现细胞状态不良情况,可以提高PBS量到15%,待细胞稳定后,调回PBS量10%,对于初次实验者,一般细胞培养,都需要加入双抗防止细胞污染,细胞汇合度达到90%,我们开始寄送,HT-29;人结肠腺癌细胞这样可以保持细胞收到时,良好的细胞活力。复苏细胞注意事项:
1收到细胞后当天换液,全部更换成客户自己的新鲜培养基,放进培养箱,第二天再消化。
2边观察边消化,根据细胞的形态,终止消化时间,采取以半分钟间隔吹打细胞边缘,如可吹打下来,即终止消化。客户摸索比较好的消化时间。
3随细胞有一份细胞操作说明书,请客户仔细查看。
4记得加1%双抗,降低被污染的概率。另外尽早冻存留种,以备后用。
5售后时间为一周,仅限于细胞本身的质量问题,而因乙方自己不当操作(不规范操作,消化过度,不加双抗导致的污染等)导致的细胞问题不在售后范畴。
6收到细胞后,如细胞状态不佳,或培养中遇到问题,烦请当天尽快联系,以便处理。当天及时反馈细胞情况和细胞照片是售后跟踪处理重要的参考依据,请您务必重视。
7刚收到细胞时,胎牛血清可以用15%培养两三天,利于细胞尽快恢复状态,细胞状态稳定后,再调回10%即可。
(其中1,2条针对于贴壁细胞,悬浮细胞详情请见细胞操作说明书)
HT-29;人结肠腺癌细胞"细胞培养基的选择和使用:
MEM:成分简单,推荐贴壁细胞使用。
DMEM:分高糖型和低糖型。
IDMEM:适合细胞密度低,生长困难的细胞。如杂交细胞的筛选,DNA转染后转化细胞的筛选培养。
RPM1640:应用最广泛的培养基之一。推荐悬浮细胞培养使用,主要针对淋巴细胞,也适合其他细胞。
199、109培养基:成分齐全,培养效果较好。
F10培养基:适合小鼠及人类二倍体细胞培养。
F12培养基:适合单细胞分离培养及无血清培养。
McCoy’s5A培养基:特别适合原代细胞及较难培养细胞的生长。" 95%(Viability by Trypan Blue Exclusion)
【细胞检测】 细胞不含有HIV-1、HBV、HCV、支原体、细菌、酵母和真菌
【培养条件】 详见细胞说明书
【传代方法】 建议1:2-1:3 两天换液一次
【冻存条件】 详见细胞说明书
【主要文献】 请具体查阅相关发表文章
造成实验室细胞污染常见情况总结:
细胞培养中最常见污染的是细菌、真菌和支原体污染。细胞一旦污染,大多数较难处理。那么,哪些情况我们不注意的话就会造成细胞污染呢?我们根据常见细胞培养实验分析总结下。
违规操作:1. 为节省时间,有人已经用超净台四个多小时,不开紫外灭菌30min,酒精擦拭后直接开始试验。2. 器材或者溶液很久没用,未检测是否污染而直接使用;离心管多次使用,枪头为了方便交叉使用。3. 超净台不点酒精灯;点了酒精灯放在右上角,而你在左下角做试验。4. 不带手套,徒手操作。5. 细胞培养间配备枪式移液器、手术器械、离心机、冰箱等专用仪器设备以及专用的实验服和拖鞋,未定期消毒。HT-29;人结肠腺癌细胞专用物品被带出细胞房使用。培养细胞过程中使用的所有实验用具,如移液管、一次性枪头、一次性塑料离心管、冻存管等未按要求灭菌使用(通常需121°C高压灭菌20分钟后37%烤干备用)。
超净台和桌面,东西太多太乱:超净台不是储物箱,什么培养皿、各种规格的板子、枪头就不要堆在超净台!这样就会有许多紫外线顾不到的卫生死角。细胞房其他的桌面,切忌东西堆积如山,不要将酒精棉球、标签纸、牛皮纸买来后全部堆在细胞房!一不小心“飘”进你的细胞培养板里,细胞就会养的不好,啥时候死了都不知道!
培养箱太久没清洁:细胞污染了,并非直接扔了培养皿就不管了,首先你还得看看这个恒温培养箱里其他培养皿或孔板里的细胞是否污染,如果有而且好几个板子都有类似的污染块,那很可能是培养箱中的水或者空气污染了,得给培养箱做个大扫除,重新酒精消毒,照紫外;孵箱里的水,水没了要记得加,还得记得十天半个月的就用酒精擦擦托盘。
细胞房人多口杂,难管理:在细胞房这种卫生要求高,人多了,不确定因素多了,难以保证试验在无菌条件下操作。出入试验室,实验服当风衣穿,不扣纽扣,不戴鞋套,就容易造成细胞污染;超净台做实验时,喜欢说话聊着做试验,要是还不带口罩,里面就有很多细菌等着去攻击你的细胞呢!
公司提供背景资料、生物体、生长特性、来源、器官、类型、形态、培养条件、应用、系、疾病、组织、冻存条件等复苏及冻存说明书信息,我们拥有丰富的细胞系培养经验,能提供细胞培养全方位的技术支持,让您实验再无烦扰!
HT-29;人结肠腺癌细胞产品信息请向我司客服电询
HT-29;人结肠腺癌细胞(相关产品):
| BxPC-3(原位胰腺腺癌细胞) |
| KP-N-NS(肾上腺神经母细胞瘤细胞(脑转移)) |
| AsPC-1(转移胰腺腺癌细胞) |
| AsPC-1(转移胰腺腺癌细胞) |
| U-2 OS(骨肉瘤细胞) |
| U-2 OS(骨肉瘤细胞) |
| GBC-SD(胆囊癌细胞) |
| RD(恶性胚胎横纹肌瘤细胞) |
| RD(恶性胚胎横纹肌瘤细胞) |
| HCCC-9810(胆管细胞型肝癌细胞) |
| A-673(横纹肌瘤细胞) |
| SMMC-7721(肝癌细胞) |
| SMC-1(胸膜细胞瘤) |
| QGY-7703(肝癌细胞) |
| NCI-H446 [H446](小细胞肺癌细胞) |
| QGY-7701(肝癌细胞) |
| BEL-7405(肝癌细胞) |
| NCI-H460 [H460](大细胞肺癌细胞0 |
| NCI-H460 [H460](大细胞肺癌细胞0 |
| BEL-7404(肝癌细胞) |
| BEL-7402(肝癌细胞) |
| QG-56(肺扁平上皮癌细胞) |
| SPC-A-1(肺腺癌细胞) |
| HGC-27(胃癌细胞(未分化)) |
| LTEP-a-2(肺腺癌细胞) |
| AGS(胃腺癌细胞) |
| MGC80-3(胃癌细胞) |
| 95-D(高转移肺癌细胞) |
| BGC-823(胃腺癌细胞(低分化)) |
| BT549(乳腺管癌细胞) |
| HT-29;人结肠腺癌细胞 SGC-7901(胃腺癌细胞) |
风险提示:丁香通仅作为第三方平台,为商家信息发布提供平台空间。用户咨询产品时请注意保护个人信息及财产安全,合理判断,谨慎选购商品,商家和用户对交易行为负责。对于医疗器械类产品,请先查证核实企业经营资质和医疗器械产品注册证情况。
文献和实验该产品被引用文献
HT-29细胞
技术资料文献支持
HT-29细胞
¥1400









