相关产品推荐更多 >
万千商家帮你免费找货
0 人在求购买到急需产品
- 详细信息
- 文献和实验
- 技术资料
- 免疫原:
Recombinant fusion protein containing a sequence corresponding to amino acids 24-307 of human MICA (NP_000238.1).
- 亚型:
IgG
- 形态:
Liquid
- 保存条件:
Store as concentrated solution. Centrifuge briefly prior to opening vial. For short-term storage (1-2 weeks), store at 4ºC. For long-term storage, aliquot and store at -20ºC or below. Avoid multiple freeze-thaw cycles.
- 克隆性:
Polyclonal
- 标记物:
Unconjugated
- 适应物种:
Human, Mouse, Rat
- 保质期:
12 months from the shipping date of the product.
- 抗原来源:
Human
- 目录编号:
GTX64407
- 级别:
Primary Antibodies
- 库存:
Available
- 供应商:
GeneTex
- 宿主:
Rabbit
- 应用范围:
WB
- 浓度:
Batch dependent (Please refer to the vial label for the specific concentration.)
- 靶点:
MICA
- 抗体英文名:
MICA antibody
- 抗体名:
MICA 抗体
- 规格:
100 μl
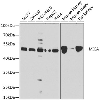
WB analysis of various sample lysates using GTX64407 MICA antibody.
Dilution : 1:1000
Loading : 25μg per lane
风险提示:丁香通仅作为第三方平台,为商家信息发布提供平台空间。用户咨询产品时请注意保护个人信息及财产安全,合理判断,谨慎选购商品,商家和用户对交易行为负责。对于医疗器械类产品,请先查证核实企业经营资质和医疗器械产品注册证情况。
文献和实验Screening for Antibodies Against MICA by Luminex Flow Cytometry
Antibodies against MICA have been found in organ transplant recipients and were found to be associated with decreased survival of kidney allografts. The MICA antibody screening assay is a Luminex-based solid phase immunoassay designed
High Resolution MICA Genotyping by Sequence-Based Typing (SBT)
We have developed a MICA typing method based on polymerase chain reaction (PCR) sequence-based typing and a computer program that determines the polymorphisms and distinguishes the GCT repeats in exon 5. One PCR amplification was performed
Mica Functionalization for Imaging of DNA and Protein-DNA Complexes with Atomic Force Microscopy
Surface preparation is a key step for reliable and reproducible imaging of DNA and protein-DNA complexes with atomic force microscopy (AFM). This article describes the approaches for chemical functionalization of the mica surface
技术资料暂无技术资料 索取技术资料









![VEGF Receptor 1 antibody [3D10]](https://img1.dxycdn.com/2022/0328/311/0868934003667500453-14.jpg!wh200)

