相关产品推荐更多 >
万千商家帮你免费找货
0 人在求购买到急需产品
- 详细信息
- 文献和实验
- 技术资料
- 免疫原:
MHC class I polypeptide-related sequence A
- 亚型:
IgG
- 形态:
liquid
- 保存条件:
-20℃ 12月
- 克隆性:
polyclonal
- 标记物:
未标记
- 适应物种:
Human, Mouse
- 保质期:
-20℃ 12月
- 抗原来源:
MHC class I polypeptide-related sequence A
- 目录编号:
FNab05176
- 级别:
科研
- 库存:
100
- 供应商:
武汉菲恩生物科技有限公司
- 宿主:
Rabbit
- 应用范围:
ELISA, WB, IHC
- 靶点:
MICA
- 抗体英文名:
MICA antibody
- 抗体名:
MICA抗体
- 规格:
50ug/100ug
| 规格: | 50ug | 产品价格: | ¥1260.0 |
|---|---|---|---|
| 规格: | 100ug | 产品价格: | ¥2100.0 |

产品介绍
| 产品名称 | MICA antibody |
| 中文名称 | MICA抗体 |
| 货号 | FNab05176 |
| 规格 | 50ug/100ug |
| 宿主 | Rabbit |
| 反应种属 | Human, Mouse |
| 验证应用 | ELISA, WB, IHC |
| 状态 | liquid |
| 纯化方法 | Immunogen affinity purified |
| 纯度 | ≥95% as determined by SDS-PAGE |
| 克隆性 | polyclonal |
| 亚型 | IgG |
| 免疫原 | MHC class I polypeptide-related sequence A |
| 免疫原别称 | MHC class I polypeptide-related sequence A (MIC-A)|MICA|PERB11.1 |
| Uniprot ID | Q29983 |
| 分子量 | 50 kDa |
| 建议稀释比例 | WB: 1:500 - 1:2000; IHC: 1:50 - 1:200 |
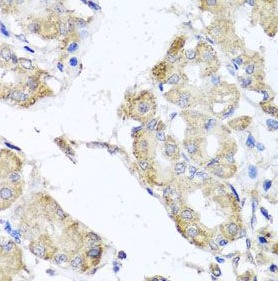
| 验证图片 | Immunohistochemistry of paraffin-embedded human stomach using FNab05176(MICA antibody) at dilution of 1:100 K-562 cells were subjected to SDS PAGE followed by western blot with FNab05176(MICA antibody) at dilution of 1:1000 |
| 存储 | PBS with 0.02% sodium azide and 50% glycerol pH 7.3, -20℃ for 12 months (Avoid repeated freeze / thaw cycles.) |
| 注意事项 | MICA antibody仅供科研使用 |
菲恩生物抗体产品优势
种类齐全:有10000多种经过验证的免多抗和小鼠单抗,包括流式抗体、内参抗体、标签抗体、小分子化合物抗体、对照抗体等;
多种标记/非标记二抗:针对兔、羊、小鼠、大鼠、人等多个种属。100多种标记二抗,标记物包括HRP、Biotin、FITC、Cy3、Alexa Fluor 488、Alexa Fluor 594等,通过了蛋白质印迹、免疫荧光、免疫组织化学、流式细胞术和ELISA等免疫学相关应用的充分验证,可满足各种实验需求;
验证过多种实验:ELISA、WB、IHC、IF、IP、FC等应用,并进行了广泛的物种交叉实验。
风险提示:丁香通仅作为第三方平台,为商家信息发布提供平台空间。用户咨询产品时请注意保护个人信息及财产安全,合理判断,谨慎选购商品,商家和用户对交易行为负责。对于医疗器械类产品,请先查证核实企业经营资质和医疗器械产品注册证情况。
文献和实验Screening for Antibodies Against MICA by Luminex Flow Cytometry
Antibodies against MICA have been found in organ transplant recipients and were found to be associated with decreased survival of kidney allografts. The MICA antibody screening assay is a Luminex-based solid phase immunoassay designed
Nature:癌症疫苗新突破!调动 T 细胞与 NK 细胞的双重攻击,全面杀灭癌细胞
症研究所、哈佛医学院免疫学系等单位的研究人员在 Nature 期刊发表了题为 A vaccine targeting resistant tumours by dual T cell plus NK cell attack 的文章,报道了他们开发了一种以肿瘤免疫逃逸机制为靶点的新型癌症疫苗,可以诱导不同的 T 细胞和 NK 细胞进行协同攻击。 该疫苗诱导产生的抗体通过抑制蛋白水解而增加肿瘤细胞表面 MICA/B 蛋白的密度,以此增强树突状细胞对 T 细胞肿瘤抗原的呈递,并增强 NK 细胞的细胞
Negative Staining for Transmission Electron Microscopy
without them breaking. This protocol is described in more detail in the section on immunolabeling. Briefly, the grids are floated onto drops of diluted antibody. washed by floating on drops of buffer, and then floated on drops of diluted visualization probe. We normally
技术资料暂无技术资料 索取技术资料







