相关产品推荐更多 >
万千商家帮你免费找货
0 人在求购买到急需产品
- 详细信息
- 文献和实验
- 技术资料
- 免疫原:
Recombinant protein encompassing a sequence within the center region of human Lamin B2. The exact sequence is proprietary.
- 亚型:
IgG
- 形态:
Liquid
- 保存条件:
Store as concentrated solution. Centrifuge briefly prior to opening vial. For short-term storage (1-2 weeks), store at 4ºC. For long-term storage, aliquot and store at -20ºC or below. Avoid multiple freeze-thaw cycles.
- 克隆性:
Polyclonal
- 标记物:
Unconjugated
- 适应物种:
Human, Mouse
- 保质期:
12 months from the shipping date of the product.
- 抗原来源:
Human
- 目录编号:
GTX109894
- 级别:
Primary Antibodies
- 库存:
Available
- 供应商:
GeneTex
- 宿主:
Rabbit
- 应用范围:
WB, IHC-P, IP
- 浓度:
1.73 mg/ml (Please refer to the vial label for the specific concentration.)
- 靶点:
Lamin B2
- 抗体英文名:
Lamin B2 antibody [N3C2], Internal
- 抗体名:
Lamin B2 抗体 [N3C2], Internal
- 规格:
100 μl/25 μl
| 规格: | 100 μl | 产品价格: | ¥4000.0 |
|---|---|---|---|
| 规格: | 25 μl | 产品价格: | ¥1700.0 |
Lamin B2 antibody [N3C2], Internal detects LMNB2 protein by western blot analysis.
A. 30 μg Neuro2A whole cell lysate/extract
B. 30 μg GL261 whole cell lysate/extract
C. 30 μg C8D30 whole cell lysate/extract
D. 30 μg NIH-3T3 whole cell lysate/extract
E. 30 μg BCL-1 lysate/extract
F. 30 μg Raw264.7 whole cell lysate/extract
G. 30 μg C2C12 whole cell lysate/extract
7.5% SDS-PAGE
Lamin B2 antibody [N3C2], Internal (GTX109894) dilution: 1:500
The HRP-conjugated anti-rabbit IgG antibody (GTX213110-01) was used to detect the primary antibody.
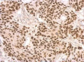
Lamin B2 antibody [N3C2], Internal detects LMNB2 protein at on Cal27 xenograft by immunohistochemical analysis.
Sample: Paraffin-embedded Cal27 xenograft.
Lamin B2 antibody [N3C2], Internal (GTX109894) dilution: 1:500.
Antigen Retrieval: Trilogy™ (EDTA based, pH 8.0) buffer, 15min
Various whole cell extracts (30 μg) were separated by 7.5% SDS-PAGE, and the membrane was blotted with Lamin B2 antibody [N3C2], Internal (GTX109894) diluted at 1:1000. The HRP-conjugated anti-rabbit IgG antibody (GTX213110-01) was used to detect the primary antibody.
Lamin B2 antibody [N3C2], Internal immunoprecipitates Lamin B2 protein in IP experiments. IP Sample: HepG2 whole cell lysate/extract A : 30 μg whole cell lysate/extract of Lamin B2 protein expressing HepG2 cells B : Control with 3 μg of pre-immune rabbit IgG C : Immunoprecipitation of Lamin B2 by 3 μg of Lamin B2 antibody [N3C2], Internal (GTX109894) 7.5% SDS-PAGE The immunoprecipitated Lamin B2 protein was detected by Lamin B2 antibody [N3C2], Internal (GTX109894) diluted at 1 : 1000. EasyBlot anti-rabbit IgG (HRP) (GTX221666-01) was used as a secondary reagent.
风险提示:丁香通仅作为第三方平台,为商家信息发布提供平台空间。用户咨询产品时请注意保护个人信息及财产安全,合理判断,谨慎选购商品,商家和用户对交易行为负责。对于医疗器械类产品,请先查证核实企业经营资质和医疗器械产品注册证情况。
文献和实验Shih JW et al., Nat Commun 2017 (PMID:28639619)
Using MZEF to Find Internal Coding Exons
.A. 2002. A genomic view of alternative splicing. Nat. Genet. 30:13‐19. Solovyev, V.V., Salamov, A.A., and Lawrence, C.B. 1994. Predicting internal exons by oligonucleotide
Protocol for anti-HA antibody Western Blotting
of interest. 2) Transfer proteins in acrylamide gel to nylon membrane. 3) Block overnight @4℃ in PBS (or TBS, it doesn't matter) with 5% non-fat dry milk. I dilute 2.5 mg in 50 ml. 4) Wash off excess milk sol'n with PBS x3 .(important if you are re-using your antibody
b-Gal Staining of Murine Embryos
PO4.H2O, 77ml of 0.2M Na2HPO4 and add 100ml DDW. the pH will be approx 7.3 0.5M EGTA in 0.1M Phosphate buffer, pH increase to 7. FW 380.4, so 19.02g for making 100ml of 0.5M EGTA. Ethylene Glycol-bis (b-aminoethyl ether)N,N,N',N'-tetraacetic acid
技术资料暂无技术资料 索取技术资料





![CXCL11 antibody [10C6]](https://img1.dxycdn.com/2022/0328/951/7885312808601500453-14.jpg!wh200)


![TSPAN7 antibody [B2D]](https://img1.dxycdn.com/2022/0328/810/2155486840507700453-14.jpg!wh200)


