相关产品推荐更多 >
万千商家帮你免费找货
0 人在求购买到急需产品
- 详细信息
- 文献和实验
- 技术资料
- 免疫原:
Carrier-protein conjugated synthetic peptide surrounding phospho Ser63 of human c-Jun. The exact sequence is proprietary.
- 亚型:
IgG2a
- 形态:
Liquid
- 保存条件:
Store as concentrated solution. Centrifuge briefly prior to opening vial. For short-term storage (1-2 weeks), store at 4ºC. For long-term storage, aliquot and store at -20ºC or below. Avoid multiple freeze-thaw cycles.
- 克隆性:
Monoclonal
- 标记物:
Unconjugated
- 适应物种:
Human, Rat
- 保质期:
12 months from the shipping date of the product.
- 抗原来源:
Human
- 目录编号:
GTX634322
- 级别:
Primary Antibodies
- 库存:
Available
- 供应商:
GeneTex
- 宿主:
Mouse
- 应用范围:
WB, ICC/IF, IHC-P, FACS
- 浓度:
1 mg/ml (Please refer to the vial label for the specific concentration.)
- 靶点:
c-Jun (phospho Ser63)
- 抗体英文名:
c-Jun (phospho Ser63) antibody [GT653]
- 抗体名:
c-Jun (phospho Ser63) 抗体 [GT653]
- 规格:
100 μl/25 μl
| 规格: | 100 μl | 产品价格: | ¥4000.0 |
|---|---|---|---|
| 规格: | 25 μl | 产品价格: | ¥1700.0 |
Untreated (–) and treated (+) 293T whole cell extracts (30 μg) were separated by 10% SDS-PAGE, and the membrane was blotted with c-Jun (phospho Ser63) antibody [GT653] (GTX634322) diluted at 1:1000. The HRP-conjugated anti-mouse IgG antibody (GTX213111-01) was used to detect the primary antibody, and the signal was developed with Trident ECL plus-Enhanced.
c-Jun (phospho Ser63) antibody [GT653] detects c-Jun (phospho Ser63) protein at nucleus by immunofluorescent analysis.
Sample: 293T cells were fixed in 4% PFA at RT for 15 min.
Green: c-Jun (phospho Ser63) protein stained by c-Jun (phospho Ser63) antibody [GT653] (GTX634322) diluted at 1:500.
Red: Phalloidin, a cytoskeleton marker, diluted at 1:100.
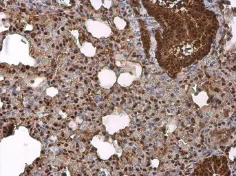
c-Jun (phospho Ser63) antibody [GT653] detects c-Jun (phospho Ser63) protein at cytoplasm and nucleus in rat lung by immunohistochemical analysis.
Sample: Paraffin-embedded rat lung.
c-Jun (phospho Ser63) antibody [GT653] (GTX634322) diluted at 1:200.
Antigen Retrieval: Citrate buffer, pH 6.0, 15 min
风险提示:丁香通仅作为第三方平台,为商家信息发布提供平台空间。用户咨询产品时请注意保护个人信息及财产安全,合理判断,谨慎选购商品,商家和用户对交易行为负责。对于医疗器械类产品,请先查证核实企业经营资质和医疗器械产品注册证情况。
文献和实验Liu JF et al., J Cell Physiol 2020 (PMID:32808296)
Rodr?guez-Jorge O et al., Sci Signal 2019 (PMID:30992399)
Using Phospho‐Motif Antibodies to Determine Kinase Substrates
comprising both the phosphorylated residue and the surrounding residues that determine kinase specificity, with degenerate residues taking up the remaining positions. Currently, several categories of phospho?motif antibody are commercially available
kinase is KIR 3.1 and have developed a phospho-selective antibody against the Y12 motif of this channel. Much like KOR and p38 MAP kinase, phosphorylation of this potassium channel increases following repeated stress. The following chapter discusses
secondary antibody review -- data from 99 publications
cytometry used as a control to detect cell responses targeted antigen 7 Alexa Fluor 488 7 Cy3 8 goat IgG Alexa Fluor 488 1:2000 detect antibody binding in human embryonic kidney 293T cells Invitrogen 9 donkey
技术资料暂无技术资料 索取技术资料






![Insulin antibody [HL1393]](https://img1.dxycdn.com/2022/0515/804/1869136823610588453-14.jpg!wh200)


![Twist1 antibody [N1C3]](https://img1.dxycdn.com/2022/0328/589/8176211564163200453-14.jpg!wh200)

