相关产品推荐更多 >
万千商家帮你免费找货
0 人在求购买到急需产品
- 详细信息
- 文献和实验
- 技术资料
- 免疫原:
A synthetic β-amyloid peptide (1-40) conjugated to KLH.
- 亚型:
IgG1
- 形态:
Liquid
- 保存条件:
Store as concentrated solution. Centrifuge briefly prior to opening vial. Store at 4ºC.
- 克隆性:
Monoclonal
- 标记物:
Unconjugated
- 适应物种:
Human, Mouse
- 保质期:
12 months from the shipping date of the product.
- 抗原来源:
Human
- 目录编号:
GTX27501
- 级别:
Primary Antibodies
- 库存:
Available
- 供应商:
GeneTex
- 宿主:
Mouse
- 应用范围:
WB, IHC-P
- 浓度:
Batch dependent (Please refer to the vial label for the specific concentration.)
- 靶点:
beta Amyloid (1-40)
- 抗体英文名:
beta Amyloid (1-40) antibody [BAM-10]
- 抗体名:
beta Amyloid (1-40) 抗体 [BAM-10]
- 规格:
500 μl
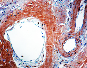
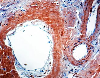
IHC-P analysis of human amyloidosis tissue using GTX27501 beta Amyloid (1-40) antibody [BAM-10].
风险提示:丁香通仅作为第三方平台,为商家信息发布提供平台空间。用户咨询产品时请注意保护个人信息及财产安全,合理判断,谨慎选购商品,商家和用户对交易行为负责。对于医疗器械类产品,请先查证核实企业经营资质和医疗器械产品注册证情况。
文献和实验Evaluating Amyloid Beta (A) 1-40 Degradation by Capillary Electrophoresis
Here, we describe a capillary electrophoresis method for evaluating proteolysis of the amyloid beta peptide (Aβ) 1–40. This method is suitable for kinetic studies, demands little specialized equipment, and consumes only small
FA Extraction of [insoluble] Amyloid beta from Mouse Brain
plates, as a precipitate forms when samples are loaded neat. If analyzing tissue with a lot of plaques, you need larger dilution factors to analyze amyloid beta levels within the range of the standard curve. To determine amyloid beta [c] in samples
Interaction of the Presenilins with the Amyloid Precursor Protein (APP)
the deposition of amyloid Aβ peptide. The latter is released from its cognate amyloid precursor protein (APP) by a two-step proteolytic conversion: first, proteolysis of APP by β-secretase, which releases the N-terminus of Aβ, and second, conversion
技术资料暂无技术资料 索取技术资料









![Avi-tag antibody [6E3]](https://custom.dxycdn.com/trademd/upload/pic/2013/11/12/A1383891150.jpg!small.t.1)

