相关产品推荐更多 >
万千商家帮你免费找货
0 人在求购买到急需产品
- 详细信息
- 技术资料
- 供应商:
上海康朗生物科技有限公司
- 库存:
大量
- 目录编号:
kl-3210R
- 克隆性:
多克隆
- 抗原来源:
Rabbit
- 保质期:
12个月
- 抗体英文名:
phospho-c-Jun (Ser63) antibody
- 抗体名:
磷酸化原癌基因c-Jun抗体
- 宿主:
Rabbit
- 适应物种:
Human, Mouse, Rat, Dog, Pig, Cow, Rabbit, Sheep,
- 免疫原:
KLH conjugated Synthesised phosphopeptide derived from human c-Jun around the phosphorylation site of Ser63:LT(p-S)PD
- 亚型:
IgG
- 形态:
冻干粉或液体
- 应用范围:
Human, Mouse, Rat, Dog, Pig, Cow, Rabbit, Sheep,
- 浓度:
1mg/ml
- 保存条件:
-20 °C
- 规格:
100ul
phospho-c-Jun (Ser63) antibody
| 中文名称 | 磷酸化原癌基因c-Jun抗体 |
| 别 名 | c-Jun (phospho S63); c-Jun (phospho Ser63); p-c-Jun (Ser63); Transcription factor AP-1; Jun oncogene; JUN; AP 1; AP1; AP-1; Enhancer Binding Protein AP1; Jun Activation Domain Binding Protein; JUN protein; JUNC; p39; Proto oncogene cJun; Transcription Factor AP1; V jun avian sarcoma virus 17 oncogene homolog; vJun Avian Sarcoma Virus 17 Oncogene Homolog; JUN_HUMAN; Activator 1; Proto-oncogene c-Jun; V-jun avian sarcoma virus 17 oncogene homolog. |
| 规格价格 | 100ul/1580元 购买 大包装/询价 |
| 说 明 书 | 100ul |
| 产品类型 | 磷酸化抗体 |
| 研究领域 | 肿瘤 免疫学 信号转导 转录调节因子 |
| 抗体来源 | Rabbit |
| 克隆类型 | Polyclonal |
| 交叉反应 | Human, Mouse, Rat, Dog, Pig, Cow, Rabbit, Sheep, |
| 产品应用 | WB=1:500-2000 ELISA=1:500-1000 IHC-P=1:400-800 IHC-F=1:400-800 Flow-Cyt=0.2μg /Test IF=1:100-500 (石蜡切片需做抗原修复) not yet tested in other applications. optimal dilutions/concentrations should be determined by the end user. |
| 分 子 量 | 43kDa |
| 细胞定位 | 细胞核 |
| 性 状 | Lyophilized or Liquid |
| 浓 度 | 1mg/ml |
| 免 疫 原 | KLH conjugated Synthesised phosphopeptide derived from human c-Jun around the phosphorylation site of Ser63:LT(p-S)PD |
| 亚 型 | IgG |
| 纯化方法 | affinity purified by Protein A |
| 储 存 液 | 0.01M TBS(pH7.4) with 1% BSA, 0.03% Proclin300 and 50% Glycerol. |
| 保存条件 | Store at -20 °C for one year. Avoid repeated freeze/thaw cycles. The lyophilized antibody is stable at room temperature for at least one month and for greater than a year when kept at -20°C. When reconstituted in sterile pH 7.4 0.01M PBS or diluent of antibody the antibody is stable for at least two weeks at 2-4 °C. |
| PubMed | PubMed |
| 产品介绍 | background: The human protooncogene JUN is the putative transforming gene of avian sarcoma virus 17, and it encodes a protein which is highly homologous to the viral protein. cJun (previously known as the Fos binding protein p39) and c Fos form a complex in the nucleus. AP 1 (activating protein 1) is a collective term referring to these dimeric transcription factors composed of Jun, Fos or ATF subunits that bind to a common DNA site, the AP1 binding site. AP 1 proteins, mostly the Jun group, regulate the expression and function of cell cycle regulators such as Cyclin D1, p53, p21 (cip1/waf1), p19 (ARF) and p16. Fos and Jun proto oncogene expression is induced transiently by a variety of extracellular stimuli associated with mitogenesis, differentiation processes or depolarization of neurons. JUN has been mapped to 1p32 to p31, a chromosomal region involved in both translocations and deletions in human malignancies. Function: Transcription factor that recognizes and binds to the enhancer heptamer motif 5'-TGA[CG]TCA-3'. Promotes activity of NR5A1 when phosphorylated by HIPK3 leading to increased steroidogenic gene expression upon cAMP signaling pathway stimulation. Subunit: Heterodimer with either FOS or BATF3 or ATF7. The ATF7/JUN heterodimer is essential for ATF7 transactivation activity. Interacts with DSIPI; the interaction inhibits the binding of active AP1 to its target DNA (By similarity). Interacts with HIVEP3 and MYBBP1A (By similarity). Interacts with SP1, SPIB and TCF20. Interacts with COPS5; the interaction leads indirectly to its phosphorylation. Component of the SMAD3/SMAD4/JUN/FOS/complex which forms at the AP1 promoter site. The SMAD3/SMAD4 heterodimer acts syngernistically with the JUN/FOS heterodimer to activate transcription in response to TGF-beta. Interacts (via its basic DNA binding and leucine zipper domains) with SMAD3 (via an N-terminal domain); the interaction is required for TGF-beta-mediated transactivation of the SMAD3/SMAD4/JUN/FOS/complex. Interacts with RNF187. Binds to HIPK3. Subcellular Location: Nucleus. Post-translational modifications: Phosphorylated by CaMK4 and PRKDC; phosphorylation enhances the transcriptional activity. Phosphorylated by HIPK3. Phosphorylated by DYRK2 at Ser-243; this primes the protein for subsequent phosphorylation by GSK3B at Thr-239. Phosphorylated at Thr-239, Ser-243 and Ser-249 by GSK3B; phosphorylation reduces its ability to bind DNA. Phosphorylated by PAK2 at Thr-2, Thr-8, Thr-89, Thr-93 and Thr-286 thereby promoting JUN-mediated cell proliferation and transformation. Phosphorylated by PLK3 following hypoxia or UV irradiation, leading to increase DNA-binding activity. Acetylated at Lys-271 by EP300. Similarity: Belongs to the bZIP family. Jun subfamily. Contains 1 bZIP (basic-leucine zipper) domain. SWISS: P05412 Gene ID: 3725 Database links: Entrez Gene: 3725 Human Entrez Gene: 16476 Mouse Entrez Gene: 396913 Pig Entrez Gene: 24516 Rat Omim: 165160 Human SwissProt: P05412 Human SwissProt: P05627 Mouse SwissProt: P56432 Pig SwissProt: P17325 Rat Unigene: 525704 Human Unigene: 696684 Human Unigene: 275071 Mouse Unigene: 93714 Rat Important Note: This product as supplied is intended for research use only, not for use in human, therapeutic or diagnostic applications. C-jun(Oncoprotein C-jun:active protein 1)基因与鸟类肉瘤病毒17的转化基因具有同源性,是早期应答基因家族成员之一。主要用于各种恶性肿瘤的研究。 C-jun又称:应激活化蛋白激酶. |
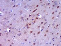
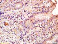
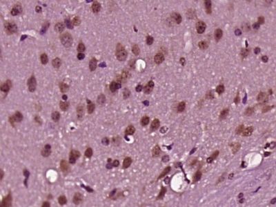
| 产品图片 | ![]() Paraformaldehyde-fixed, paraffin embedded (Mouse brain); Antigen retrieval by boiling in sodium citrate buffer (pH6.0) for 15min; Block endogenous peroxidase by 3% hydrogen peroxide for 20 minutes; Blocking buffer (normal goat serum) at 37°C for 30min; Antibody incubation with (phospho-c-Jun (Ser63)) Polyclonal Antibody, Unconjugated (bs-3210R) at 1:400 overnight at 4°C, followed by operating according to SP Kit(Rabbit) (sp-0023) instructionsand DAB staining. ![]() Blank control (blue line): HepG2 (fixed with 70% methanol (Overnight at 4℃) and then permeabilized with 90% ice-cold methanol for 20 min at -20℃). Primary Antibody (green line): Rabbit Anti-phospho-c-Jun (Ser63)antibody (bs-3210R),Dilution: 0.2μg /10^6 cells; Isotype Control Antibody (orange line): Rabbit IgG . Secondary Antibody (white blue line): Goat anti-rabbit IgG-PE,Dilution: 1μg /test. |
风险提示:丁香通仅作为第三方平台,为商家信息发布提供平台空间。用户咨询产品时请注意保护个人信息及财产安全,合理判断,谨慎选购商品,商家和用户对交易行为负责。对于医疗器械类产品,请先查证核实企业经营资质和医疗器械产品注册证情况。
技术资料暂无技术资料 索取技术资料
phospho-c-Jun (Ser63) antibody
¥1580











