相关产品推荐更多 >
万千商家帮你免费找货
0 人在求购买到急需产品
- 详细信息
- 文献和实验
- 技术资料
- 供应商:
上海联迈生物工程有限公司
- 库存:
大量
- 目录编号:
LM-33315M
- 克隆性:
多克隆
- 抗原来源:
Rabbit
- 保质期:
1年
- 抗体英文名:
Beclin 1
- 抗体名:
Bcl-2同源结构域蛋白单克隆抗体
- 宿主:
Rabbit
- 适应物种:
Human, Mouse, Rat,
- 免疫原:
KLH conjugated synthetic peptide derived from human Beclin 1:
- 亚型:
IgG
- 形态:
Lyophilized or Liquid
- 应用范围:
IHC-P=1:400-800 IHC-F=1:400-800 ICC=1:100-500 IF=1:100-500 (石蜡切片需做抗原修复)
- 浓度:
1mg/ml
- 保存条件:
Store at -20 °C
- 规格:
50ul 100ul
| 英文名称 | Beclin 1 |
| 中文名称 | Bcl-2同源结构域蛋白单克隆抗体 |
| 别 名 | Beclin-1; ATG6; beclin1; VPS30; Beclin 1 like protein 1; 4921513J16Rik; 5430417M23Rik; ATG6; BECLIN 1; BECN1; MGC6843; BECN1_HUMAN. |
| 规格价格 | 50ul/860元 购买 100ul/1580元 购买 大包装/询价 |
| 说 明 书 | 50ul 100ul |
| 研究领域 | 肿瘤 免疫学 神经生物学 细胞凋亡 |
| 抗体来源 | Mouse |
| 克隆类型 | Monoclonal |
| 克 隆 号 | 7D2 |
| 交叉反应 | Human, Mouse, Rat, |
| 产品应用 | IHC-P=1:400-800 IHC-F=1:400-800 ICC=1:100-500 IF=1:100-500 (石蜡切片需做抗原修复) not yet tested in other applications. optimal dilutions/concentrations should be determined by the end user. |
| 分 子 量 | 50kDa |
| 细胞定位 | 细胞浆 细胞膜 |
| 性 状 | Lyophilized or Liquid |
| 浓 度 | 1mg/ml |
| 免 疫 原 | KLH conjugated synthetic peptide derived from human Beclin 1: |
| 亚 型 | IgG |
| 纯化方法 | affinity purified by Protein G |
| 储 存 液 | 0.01M TBS(pH7.4) with 1% BSA, 0.03% Proclin300 and 50% Glycerol. |
| 保存条件 | Store at -20 °C for one year. Avoid repeated freeze/thaw cycles. The lyophilized antibody is stable at room temperature for at least one month and for greater than a year when kept at -20°C. When reconstituted in sterile pH 7.4 0.01M PBS or diluent of antibody the antibody is stable for at least two weeks at 2-4 °C. |
| PubMed | PubMed |
| 产品介绍 | background: Beclin 1 is the first identified mammalian gene to mediate autophagy and also has tumor suppressor and antiviral function. Autophagy, a process of bulk protein degradation through an autophagosomic lysosomal pathway, is important for differentiation, survival during nutrient deprivation, and normal growth control, and is often defective in tumor cells. Beclin 1 was originally isolated in a yeast two hybrid screen to identify Bcl 2 binding partners and maps to a tumor susceptibility locus on human chromosome 17q21 that is frequently monoallelically deleted in human breast, ovarian and prostate cancer. Beclin 1 encodes an evolutionarily conserved 52kDa coiled coil protein that is expressed in human muscle, epithelial cells and neurons. Function: Plays a central role in autophagy. Required for the abcission step in cytokinesis. May play a role in antiviral host defense. Protects against infection by a neurovirulent strain of Sindbis virus. Subunit: Interacts with GOPC and GRID2. Interacts with AMBRA1. Forms a complex with PIK3C3 and PIK3R4 and either UVRAG and KIAA0226/Rubicon, or with ATG14. UVRAG and ATG14 form mutually exclusive complexes through direct competition for BECN1-binding. The complex containing ATG14 up-regulates autophagy, while the one containing Rubicon down-regulates autophagy. Interacts with BCL2 and BCL2L1. Interacts with VMP1. Interacts with PIK3CB. Interacts with DAPK1. Interacts with human cytomegalovirus/HHV-5 protein TRS1. Subcellular Location: Golgi apparatus, trans-Golgi network membrane; Peripheral membrane protein. Note=Interaction with ATG14 promotes translocation to autophagosomes. Expressed in dendrites and cell bodies of cerebellar Purkinje cells. Tissue Specificity: Ubiquitous. Post-translational modifications: Phosphorylation at Thr-119 by DAPK1 reduces its interaction with BCL2 and BCL2L1 and promotes induction of autophagy. Ubiquitinated. Deubiquitinated by USP10 and USP13, leading to stabilize the PIK3C3/VPS34-containing complexes. Similarity: Belongs to the beclin family. SWISS: Q14457 Gene ID: 8678 Database links: Entrez Gene: 8678 Human Entrez Gene: 56208 Mouse Entrez Gene: 114558 Rat Omim: 604378 Human SwissProt: Q14457 Human SwissProt: O88597 Mouse SwissProt: Q91XJ1 Rat Unigene: 716464 Human Unigene: 178947 Mouse Unigene: 2776 Rat Important Note: This product as supplied is intended for research use only, not for use in human, therapeutic or diagnostic applications. |
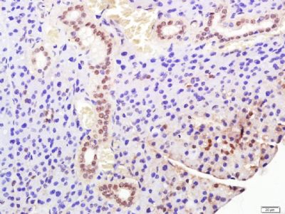
| 产品图片 | ![]() Paraformaldehyde-fixed, paraffin embedded (Mouse brain); Antigen retrieval by boiling in sodium citrate buffer (pH6.0) for 15min; Block endogenous peroxidase by 3% hydrogen peroxide for 20 minutes; Blocking buffer (normal goat serum) at 37°C for 30min; Antibody incubation with (Beclin 1) Monoclonal Antibody, Unconjugated (bsm-33315M Beclin 1) at 1:400 overnight at 4°C, followed by a conjugated secondary (sp-0023) for 20 minutes and DAB staining. ![]() Paraformaldehyde-fixed, paraffin embedded (Mouse lymph); Antigen retrieval by boiling in sodium citrate buffer (pH6.0) for 15min; Block endogenous peroxidase by 3% hydrogen peroxide for 20 minutes; Blocking buffer (normal goat serum) at 37°C for 30min; Antibody incubation with (Beclin 1) Monoclonal Antibody, Unconjugated (bsm-33315M) at 1:400 overnight at 4°C, followed by a conjugated secondary (sp-0023) for 20 minutes and DAB staining. |
风险提示:丁香通仅作为第三方平台,为商家信息发布提供平台空间。用户咨询产品时请注意保护个人信息及财产安全,合理判断,谨慎选购商品,商家和用户对交易行为负责。对于医疗器械类产品,请先查证核实企业经营资质和医疗器械产品注册证情况。
文献和实验PI3K 复合物的亚基,Beclin 1 与自噬前体的结合启动自噬体的形成,因此该蛋白是自噬体形成所必须的。而且,在哺乳动物中鉴定的第一个介导自噬的重要基因就是 Beclin 1 基因,它具有抗肿瘤和抗感染的功能。Beclin 2 是与 Beclin 1 相关的卷曲螺旋蛋白。研究认为 Beclin 2 与抗凋亡蛋白 Bcl-2 相互作用并在自噬中发挥作用。自噬体形成自噬体形成主要包括 ATG12 泛素样结合系统以及 LC3/ATG8 蛋白结合系统。ATG5 与 ATG12 的结合是形成自噬体所必须
激酶,能接受多种上游信号,如 Class I PI3K、IGF-1/2、MAPK,能感受营养和能量的变化。mTOR 存在两种不同形式:对雷帕霉素敏感的 mTOR 复合物1(mTOR1)和对雷帕霉素不敏感的 mTOR 复合物2(mTOR2)。 2)Beclin-1 信号通路:Beclin-1 是酵母自噬基因 Atg6/Vps30 的同源基因,能与多种蛋白结合,如 Vps34(Class III PI3K 的催化亚单位),mTOR,BCL-2 和 BCLXL 蛋白等,beclin-1 是一个多功能蛋白
/MTOR 激活类 1)Class III PI3K 结构上类似于Class I PI3K,但作用相反。 接受上述信号的自噬蛋白: 目前都把焦点集中在beclin 1(酵母同源物为atg6),能与多种蛋白结合,如Vps34(Class III PI3K的催化亚单位),mTOR,BCL-2和BCLXL蛋白等,更多介绍请参阅OMIM:http://www.ncbi.nlm.nih.gov/entrez/dispomim.cgi?id=604378。
技术资料暂无技术资料 索取技术资料











